相关产品推荐更多 >
万千商家帮你免费找货
0 人在求购买到急需产品
- 详细信息
- 文献和实验
- 技术资料
- 免疫原:
Synthesized peptide derived from human CD300f at 41-90 aa, Internal.
- 亚型:
IgG
- 形态:
Liquid
- 保存条件:
Store as concentrated solution. Centrifuge briefly prior to opening vial. For short-term storage (1-2 weeks), store at 4ºC. For long-term storage, aliquot and store at -20ºC or below. Avoid multiple freeze-thaw cycles.
- 克隆性:
Polyclonal
- 标记物:
Unconjugated
- 适应物种:
Human, Rat
- 保质期:
12 months from the shipping date of the product.
- 抗原来源:
Human
- 目录编号:
GTX34218
- 级别:
Primary Antibodies
- 库存:
Available
- 供应商:
GeneTex
- 宿主:
Rabbit
- 应用范围:
WB, IHC-P
- 浓度:
1 mg/ml (Please refer to the vial label for the specific concentration.)
- 靶点:
CD300f
- 抗体英文名:
CD300f antibody
- 抗体名:
CD300f 抗体
- 规格:
100 μl
WB analysis of HeLa and PC12 cell lysates using GTX34218 CD300f antibody.
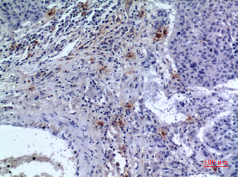
IHC-P analysis of human lung tissue using GTX34218 CD300f antibody.
Dilution : 1:100
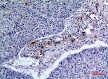
IHC-P analysis of human lung tissue using GTX34218 CD300f antibody.
Dilution : 1:100
风险提示:丁香通仅作为第三方平台,为商家信息发布提供平台空间。用户咨询产品时请注意保护个人信息及财产安全,合理判断,谨慎选购商品,商家和用户对交易行为负责。对于医疗器械类产品,请先查证核实企业经营资质和医疗器械产品注册证情况。
文献和实验ROTORS Table F.1. Rotor Characteristics Figure F.1. Cross section of Sorvall SS-34 rotor. Rotors for a centrifuge are either fixed angles , swinging buckets , continuous flow, or zonal, depending upon whether the sample is held
Production of Bispecif ic and Trispecific F(ab)2 and F(ab)3 Antibody Derivatives
Bispecific antibodies (BsAbs) are hybrid molecules designed to combine two antibodies with different specificities. This dual specificity has led to their application in a variety of diagnostic situations that require the crosslinking
P=0.05 (双侧) r r(较大均方的自由度) n 2 2 3 4 5 6 7 8 9 10 12 15 20 30 60 00 1 799 364 899 922 937 948 957 963 969 977 985 993 1001 1010 1018 1 2 39.0 39.2 39.2 39.3 39.3 39.3 39.4 39.4 39.4 39.4 39.4 39.4 39.5 39.5 39.5 2 3 10.0 15.4 15
技术资料暂无技术资料 索取技术资料








![BTK (phospho Ser180) antibody [3i5(3D3)]](https://img1.dxycdn.com/2022/0329/828/6716300186134020453-14.jpg!wh200)


