相关产品推荐更多 >
万千商家帮你免费找货
0 人在求购买到急需产品
- 详细信息
- 文献和实验
- 技术资料
- 库存:
409
- 保质期:
长期
- 供应商:
北京百奥莱博科技有限公司
- 保存条件:
冷藏
- 规格:
100次/500次/1000次
特别提示:包括土壤微生物免抽提直接PCR试剂盒在内,本公司的所有产品仅可用于科研实验,严禁用于临床医疗及其他非科研用途!
产品名称:土壤微生物免抽提直接PCR试剂盒
产品货号:HQF15
产品规格:100次/500次/1000次
除了土壤微生物免抽提直接PCR试剂盒,,我公司还供应以下相关产品:
名称:石蜡包埋组织直接RT-PCR试剂盒(免RNA提取)
货号:BTN131176
规格:30次
名称:PCR级海藻糖溶液
货号:BTN130506
规格:1.5mL
本产品为浓度为5M的海藻糖的水溶液,可以直接添加到PCR反应体系或逆转录反应中提高酶的热稳定性和活性。
产品特点:
1.在反应体系中加入海藻糖,可以增加热敏感的酶在高温下的稳定性和活性。
2. 海藻糖能增加鼠白血病病毒逆转录酶(Reverse Transcripatase)的热稳定和热激活特性,使其在60℃仍具有全部活性,足以在mRNA二级结构诱导终止反应之前合成全长的cDNA,反应效率大大提高。
3. 有助于提高干燥保存的酶的活性。
储存条件:低温运输,4℃保存,保存期一年
使用方法:按照1/3体积,将本产品加入到PCR体系中即可。
名称:核酸酶/DNA清除剂(喷雾清除剂)
货号:YT401
规格:250ml
本品是一种高效清除实验仪器、设备、材料固相表面的RNase和DNase等核酸酶污染的无毒喷洒型试剂,主要用于创造洁净的DNA和RNA操作环境;同时,本产品还能清除DNA,有助于消除环境中污染的DNA对于qPCR的干扰。
本产品能有效清除RNase、DNase和DNA,并且不会直接影响RNA的稳定性,具体的使用效果甚至优于进口品牌。
本产品使用安全,无毒性,但略有腐蚀性,在某些用途方面是一种非常安全的DEPC替代品。
本产品使用便捷。使用时直接将本产品均匀喷洒于固体表面,约5分钟后用洁净纸巾擦拭干净即可进行后续的实验操作。
本产品适用于实验仪器设备如PCR仪、离心机、移液器、实验台、试管架、离心管架、电泳槽等,及实验耗材如离心管、枪头、手套等表面核酸酶污染的清除,对于塑料制品、乳胶制品、玻璃制品、不锈钢制品均有效。
本产品对RNA无影响,极微量的本产品残留也不会明显影响下游的RNA相关实验。
注意事项:
1) 本产品每次使用后应当拧紧喷头,保证本产品的密闭保存,避免长时间接触空气,以免影响使用效果。
2) 使用本产品清除实验器材等表面的核酸酶污染后,仍需注意戴手套、口罩等进行操作,以免工作环境和样品被污染。
3) 本产品用于仪器设备时,仅限于仪器设备表面可以擦拭清洗的地方,严禁本产品流入仪器设备内部,以免影响或破坏仪器设备的正常运行。
储存条件:室温密封,有效期一年。
名称:长片段DNA超速PCR MasterMix
货号:ALH611
规格:1ml|5ml
本品包含超速长片段DNA聚合酶、dNTPs和优化的反应缓冲液,浓度为2×。使用时只需加入模板、引物,并补足水至Mix终浓度为1×即可。本制品含红色示踪染料,不需添加上样缓冲液即可直接上样进行电泳;也可经过纯化处理,以用于酶切、连接、荧光测序等后续操作。
产品特点:
1.超快的扩增速度:延伸速度可以达到5~10秒/kb,zuì短半小时完成PCR。
2.突出的长片段扩增能力:可以扩增高达10kb的长片段(包括人类基因组此类的复杂模板)。
3.良好保真性:保真度是taq的3~6倍以上。
4.强大扩增能力:产量高,对于一些有特殊结构的复杂模板和GC含量高模板有良好效果。
注意事项:
1.本系统扩增速度极快,短片段或者简单模板如质粒模板可以尝试5秒/kb延伸速度并采用较少循环数以进一步缩短PCR时间。长片段(≥3kb)或者复杂模板产量较低可以采用15-20秒/kb延伸速度或者采用较多循环数。
2.本品产量较低时可尝试采用较长的延伸时间(如20秒/kb)和循环数(如35个)可以提高PCR产物的产量。
3.对于GC含量很高的模板,短片段预变性和变性温度可以提高到98℃和/或适当延长变性时间。长片段为了避免DNA损伤不应该提高变性温度,应该适当延长预变性时间到5分钟,变性时间可以适当提高5-10秒。
4.如果扩增模板GC含量高或者模板复杂扩增效果不佳时,可在反应混合物中加入DMSO到终浓度1%-8%,按照1%梯度增加摸索zuì佳浓度。或者加入甜菜碱至终浓度1~1.7M。并采用降落PCR(Touchdown PCR)
储存条件:-20℃,有效期2年。
本制品别名:超速PCR MasterMix|大片段PCR MasterMix
名称:2×RoomTop Fast Taq PCR MasterMix
货号:JN0036
规格:1ml×5
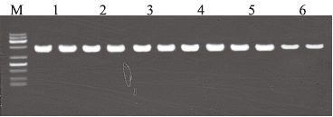
