相关产品推荐更多 >
万千商家帮你免费找货
0 人在求购买到急需产品
- 详细信息
- 文献和实验
- 技术资料
- 免疫原:
Recombinant fusion protein containing a sequence corresponding to amino acids 940-1160 of human SPTA1 (NP_003117.2).
- 亚型:
IgG
- 形态:
Liquid
- 保存条件:
Store as concentrated solution. Centrifuge briefly prior to opening vial. For short-term storage (1-2 weeks), store at 4ºC. For long-term storage, aliquot and store at -20ºC or below. Avoid multiple freeze-thaw cycles.
- 克隆性:
Polyclonal
- 标记物:
Unconjugated
- 适应物种:
Human, Mouse, Rat
- 保质期:
12 months from the shipping date of the product.
- 抗原来源:
Human
- 目录编号:
GTX64806
- 级别:
Primary Antibodies
- 库存:
Available
- 供应商:
GeneTex
- 宿主:
Rabbit
- 应用范围:
WB, IHC-P
- 浓度:
Batch dependent (Please refer to the vial label for the specific concentration.)
- 靶点:
alpha 1 Spectrin
- 抗体英文名:
alpha 1 Spectrin antibody
- 抗体名:
alpha 1 Spectrin 抗体
- 规格:
100 μl
IHC-P analysis of rat bone marrow tissue using GTX64806 alpha 1 Spectrin antibody.
Blue : DAPI
Dilution : 1:100
IHC-P analysis of rat spleen tissue using GTX64806 alpha 1 Spectrin antibody.
Dilution : 1:100
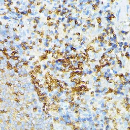
IHC-P analysis of human tonsil tissue using GTX64806 alpha 1 Spectrin antibody.
Dilution : 1:100
IHC-P analysis of mouse liver tissue using GTX64806 alpha 1 Spectrin antibody.
Dilution : 1:100
IHC-P analysis of mouse lung tissue using GTX64806 alpha 1 Spectrin antibody.
Blue : DAPI
Dilution : 1:100
WB analysis of various sample lysates using GTX64806 alpha 1 Spectrin antibody.
Dilution : 1:3000
Loading : 25μg per lane
风险提示:丁香通仅作为第三方平台,为商家信息发布提供平台空间。用户咨询产品时请注意保护个人信息及财产安全,合理判断,谨慎选购商品,商家和用户对交易行为负责。对于医疗器械类产品,请先查证核实企业经营资质和医疗器械产品注册证情况。
文献和实验In situ hybridisation to alpha satellite sequences (chromosome specific)
Alpha satellite sequences, whilst highly repetitive, are specific to each individual chromosome. These sequences flank the centromeres and can present a target measured in megabases. In this protocol a biotin or digoxigenin labelled DNA
marrow. The prime suspect: an adhesion molecule called alpha2 integrin. The molecule showed increased expression on memory cells, and its ligand is predominantly expressed in bone marrow tissue. Also, when the researchers blocked alpha2 integrin
domesticus x Mus spretus] F1 DNA). In the analysis of the antibody bound (B) and unbound (U) fractions (right panel), the bands representing the maternal and paternal alleles are indicated.MATERIALS Reagents100-bp DNA step ladder (for duplex PCR
技术资料暂无技术资料 索取技术资料





![Topoisomerase II beta antibody [C3], C-term](https://img1.dxycdn.com/2022/0328/155/5042837999674200453-14.jpg!wh200)


![Lamin A antibody [4E7]](https://img1.dxycdn.com/2022/0328/993/4899327180003500453-14.jpg!wh200)
![Bcl-2 antibody [100]](https://img1.dxycdn.com/2022/0328/883/5798465451701400453-14.jpg!wh200)

