相关产品推荐更多 >
万千商家帮你免费找货
0 人在求购买到急需产品
- 详细信息
- 文献和实验
- 技术资料
- 保质期:
ab215721
- 库存:
Anti-VAMP2
- 英文名:
Anti-VAMP2
- 保存条件:
ab215721
- 供应商:
上海研卉生物科技有限公司
- 规格:
40ul
Key features and details
- Produced recombinantly (animal-free) for high batch-to-batch consistency and long term security of supply
- Rabbit monoclonal [EPR20818] to VAMP2
- Suitable for: IP, IHC-P, WB
- Reacts with: Mouse, Rat, Human



-
描述
兔单克隆抗体[EPR20818] to VAMP2 -
宿主
Rabbit -
经测试应用
适用于: IP, IHC-P, WB -
种属反应性
与反应: Mouse, Rat, Human -
免疫原
Synthetic peptide. This information is proprietary to Abcam and/or its suppliers.
-
阳性对照
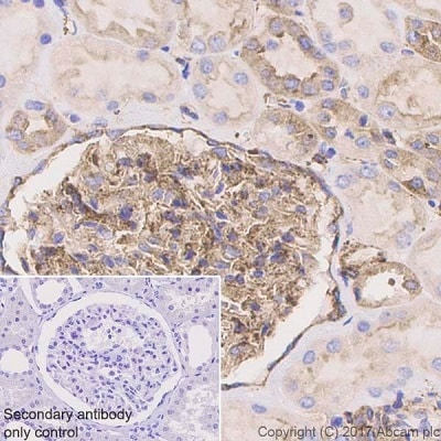
- WB: Neuro-2a, U-87 MG, SH-SY5Y, NIH/3T3, RAW 264.7, PC-12 and C6 whole cell lysates; Human cerebellum and fetal brain lysates; Mouse brain, hippocampus and cerebellum lysates; Rat heart, hippocampus and cerebellum lysates. IHC-P: Human kidney tissue; Mouse and rat cerebrum tissues. IP: Mouse brain lysate.
-
存储溶液
pH: 7.2
Preservative: 0.01% Sodium azide
Constituents: 0.05% BSA, 40% Glycerol (glycerin, glycerine), PBS -
浓度
- 100 µl 浓度为 0.684 mg/ml
- 10 µl 浓度为 0.583 mg/ml
-
应用 Ab评论 说明 IP 1/30.IHC-P (3) 1/2000. Perform heat mediated antigen retrieval with Tris/EDTA buffer pH 9.0 before commencing with IHC staining protocol.WB 1/1000. Detects a band of approximately 18 kDa (predicted molecular weight: 12 kDa).
风险提示:丁香通仅作为第三方平台,为商家信息发布提供平台空间。用户咨询产品时请注意保护个人信息及财产安全,合理判断,谨慎选购商品,商家和用户对交易行为负责。对于医疗器械类产品,请先查证核实企业经营资质和医疗器械产品注册证情况。
文献和实验大鼠海马体神经元和活体大鼠脑注射 α 突触核蛋白后做的免疫细胞化学和免疫组化分析。 原代大鼠海马体神经元被 1 型突触核蛋白前体原纤维(SPR-322)4 µg/mL(D-F)处理后显示路易体内含物的形成,而当被 2 型突触核蛋白前体原纤维(SPR-317)4 µg/mL(A-C)处理时没有路易体内含物形成。组织:原代海马体神经元,物种:斯普拉-道来氏大鼠,固定:由 PFA 制作的 4% 甲醛。一抗:小鼠抗 pSer129 抗体, 稀释度 1:1,000,4 °C 下处理 24 小时;二抗
了,这样超容易脱片。此外,用 EDTA 修复比柠檬酸容易脱片,但是你要用到 EDTA 的时候也没办法,只有从另外的问题上着手。 7、此外,一旦见到有组织漂起来操作就更加要谨慎,用 PBS 的时候尽量用泡的,不要冲。基本上把这些方面都注意到了,能改善的尽量改善,脱片可以减少很多。 十六、背景染色较深的原因有哪些? 1、抗体浓度过高:一抗浓度过高是常见的原因之一。解决办法是,每次使用新抗体前应当对其工作浓度进行测试,使每一抗体个体化,找到适合自己实验室的理想工作浓度,既使是即用型的抗体也应如此,不能
(共享) 高免血清制备的方案!! (共享) 免疫组化操作流程 (共享) 实验室分子生物学免疫学等常用试剂配方 (共享)92-99四军大免疫博士入学试题汇总! (共享)anti-CXCR1, anti-CXCR2, anti-CCR7 小鼠抗人单克隆抗体剩余 (共享)DNA疫苗技术 (共享)Eight Immunology flashs (共享)ELISA处理软件(1) (共享)elisa的通用规则 (共享)Elisa分析软件 (共享)ELISA数据处理软件(2) (共享
技术资料暂无技术资料 索取技术资料