本制品是以2×Fast Taq PCR MasterMix为基础,与新型稳定剂整合后研发成功的预混试剂,具有高度的保存稳定性,室温25℃存放2个月,4℃存放6个月后,依然能保持极佳的扩增性能(图例一)。
2×RoomTop Fast Taq PCR MasterMix延续了Fast系列快速、高效的优点,72℃保温15秒延伸1kb,大幅度减少了PCR扩增所需要的时间,达到了缩短整个PCR反应时间的目的。
2×RoomTop Fast Taq PCR MasterMix对于基因组、高GC及复杂模板的扩增能获得更好的扩增效果。2×RoomTop Fast Taq PCR MasterMix提供快速上样型(含高纯度蓝色染料)及不含染料的普通型两种形式供您选择。快速上样型在PCR反应完成后可直接电泳,节省时 间。经测试,高纯度染料的加入不影响PCR反应。
产品特点:
1、可置于实验台上的PCR鉴定试剂。
2、室温存放2个月,4度存放6个月,扩增性能不受影响。
3、Fast Taq 扩增速度为Taq 4倍以上,长片段扩增更省时。
4、可直接用于菌落、菌液等PCR鉴定实验。
5、基因组DNA及复杂模板扩增效果更佳。
产品用途:常规PCR鉴定;小片段DNA克隆;PCR产物加A;长片段扩增
使用建议:
1、使用本试剂扩增得到的PCR产物3′ 端有一突出"A"碱基,可直接克隆于T载体中。
2、PCR反应液请在冰上配制,然后置于PCR仪上进行。这种冷启动法(Cool Start Method)可增加PCR扩增的特异性,得到良好的PCR结果。
3、使用PCR克隆目的片段时,为减少PCR过程中的随机突变,可适量增加模板量,减少PCR循环(如20至25次循环)。
应用实例:
图例一)在50μl 体系中,使用室温保存不同时间后2×RoomTop Fast Taq PCR Mix试剂对小鼠基因组2.1kb片段进行扩增
泳道M:DNA Ladder 2000 Plus 泳道1:0周
泳道2:2周 泳道3:4周
泳道4:6周 泳道5:8周
泳道6:10周 泳道7:12周
常用反应体系(50μl):
| 组分 | 体积 |
| 2×PCR MasterMix* | 25μl |
| 上游引物 | 0.2-1.0μM(终浓度) |
| 下游引物 | 0.2-1.0μM(终浓度) |
| 模板 | 1-50ng(质粒) |
| 10ng-1μg(基因组) | |
| ddH2O | 至50μl |
| *Mg2+终浓度为2mM | |
常用PCR循环:
| 当扩增片段<3K: | |
| 94℃ | 10分钟 |
| 30次循环 | 94℃,20秒 57℃ 20秒 72℃根据产物长度调整,15秒/kb |
| 72℃ | 3分钟 |
| 4℃ | 保温 |
| 当扩增片段≥3K(推荐引物长度≥30bp): | |
| 94℃ | 10分钟 |
| 30次循环 | 94℃,5秒 68℃ 根据产物长度调整,15秒/kb |
| 72℃ | 3分钟 |
| 4℃ | 保温 |
PCR MasterMix选购指南:
| 编号 | 产品名称 | 特点 |
| 适用于菌落鉴定、菌液鉴定及常规PCR鉴定实验的Mix系列 | ||
| JN0030 | 2×Taq PCR MasterMix | 高性价比PCR Mix,使用简便,扩增灵敏度高 |
| JN0034 | 2×Complex Taq PCR MasterMix | JN0030改进版,性能更均衡,适用面更广 |
| JN0040 | 2×Fast Taq PCR MasterMix | zuì快速的PCR试剂,常规PCR鉴定45分钟内知道结果 |
| JN0035 | 2×RoomTop Taq PCR MasterMix | 可放在手边的PCR试剂,室温稳定存放60天 |
| JN0036 | 2×RoomTop Fast Taq PCR MasterMix | 室温稳定存放60天,高速PCR试剂,常规PCR鉴定45分钟内知道结果 |
| 适用于一些较难扩增的PCR条带的鉴定及短片段克隆 | ||
| JN0032 | 2×Taq Plus PCR MasterMix | 扩增效率更高及较好的保真度 |
| JN0038 | 2×Hot Start Taq PCR MasterMix | 采用热启动Taq,可获得很好的特异性 |
| JN0041 | 2×Ultra Taq PCR MasterMix | 高速扩增酶,优化配方,解决PCR扩增难题的,灵敏度高 |
| 高保真酶试剂,适用于长片段基因克隆 | ||
| JN0031 | 2×Pfu PCR MasterMix | 采用高保真酶,适用于基因克隆 |
| JN0043 | 2×Fast Pfu PCR MasterMix | 采用改良型高保真酶,更好的扩增效果,4倍扩增速度;扩增迅速 |
| 防止PCR产物二次污染、极高检测灵敏度的PCR试剂 | ||
| JN0047 | 2×PCR MasterMix(防污染) | 采用dUTP/UDG酶系统,从根本上杜绝PCR产物二次污染 |
