相关产品推荐更多 >
万千商家帮你免费找货
0 人在求购买到急需产品
- 详细信息
- 技术资料
- 免疫原:
详见官方网站
- 亚型:
详见官方网站
- 形态:
冻干粉/浓缩液
- 保存条件:
-20℃
- 克隆性:
多克隆
- 标记物:
详见说明书
- 适应物种:
详见说明书
- 宿主:
详见官方网站
- 应用范围:
详见官方网站
- 浓度:
1mg/ml
- 抗体英文名:
Fc Epsilon R1 alpha Antibody (RPE)
- 规格:
100ug,200ug,1mg
GenWay公司是为了探索和开发人类蛋白组而成立的。公司的总任务就是用基因特异性抗体來筛选和鉴定新蛋白、其功能及其编码基因,旨在成为以抗体介导的蛋白组研发的领域先锋。基因纬公司已成功地发展出一套有自己知识产权的、新穎、高效、低耗、高筛选通量的鉴定方法――抗体介导的蛋白和基因鉴定。公司提供大量的高质量的蛋白和相应的鸡抗体产品,是蛋白质组学研究的重要工具和有力助手。 GenWay公司产品包括: 蛋白:大于2000种重组的可溶性或功能性蛋白, 抗体:鸡的IgY抗体,可以用于免疫捕获,WB,亲和纯化,免疫组化等 Seppro IgY Microbeads:用来删除高表达蛋白以达到分析低表达蛋白的目的;或者用来分离高纯度的靶蛋白。 ELISA试剂盒:人类高表达蛋白ELISA试剂盒(使用IgY抗体);以及儿茶酚胺及生物胺ELISA试剂盒 客户服务:抗体产生(鸡IgY),蛋白表达 美国GenWay公司是美国的著名鸡源抗体公司,提供大量的高质量的蛋白和相应的鸡抗体产品。
风险提示:丁香通仅作为第三方平台,为商家信息发布提供平台空间。用户咨询产品时请注意保护个人信息及财产安全,合理判断,谨慎选购商品,商家和用户对交易行为负责。对于医疗器械类产品,请先查证核实企业经营资质和医疗器械产品注册证情况。
技术资料暂无技术资料 索取技术资料
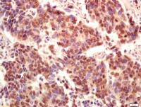
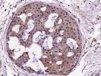
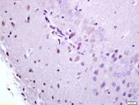
Fc Epsilon R1 alpha Antibody (RPE)
¥150









