相关产品推荐更多 >
万千商家帮你免费找货
0 人在求购买到急需产品
- 详细信息
- 文献和实验
- 技术资料
- 免疫原:
A synthetic peptide corresponding to a sequence within amino acids 150-250 of human SNRNP70 (NP_003080.2).
- 亚型:
IgG
- 形态:
Liquid
- 保存条件:
Store as concentrated solution. Centrifuge briefly prior to opening vial. For short-term storage (1-2 weeks), store at 4ºC. For long-term storage, aliquot and store at -20ºC or below. Avoid multiple freeze-thaw cycles.
- 克隆性:
Polyclonal
- 标记物:
Unconjugated
- 适应物种:
Human, Mouse, Rat
- 保质期:
12 months from the shipping date of the product.
- 抗原来源:
Human
- 目录编号:
GTX65948
- 级别:
Primary Antibodies
- 库存:
Available
- 供应商:
GeneTex
- 宿主:
Rabbit
- 应用范围:
WB, IHC-P
- 浓度:
Batch dependent (Please refer to the vial label for the specific concentration.)
- 靶点:
U1 snRNP70
- 抗体英文名:
U1 snRNP70 antibody
- 抗体名:
U1 snRNP70 抗体
- 规格:
100 μl
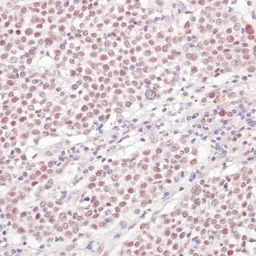
IHC-P analysis of human cervix cancer tissue using GTX65948 U1 snRNP70 antibody.
Dilution : 1:100
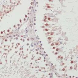
IHC-P analysis of rat testis tissue using GTX65948 U1 snRNP70 antibody.
Dilution : 1:100
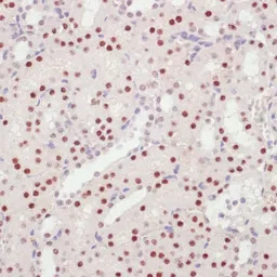
IHC-P analysis of mouse kidney tissue using GTX65948 U1 snRNP70 antibody.
Dilution : 1:100
WB analysis of various sample lysates using GTX65948 U1 snRNP70 antibody. The signal was developed with ECL plus-Enhanced.
Dilution : 1:1000
Loading : 25μg per lane
风险提示:丁香通仅作为第三方平台,为商家信息发布提供平台空间。用户咨询产品时请注意保护个人信息及财产安全,合理判断,谨慎选购商品,商家和用户对交易行为负责。对于医疗器械类产品,请先查证核实企业经营资质和医疗器械产品注册证情况。
文献和实验8 The Recovery of Immunoglobulin Sequences from Single Human B Cells by Clonal Expansion
The development of phage-display technology and the construction of huge libraries of antibody (Ab ) fragments have provided an unlimited source of binders to virtually any antigen (Ag ) (1 ). However, it is unlikely that the heavy (VH
further using protein–RNA interactions known to exist in the U1 snRNP. The results indicate that the RIP assay is a powerful tool to identify RNA–protein interactions in vivo and has the potential to unravel the cellular network of RNP complexes in their native
. Biochemistry 22:4546‐4550. Ferre‐D'Amare, A.R. 2010. Use of the spliceosomal protein U1A to facilitate crystallization and structure determination of complex RNAs. Methods 52:159‐167
技术资料暂无技术资料 索取技术资料





![ALDH1L1 antibody [1H6]](https://img1.dxycdn.com/2022/0328/672/0507497626488500453-14.jpg!wh200)