| JN0033 | 2×Genotyping PCR Kit(nomal) | 极高检测灵敏度,可达到普通PCR试剂102至104倍扩增灵敏度 |
PCR MasterMix性能对比表:
| 名称 | 编号 | 扩增时间 | 扩增长度 | 是否有3"-A | 基因组扩增 |
| 2×Taq PCR MasterMix | JN0030 | 1min/kb | ≤8kb | √ | + |
| 2×RoomTop Taq PCR MasterMix | JN0035 | 1min/kb | ≤8kb | √ | ++ |
| 2×Complex Taq PCR MasterMix | JN0034 | 1min/kb | ≤8kb | √ | + |
| 2×Fast Taq PCR MasterMix | JN0040 | 15s/kb | ≤8kb | √ | + |
| 2×RoomTop Fast Taq PCR MasterMix | JN0036 | 15s/kb | ≤8kb | √ | ++ |
| 2×Ultra Taq PCR MasterMix | JN0041 | 15s/kb | ≤8kb | √ | +++ |
| 2×Taq Plus PCR MasterMix | JN0032 | 1min/kb | ≤20kb | √ | ++++ |
| 2×Ultra Taq Plus PCR MasterMix | JN0042 | 15s/kb | ≤30kb | √ | ++++ |
| 2×Hot Start Taq PCR MasterMix | JN0038 | 1min/kb | ≤8kb | √ | ++++ |
| 2×Hot Start Taq Plus PCR MasterMix | JN0039 | 1min/kb | ≤20kb | √ | ++++ |
| 2×Pfu PCR MasterMix | JN0031 | 1min/kb | ≤6kb | × | + |
| 2×Fast Pfu PCR MasterMix | JN0043 | 30min/kb | ≤12kb | × | + |
| 2×SYBR Green Realtime PCR MasterMix | JN0049 | 1min/kb | ≤8kb | √ | ++ |
| 2×Genotyping PCR Kit(Normal) | JN0033 | 1min/kb | ≤8kb | √ | +++++ |
| 2×Genotyping PCR Kit(Fast) | JN0044 | 15s/kb | ≤8kb | √ | +++++ |
| 2×PCR MasterMix(防污染) | JN0047 | 1min/kb | ≤8kb | √ | + |
风险提示:丁香通仅作为第三方平台,为商家信息发布提供平台空间。用户咨询产品时请注意保护个人信息及财产安全,合理判断,谨慎选购商品,商家和用户对交易行为负责。对于医疗器械类产品,请先查证核实企业经营资质和医疗器械产品注册证情况。
文献和实验【求助】土壤微生物总DNA的提取及细菌16S rDNA的PCR扩增出问题了,寻求大家的帮助!
tyuanc 我用MO Bio的soil DNA Isolation Kit提取土壤总DNA,提取的DNA直接跑胶,看不见任何条带,采用细菌16S rDNA通用引物(27F和1492R)进行PCR扩增,也没有结果,有一次我将试剂盒提取的DNA50倍稀释后,进行细菌16S rDNA的PCR扩增,扩增出了目的条带,我所用的酶为Takara的LA Taq,用普通的Taq酶扩增不出来,但隔了一周后再去重复,什么条件都一样,却再也扩不出来了,我重新提取了新的DNA进行
【分享】Thermo Scientific 直接PCR(植物、动物、人源组织)
直接PCR方法使PCR可以直接从样本开始,为DNA扩增带来前所未有的便捷。未经DNA纯化而直接使用微量原始样本做模板,为PCR实验节省大量的时间和成本。 优势: 无需进行昂贵又费时的DNA抽提; 样品需求量小; 实验方案简便,手动操作步骤少; 实验时间极短; 已对多种样本类型进行测试; 强劲的热启动DNA聚合酶保证特异性和高产量。 适用于各类植物样本的高效PCR 测试样本:叶片(拟南芥、玉米、水稻、棉花、烟草、葡萄藤) 种子(苹果、胡萝卜、南瓜) 真菌和藓类(稻瘟
学功能。 空间代谢组学 鹿明空间代谢组是基于质谱成像技术发展而来的,免标记、无需基质、周期短。通过质谱成像技术对不同组织器官中的代谢物进行定性、定量、定位三个维度的分析,突破传统代谢组研究损失空间信息的瓶颈。空间代谢组学作为一种新型的分子影像技术,能够直接从生物组织中获得大量已知或未知的内源性代谢物和外源性药物等分子的结构、含量和空间分布信息。 图 1 | 不同质荷比大小的代谢物在大鼠脑中的空间成像 技术原理 鹿明空间代谢组在解吸电喷雾电离质谱成像(DESI-MSI)技术上进一步升级,形成
技术资料暂无技术资料 索取技术资料










