相关产品推荐更多 >
万千商家帮你免费找货
0 人在求购买到急需产品
- 详细信息
- 文献和实验
- 技术资料
- 免疫原:
Recombinant fusion protein containing a sequence corresponding to amino acids 1-309 of human MAGEA1 (NP_004979.3).
- 亚型:
IgG
- 形态:
Liquid
- 保存条件:
Store as concentrated solution. Centrifuge briefly prior to opening vial. For short-term storage (1-2 weeks), store at 4ºC. For long-term storage, aliquot and store at -20ºC or below. Avoid multiple freeze-thaw cycles.
- 克隆性:
Polyclonal
- 标记物:
Unconjugated
- 适应物种:
Human
- 保质期:
12 months from the shipping date of the product.
- 抗原来源:
Human
- 目录编号:
GTX64672
- 级别:
Primary Antibodies
- 库存:
Available
- 供应商:
GeneTex
- 宿主:
Rabbit
- 应用范围:
WB, ICC/IF, IHC-P
- 浓度:
Batch dependent (Please refer to the vial label for the specific concentration.)
- 靶点:
MAGE 1
- 抗体英文名:
MAGE 1 antibody
- 抗体名:
MAGE 1 抗体
- 规格:
100 μl
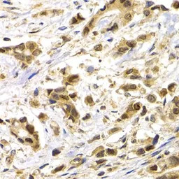
IHC-P analysis of human stomach cancer tissue using GTX64672 MAGE 1 antibody.
Dilution : 1:200
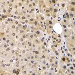
IHC-P analysis of human liver cancer tissue using GTX64672 MAGE 1 antibody.
Dilution : 1:200
ICC/IF analysis of HeLa cells using GTX64672 MAGE 1 antibody.
Blue : DAPI
IHC-P analysis of human breast cancer tissue using GTX64672 MAGE 1 antibody.
Dilution : 1:200
WB analysis of 22Rv1 cell lysate using GTX64672 MAGE 1 antibody.
Dilution : 1:1000
Loading : 25μg per lane
风险提示:丁香通仅作为第三方平台,为商家信息发布提供平台空间。用户咨询产品时请注意保护个人信息及财产安全,合理判断,谨慎选购商品,商家和用户对交易行为负责。对于医疗器械类产品,请先查证核实企业经营资质和医疗器械产品注册证情况。
文献和实验19的蛋白质的T细胞,但这仅在B细胞上适用。虽然消除癌变的细胞的同时也消除健康的B细胞,但副作用相对容易忍受。但要在固体瘤上找到类似的靶很难,因为它比液体肿瘤更不均匀的。“这是一个主要的限制条件,”里巴斯说。“我们很高兴发现CD19,但目前还不清楚下一个靶是什么。” 研究人员挖掘基因表达数据库企图找到最佳候选。但激发免疫反应的特异性蛋白可能很危险:几年前,四例患者死于工程T细胞的一系列试验中,这类T细胞会攻击表达MAGE-A3蛋白质的细胞。这种蛋白质只在胚胎和成人的某些癌
2-MEL瘤细胞,未被杀死的残余瘤细胞经扩增后再用其它CTL克隆进行杀伤,如对前者抵抗的残余肿瘤能被后者杀伤,说明MZ2-MEL瘤细胞存在不同的T细胞识别表位。应用此法发现了MZ2-MEL瘤细胞系至少有6个不同的T细胞识别表位。进而发现MAGE是一个大的基因家族,其中MAGE-1、-2、-3、-4、-6、-12基因与肿瘤密切性关。这些基因在其他多种组织来源的肿瘤也有高表达,如:MAGE-1在非小细胞肺癌和乳腺癌中高表达;MAGE-2在头颈、膀胱、结直肠癌中高表达,但除睾丸外其他正常组织均不表达
技术资料暂无技术资料 索取技术资料






![CD5 antibody [GT0012]](https://img1.dxycdn.com/2022/0329/925/9666505635365020453-14.jpg!wh200)




