相关产品推荐更多 >
万千商家帮你免费找货
0 人在求购买到急需产品
- 详细信息
- 文献和实验
- 技术资料
- 库存:
144
- 保质期:
长期
- 供应商:
北京百奥莱博科技有限公司
- 规格:
1ml×5
特别提示:包括2×RoomTop Taq PCR MasterMix在内,本公司的所有产品仅可用于科研实验,严禁用于临床医疗及其他非科研用途!
产品名称:2×RoomTop Taq PCR MasterMix
产品货号:JN0035
产品规格:1ml×5
本制品是以2×Taq PCR MasterMix为基础,与新型稳定剂整合后研发成功的预混试剂,具有极佳的保存稳定性,室温存放2个月,4℃存放6个月后,依然能保持极佳的扩增性能。2×RoomTop Taq PCR MasterMix保持了2×Taq PCR MasterMix试剂的特点,扩增长度可达8kb,能对4kb及其以下长度的片段进行高效地扩增。使用时只需加入模板和引物并稀释到一倍浓度即可进行PCR反应,大大地简化了操作过程,减少了 PCR操作过程中的污染。2×RoomTop Taq PCR MasterMix提供快速上样型(含高纯度蓝色染料)及不含染料的普通型两种形式供您选择。快速上样型在PCR反应完成后可直接电泳,节省时间。经测试,高纯度染料的加入不影响PCR反应。
产品特点:
1、可置于实验台上的PCR鉴定试剂。
2、室温存放2个月,4℃存放6个月,扩增性能不受影响。
3、可直接用于菌落、菌液等PCR鉴定实验。
产品用途:常规PCR鉴定;小片段DNA克隆;PCR产物加A。
使用建议:
1、使用本试剂扩增得到的PCR产物3′ 端有一突出"A"碱基,可直接克隆于 T载体中。
2、PCR反应液请在冰上配制,然后置于PCR仪上进行。这种冷启动法(Cool Start Method)可增加PCR扩增的特异性,得到良好的PCR结果。
3、使用PCR克隆目的片段时,为减少PCR过程中的随机突变,可适量增加模板量,减少PCR循环(如20至25次循环)。
应用实例:
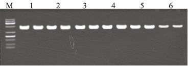
图例一)在50μl 体系中,使用室温保存不同 时间后2×RoomTop Taq PCR Mix试剂对小鼠基因组1.6kb片段进行扩增
泳道M:DNA Ladder 2000 Plus
泳道1:0周 泳道2:2周
泳道3:4周 泳道4:6周
泳道5:8周 泳道6:10周
常用反应体系(50μl):
| 组分 | 体积 |
| 2×PCR MasterMix* | 25μl |
| 上游引物 | 0.2-1.0μM(终浓度) |
| 下游引物 | 0.2-1.0μM(终浓度) |
| 模板 | 1-50ng(质粒) |
| 10ng-1μg(基因组) | |
| ddH2O | 至50μl |
| *Mg2+终浓度为2mM | |
常用PCR循环:
| 当扩增片段<3K: | |
| 94℃ | 10分钟 |
| 30次循环 | 94℃,20秒 57℃ 20秒 72℃根据产物长度调整,60秒/kb |
| 72℃ | 5分钟 |
| 4℃ | 保温 |
| 当扩增片段≥3K(推荐引物长度≥30bp): | |
| 94℃ | 10分钟 |
| 30次循环 | 94℃,5秒 68℃ 根据产物长度调整,60秒/kb |
| 72℃ | 5分钟 |
| 4℃ | 保温 |
PCR MasterMix选购指南:
| 编号 | 产品名称 | 特点 |
| 适用于菌落鉴定、菌液鉴定及常规PCR鉴定实验的Mix系列 | ||
| JN0030 | 2×Taq PCR MasterMix | 高性价比PCR Mix,使用简便,扩增灵敏度高 |
| JN0034 | 2×Complex Taq PCR MasterMix | JN0030改进版,性能更均衡,适用面更广 |
| JN0040 | 2×Fast Taq PCR MasterMix | 最快速的PCR试剂,常规PCR鉴定45分钟内知道结果 |
| JN0035 | 2×RoomTop Taq PCR MasterMix | 可放在手边的PCR试剂,室温稳定存放60天 |
| JN0036 | 2×RoomTop Fast Taq PCR MasterMix | 室温稳定存放60天,高速PCR试剂,常规PCR鉴定45分钟内知道结果 |
| 适用于一些较难扩增的PCR条带的鉴定及短片段克隆 | ||
| JN0032 | 2×Taq Plus PCR MasterMix | 扩增效率更高及较好的保真度 |
| JN0038 | 2×Hot Start Taq PCR MasterMix | 采用热启动Taq,可获得很好的特异性 |
| JN0041 | 2×Ultra Taq PCR MasterMix | 高速扩增酶,优化配方,解决PCR扩增难题的,灵敏度高 |
