相关产品推荐更多 >
万千商家帮你免费找货
0 人在求购买到急需产品
- 详细信息
- 文献和实验
- 技术资料
- 免疫原:
Synthesized peptide derived from human Cystatin SN at 1-80 aa, Internal.
- 亚型:
IgG
- 形态:
Liquid
- 保存条件:
Store as concentrated solution. Centrifuge briefly prior to opening vial. For short-term storage (1-2 weeks), store at 4ºC. For long-term storage, aliquot and store at -20ºC or below. Avoid multiple freeze-thaw cycles.
- 克隆性:
Polyclonal
- 标记物:
Unconjugated
- 适应物种:
Human
- 保质期:
12 months from the shipping date of the product.
- 抗原来源:
Human
- 目录编号:
GTX34332
- 级别:
Primary Antibodies
- 库存:
Available
- 供应商:
GeneTex
- 宿主:
Rabbit
- 应用范围:
WB, IHC-P
- 浓度:
1 mg/ml (Please refer to the vial label for the specific concentration.)
- 靶点:
Cystatin SN
- 抗体英文名:
Cystatin SN antibody
- 抗体名:
Cystatin SN 抗体
- 规格:
100 μl
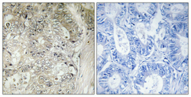
IHC-P analysis of human colon cancer tissue using GTX34332 Cystatin SN antibody. Negative control (the lower left coner) was secondary antibody only.
Antigen retrieval : Tris-EDTA, pH8.0 under high-pressure and temperature
Dilution : 1:100
WB analysis of Jurkat cell lysate using GTX34332 Cystatin SN antibody.
风险提示:丁香通仅作为第三方平台,为商家信息发布提供平台空间。用户咨询产品时请注意保护个人信息及财产安全,合理判断,谨慎选购商品,商家和用户对交易行为负责。对于医疗器械类产品,请先查证核实企业经营资质和医疗器械产品注册证情况。
文献和实验上海西唐生物科技有限公司 021-55229872, 65333639 www.westang.com 人胱抑素C ( Cystatin C )ELISA 试剂盒 ( 用于血清、血浆、细胞培养上清液和尿液生物体液内 ) 原理 本实验采用双抗体夹心 ABC-ELISA 法。用抗人 Cystatin C 单抗包被于酶标板上,标准品和样品中的 Cystatin C与单抗结合,加入
大鼠胱抑素C(Cystatin C)ELISA试剂盒 说明书
上海西唐生物科技有限公司 021-55229872, 65333639 www.westang.com 大鼠胱抑素 C(Cystatin C)ELISA 试剂盒 ( 用于血清、血浆、细胞培养上清液和尿液生物体液内 ) 原理 本实验采用双抗体夹心 ABC-ELISA 法。用抗大鼠 Cystatin C 单抗包被于酶标板上,标准品和样品中的 Cystatin C 与单抗结合,加入生物素化的抗大
monoclonal antibody production fusion
centrifuge at 1200 rpm, 5 min, 37ѓC. aspirate the supernatant (SN) with a Pasteur pipette (all till the last drop!!!) gently break the pellet by tapping of the bottom of the tube. place the tube on 37ѓC water bath; add slowly, dop by drop
技术资料暂无技术资料 索取技术资料











