相关产品推荐更多 >
万千商家帮你免费找货
0 人在求购买到急需产品
- 详细信息
- 技术资料
- 供应商:
上海联迈生物工程有限公司
- 库存:
大量
- 靶点:
详见说明书
- 级别:
1
- 目录编号:
LM-1183R-FITC
- 克隆性:
多克隆
- 抗原来源:
Rabbit
- 保质期:
1年
- 抗体英文名:
Anti-IL-17/FITC
- 抗体名:
Anti-IL-17/FITC
- 标记物:
FITC标记
- 宿主:
Mouse, Rat,
- 适应物种:
Mouse, Rat,
- 免疫原:
详见说明书
- 亚型:
IGg
- 形态:
粉末、液体、冻干粉
- 应用范围:
IF=1:50-200
- 浓度:
1mg/ml
- 保存条件:
-20 °C
- 规格:
100ul
FITC标记的白介素-17抗体
| 英文名称 | Anti-IL-17/FITC |
| 中文名称 | FITC标记的白介素-17抗体 |
| 别 名 | Interleukin-17; CTLA 8; CTLA8; Cytotoxic T lymphocyte associated antigen 8; Cytotoxic T lymphocyte associated protein 8; Cytotoxic T lymphocyte associated serine esterase 8; IL 17A; IL17A; IL-17A; Interleukin 17; Interleukin 17A; Interleukin17; Interleukin17A. |
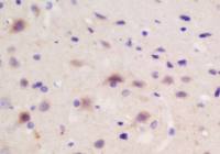
![]() |
Journal
PMID
IF
Application
Clinical Immunology (2014)
24787891
3.7710
IHC-F
|
| 规格价格 | 100ul/2980元 购买 大包装/询价 |
| 说 明 书 | 100ul |
| 研究领域 | 肿瘤 细胞生物 免疫学 转录调节因子 |
| 抗体来源 | Rabbit |
| 克隆类型 | Polyclonal |
| 交叉反应 | Mouse, Rat, |
| 产品应用 | IF=1:50-200 not yet tested in other applications. optimal dilutions/concentrations should be determined by the end user. |
| 分 子 量 | 15kDa |
| 性 状 | Lyophilized or Liquid |
| 浓 度 | 1mg/ml |
| 免 疫 原 | KLH conjugated synthetic peptide derived from mouse IL-17 (85-150aa) |
| 亚 型 | IgG |
| 纯化方法 | affinity purified by Protein A |
| 储 存 液 | 0.01M TBS(pH7.4) with 1% BSA, 0.03% Proclin300 and 50% Glycerol. |
| 保存条件 | Store at -20 °C for one year. Avoid repeated freeze/thaw cycles. The lyophilized antibody is stable at room temperature for at least one month and for greater than a year when kept at -20°C. When reconstituted in sterile pH 7.4 0.01M PBS or diluent of antibody the antibody is stable for at least two weeks at 2-4 °C. |
| 产品介绍 | background: IL17, also known as CTLA8, is a T cell derived hematopoietic cytokine. It was originally cloned from a T cell hybridoma produced by fusion of a mouse cytotoxic T cell clone and a rat T lymphoma. IL17 exhibits multiple biological activities on a variety of cells including: the induction of IL6, IL8 and GCSF production in fibroblasts; the enhancement of surface expression of ICAM 1 in fibroblasts; activation of NF kappaB and costimulation of T cell proliferation. IL17 is an approximately 16 kDa polypeptide of 136 amino acids. The precursor form of IL17 consists of 155 amino acids. To generate the mature IL17 (136 amino acids), the precursor cleaves a 19 amino acid signal peptide. Human IL17 shows approximately 62.5% amino acid homology to mouse IL17 and 58% amino acid homology to rat IL17. Function: Induces stromal cells to produce proinflammatory and hematopoietic cytokines. Enhances the surface expression of ICAM1/intracellular adhesion molecule 1 in fibroblasts. Subunit: Homodimer. Subcellular Location: Secreted. Tissue Specificity: Restricted to a subset of activated T-cells. Post-translational modifications: Found both in glycosylated and nonglycosylated forms. Similarity: Belongs to the IL-17 family. Database links: Entrez Gene: 3605 Human Entrez Gene: 16171 Mouse Entrez Gene: 301289 Rat Omim: 603149 Human SwissProt: Q16552 Human SwissProt: Q62386 Mouse SwissProt: Q61453 Rat Unigene: 41724 Human Unigene: 5419 Mouse Unigene: 218513 Rat Important Note: This product as supplied is intended for research use only, not for use in human, therapeutic or diagnostic applications. 白细胞介素17(IL-17A)是一种来源于活化T淋巴细胞的细胞因子,具有较广泛的生物学活性,它能够通过诱导基质细胞产生前炎性细胞因子和造血细胞因子参与机体免疫调节及部分炎症反应,因此白细胞介素IL-17A可能是某些疾病发生发展的重要因素之一。Interleukin-17 原称CTLA-8, 是T细胞表达的多肽,参与造血干系统的调节,已经显示IL-17促进纤维母细胞产生IL-6,IL-8和G-CSF。 |
风险提示:丁香通仅作为第三方平台,为商家信息发布提供平台空间。用户咨询产品时请注意保护个人信息及财产安全,合理判断,谨慎选购商品,商家和用户对交易行为负责。对于医疗器械类产品,请先查证核实企业经营资质和医疗器械产品注册证情况。
技术资料暂无技术资料 索取技术资料
FITC标记的白介素-17抗体
¥2980