| 高保真酶试剂,适用于长片段基因克隆 | ||
| JN0031 | 2×Pfu PCR MasterMix | 采用高保真酶,适用于基因克隆 |
| JN0043 | 2×Fast Pfu PCR MasterMix | 采用改良型高保真酶,更好的扩增效果,4倍扩增速度;扩增迅速 |
| 防止PCR产物二次污染、极高检测灵敏度的PCR试剂 | ||
| JN0047 | 2×PCR MasterMix(防污染) | 采用dUTP/UDG酶系统,从根本上杜绝PCR产物二次污染 |
| JN0033 | 2×Genotyping PCR Kit(nomal) | 极高检测灵敏度,可达到普通PCR试剂102至104倍扩增灵敏度 |
PCR MasterMix性能对比表:
| 名称 | 编号 | 扩增时间 | 扩增长度 | 是否有3"-A | 基因组扩增 |
| 2×Taq PCR MasterMix | JN0030 | 1min/kb | ≤8kb | √ | + |
| 2×RoomTop Taq PCR MasterMix | JN0035 | 1min/kb | ≤8kb | √ | ++ |
| 2×Complex Taq PCR MasterMix | JN0034 | 1min/kb | ≤8kb | √ | + |
| 2×Fast Taq PCR MasterMix | JN0040 | 15s/kb | ≤8kb | √ | + |
| 2×RoomTop Fast Taq PCR MasterMix | JN0036 | 15s/kb | ≤8kb | √ | ++ |
| 2×Ultra Taq PCR MasterMix | JN0041 | 15s/kb | ≤8kb | √ | +++ |
| 2×Taq Plus PCR MasterMix | JN0032 | 1min/kb | ≤20kb | √ | ++++ |
| 2×Ultra Taq Plus PCR MasterMix | JN0042 | 15s/kb | ≤30kb | √ | ++++ |
| 2×Hot Start Taq PCR MasterMix | JN0038 | 1min/kb | ≤8kb | √ | ++++ |
| 2×Hot Start Taq Plus PCR MasterMix | JN0039 | 1min/kb | ≤20kb | √ | ++++ |
| 2×Pfu PCR MasterMix | JN0031 | 1min/kb | ≤6kb | × | + |
| 2×Fast Pfu PCR MasterMix | JN0043 | 30min/kb | ≤12kb | × | + |
| 2×SYBR Green Realtime PCR MasterMix | JN0049 | 1min/kb | ≤8kb | √ | ++ |
| 2×Genotyping PCR Kit(Normal) | JN0033 | 1min/kb | ≤8kb | √ | +++++ |
| 2×Genotyping PCR Kit(Fast) | JN0044 | 15s/kb | ≤8kb | √ | +++++ |
| 2×PCR MasterMix(防污染) | JN0047 | 1min/kb | ≤8kb | √ | + |
除了2×RoomTop Taq PCR MasterMix,,我公司还供应以下相关产品:
名称:PCR级海藻糖溶液
货号:BTN130506
规格:1.5mL
本产品为浓度为5M的海藻糖的水溶液,可以直接添加到PCR反应体系或逆转录反应中提高酶的热稳定性和活性。
产品特点:
1.在反应体系中加入海藻糖,可以增加热敏感的酶在高温下的稳定性和活性。
2. 海藻糖能增加鼠白血病病毒逆转录酶(Reverse Transcripatase)的热稳定和热激活特性,使其在60℃仍具有全部活性,足以在mRNA二级结构诱导终止反应之前合成全长的cDNA,反应效率大大提高。
3. 有助于提高干燥保存的酶的活性。
储存条件:低温运输,4℃保存,保存期一年
使用方法:按照1/3体积,将本产品加入到PCR体系中即可。
名称:2×Taq MasterMix(含染料)
货号:WE0102
规格:1ml|5ml|25ml
Taq MasterMix是由Taq DNA Polymerase、PCR Buffer、Mg2+、dNTPs以及PCR稳定剂和增强剂组成的预混体系,浓度为2×。预配好的PCR混合液可根据使用量的多少调节扩增产物的特异性和得率,使操作更加简单快捷,并可最大限度地减少人为误差和污染。*创的MasterMix配方使扩增产物得率高,重复性强,稳定性好。本产品已加入染料(蓝色),反应结束后可直接进行电泳检测,无需再使用上样缓冲液。扩增得到的PCR产物3"端附有一个“A”碱基,因此可直接用于T/A克隆。主要适用于PCR法扩增DNA、DNA序列测定等实验。
