相关产品推荐更多 >
万千商家帮你免费找货
0 人在求购买到急需产品
- 详细信息
- 技术资料
- 抗体名:
IL-1R1 Rabbit Polyclonal Antibody抗体
- 抗体英文名:
IL-1R1 Rabbit Polyclonal Antibody
- 靶点:
IL1R1
- 浓度:
1mg/ml
- 应用范围:
FC, ICC, IF, IHC-Fr, IHC-P, WB
- 宿主:
Rabbit
- 适应物种:
Human
- 保质期:
6-12个月
- 抗原来源:
详询
- 目录编号:
orb499639
- 级别:
科研级
- 库存:
88
- 供应商:
biorbyt
- 标记物:
Unconjugated
- 克隆性:
Polyclonal
- 形态:
Liquid
- 亚型:
IgG
- 免疫原:
KLH conjugated synthetic peptide derived from human IL-1R1 (41-140/569aa)
- 规格:
50 ul
产品描述:IL-1R1 Rabbit Polyclonal Antibody
别名:Antigen CD121a; CD121 antigen-like family member A; CD121A; CD121a antigen; D2S1473; IL 1; IL 1R 1; IL 1R alpha; IL 1RT1; IL-1R-1; IL-1R-alpha; IL-1RT-1; IL-1RT1; IL1 inhibitor; IL1R; IL1R1; IL1R1_HUMAN; IL1RA; IL1RN; IL1RT1; Interleukin 1 receptor alpha type 1; Interleukin 1 receptor antagonist protein(IRAP); Interleukin 1 receptor type I; Interleukin receptor 1; Interleukin-1 receptor alpha; Interleukin-1 receptor type 1; Interleukin-1 receptor type I; P80; IL1 Receptor I; IL-1 Receptor I; Interleukin-1 receptor type 1, soluble form; IL-1 sRI.
免疫原:KLH conjugated synthetic peptide derived from human IL-1R1 (41-140/569aa)
预测反应性:Canine, Mouse, Porcine
分子量:63 kDa
应用稀释比例:WB=1:500-2000, IHC-P=1:100-500, IHC-F=1:100-500, ICC/IF=1:100-500, IF=1:100-500, Flow-Cyt=1μg /test
防腐剂:0.01M TBS (pH7.4) with 1% rAlbumin, 0.02% Proclin300 and 50% Glycerol.
纯化:Affinity purified by Protein A
保存说明:Maintain refrigerated at 2-8°C for up to 2 weeks. For long term storage store at -20°C in small aliquots to prevent freeze-thaw cycles.
UniProt ID:P14778
Note:For research use only.




别名:Antigen CD121a; CD121 antigen-like family member A; CD121A; CD121a antigen; D2S1473; IL 1; IL 1R 1; IL 1R alpha; IL 1RT1; IL-1R-1; IL-1R-alpha; IL-1RT-1; IL-1RT1; IL1 inhibitor; IL1R; IL1R1; IL1R1_HUMAN; IL1RA; IL1RN; IL1RT1; Interleukin 1 receptor alpha type 1; Interleukin 1 receptor antagonist protein(IRAP); Interleukin 1 receptor type I; Interleukin receptor 1; Interleukin-1 receptor alpha; Interleukin-1 receptor type 1; Interleukin-1 receptor type I; P80; IL1 Receptor I; IL-1 Receptor I; Interleukin-1 receptor type 1, soluble form; IL-1 sRI.
免疫原:KLH conjugated synthetic peptide derived from human IL-1R1 (41-140/569aa)
预测反应性:Canine, Mouse, Porcine
分子量:63 kDa
应用稀释比例:WB=1:500-2000, IHC-P=1:100-500, IHC-F=1:100-500, ICC/IF=1:100-500, IF=1:100-500, Flow-Cyt=1μg /test
防腐剂:0.01M TBS (pH7.4) with 1% rAlbumin, 0.02% Proclin300 and 50% Glycerol.
纯化:Affinity purified by Protein A
保存说明:Maintain refrigerated at 2-8°C for up to 2 weeks. For long term storage store at -20°C in small aliquots to prevent freeze-thaw cycles.
UniProt ID:P14778
Note:For research use only.

Blank control (blue line): MCF7 (fixed with 70% methanol overnight at 4°C). Primary Antibody (green line): Rabbit Anti-IL-1R1 receptor antibody (orb499639), dilution: 0.2 µg/10^6 cells, Isotype Control Antibody (orange line): Rabbit IgG. Secondary Antibody (white blue line): Goat anti-rabbit IgG-PE, dilution: 1 µg/Test.

HepG2 cell, 4% Fixative-fixed, Triton X-100 at room temperature for 20 min, Blocking buffer (normal goat serum) at 37°C for 20 min, Antibody incubation with (IL-1R1) polyclonal Antibody, Unconjugated (orb499639) 1:100, 90 minutes at 37°C, followed by a conjugated Goat Anti-Rabbit IgG antibody at 37°C for 90 minutes, DAPI (blue) was used to stain the cell nuclei.

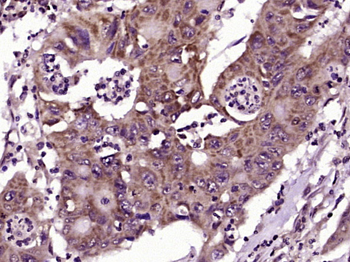
Fixative-fixed, paraffin embedded (human colon carcinoma), Antigen retrieval by boiling in sodium citrate buffer (pH6.0) for 15 min, Block endogenous peroxidase by 3% hydrogen peroxide for 20 minutes, Blocking buffer (normal goat serum) at 37°C for 30 min, Antibody incubation with (IL-1R1) Polyclonal Antibody, Unconjugated (orb499639) at 1:400 overnight at 4°C, followed by operating according to SP Kit (Rabbit) instructionsand DAB staining.

Sample: Hela (human) Cell Lysate at 40 ug, Primary: Anti-IL-1R1 (orb499639) at 1/300 dilution, Secondary: IRDye800CW Goat Anti-Rabbit IgG at 1/20000 dilution, Predicted band size: 63 kD, Observed band size: 63 kD.
风险提示:丁香通仅作为第三方平台,为商家信息发布提供平台空间。用户咨询产品时请注意保护个人信息及财产安全,合理判断,谨慎选购商品,商家和用户对交易行为负责。对于医疗器械类产品,请先查证核实企业经营资质和医疗器械产品注册证情况。
技术资料暂无技术资料 索取技术资料
IL-1R1 Rabbit Polyclonal Antibody抗体,orb499639,biorbyt
¥3120







![NSMCE1 antibody [N1C3]抗体,orb556408,biorbyt](https://img1.dxycdn.com/p/s14/2025/1204/381/8001351760443146991.jpg!wh200)