产品组成:
| 组份 | 1ml | 5ml | 25ml |
| 2×Taq MasterMix(With Dye) | 1ml | 5×1ml | 5×5ml |
| ddH2O | 1ml | 5×1ml | 5×5ml |
注意:2×Taq MasterMix含有Taq DNA Polymerase, 3 mM MgCl2 和400μM each dNTP。
质量控制:
1、经检验无外源核酸酶活性;
2、PCR方法检测无宿主残余DNA;
3、能有效地扩增多种基因组中的单拷贝基因。
使用方法:
以下举例为以人基因组DNA为模板,扩增1 kb的片段的PCR反应体系和反应条件,实际操作中应根据模板、引物结构和目的片段大小不同进行相应的改进和优化。
1、PCR反应体系:
| 试剂 | 50μl反应体系 | 终浓度 |
| 2×Taq MasterMix(With Dye) | 25μl | 1× |
| Forward Primer,10μM | 2μl | 0.4μM |
| Reverse Primer,10μM | 2μl | 0.4μM |
| Template DNA | <0.5μg | <0.5μg/50μl |
| ddH2O | up to 50μl |
注意:引物浓度请以终浓度0.1-1.0μM作为设定范围的参考。扩增效率不高的情况下,可提高引物的浓度;发生非特异性反应时,可降低引物浓度,由此优化反应体系。
2、PCR反应条件:
| 步骤 | 温度 | 时间 | 循环数 |
| 预变性 | 94℃ | 2 min | |
| 变性 | 94℃ | 30 s | 25-35 个循环 |
| 退火 | 55-65℃ | 30 s | |
| 延伸 | 72℃ | 30 s | |
| 终延伸 | 72℃ | 2 min |
注意:
1)一般实验中退火温度比扩增引物的熔解温度Tm低5℃,无法得到理想的扩增效率时,适当降低退火温度;发生非特异性反应时,提高退火温度,由此优化反应条件。
2)延伸时间应根据所扩增片段大小设定,本产品Taq DNA Polymerase的扩增效率为2 kb/min。
3)可根据扩增产物的下游应用设定循环数。如果循环次数太少,扩增量不足;如果循环次数太多,错配机率会增加,非特异性背景严重。所以在保证产物得率的前提下应尽量减少循环次数。
储存条件:-20℃,避免反复冻融。
风险提示:丁香通仅作为第三方平台,为商家信息发布提供平台空间。用户咨询产品时请注意保护个人信息及财产安全,合理判断,谨慎选购商品,商家和用户对交易行为负责。对于医疗器械类产品,请先查证核实企业经营资质和医疗器械产品注册证情况。
文献和实验bp 片段,以 pBS 菌液为模板扩增 1500 bp 片段。 模板:菌液 OD600=0.8 时 2 μL /50 μL PCR 扩增程序:同上 a 扩增程序同。 结果:Bioteke 2×power Taq PCR MasterMix 试剂对于质粒或菌液均可高效率的扩增。取扩增产物 10 μL 用 1% 琼脂糖凝胶电泳进行分析可见明亮条带。 二、genomic DNA扩增 1.大肠杆菌DNA扩增 模板:大肠杆菌DNA 50 ng/50 μL PCR扩增程序: 循环数 Step 温度
for both DNA sample and reaction mixture preparation, is strongly recommended.The reagents for PCR should be prepared separately and used solely for this purpose. Autoclaving of all solutions, except dNTPs, primers and Taq DNA Polymerase is recommended
Cloning of Taq polymerase-amplified PCR products
" vector) Taq polymerase has a nontemplate-dependent terminal transferase activity that adds a single deoxyadenosine (A) to the 3´ ends of PCR products. The linearized vector supplied in this kit has single, overhanging 3´ deoxythymidine (T) residues
技术资料暂无技术资料 索取技术资料










