相关产品推荐更多 >
万千商家帮你免费找货
0 人在求购买到急需产品
- 详细信息
- 文献和实验
- 技术资料
- 免疫原:
Recombinant fusion protein containing a sequence corresponding to amino acids 30-200 of human SELP (NP_002996.2).
- 亚型:
IgG
- 形态:
Liquid
- 保存条件:
Store as concentrated solution. Centrifuge briefly prior to opening vial. For short-term storage (1-2 weeks), store at 4ºC. For long-term storage, aliquot and store at -20ºC or below. Avoid multiple freeze-thaw cycles.
- 克隆性:
Polyclonal
- 标记物:
Unconjugated
- 适应物种:
Human, Rat
- 保质期:
12 months from the shipping date of the product.
- 抗原来源:
Human
- 目录编号:
GTX64365
- 级别:
Primary Antibodies
- 库存:
Available
- 供应商:
GeneTex
- 宿主:
Rabbit
- 应用范围:
WB, IHC-P
- 浓度:
Batch dependent (Please refer to the vial label for the specific concentration.)
- 靶点:
CD62P
- 抗体英文名:
CD62P antibody
- 抗体名:
CD62P 抗体
- 规格:
100 μl
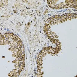
IHC-P analysis of human prostate tissue using GTX64365 CD62P antibody.
Dilution : 1:100
IHC-P analysis of human stomach tissue using GTX64365 CD62P antibody.
Dilution : 1:100
IHC-P analysis of human esophageal cancer tissue using GTX64365 CD62P antibody.
Dilution : 1:100
WB analysis of various sample lysates using GTX64365 CD62P antibody. The signal was developed with ECL plus-Enhanced.
Dilution : 1:1000
Loading : 25μg per lane
风险提示:丁香通仅作为第三方平台,为商家信息发布提供平台空间。用户咨询产品时请注意保护个人信息及财产安全,合理判断,谨慎选购商品,商家和用户对交易行为负责。对于医疗器械类产品,请先查证核实企业经营资质和医疗器械产品注册证情况。
文献和实验P- 选择素 (CD62P) 又称PADGEM、LECAM-3或颗粒膜蛋白140(GMP-140)。胞膜外区N端有1个C型凝集素结构域,1个EGF样结构域和9个CCP结构域。P-选择素表达于巨核细胞、活化血小板和活化的内皮细胞。P-选择素贮存于血小板。颗粒和内皮细胞Weibel-Palade小体中,当凝血酶、组胺、PMA或过氧化物活化细胞后,P-选择素从颗粒中迅速与胞膜融合,而表达于细胞膜上,由于膜上的P-选择素很快被内化并在溶酶体中降解,所以P-选择素的膜表达是瞬时
Generation of Antibody Molecules Through Antibody Engineering
been overcome to a large extent using genetic-engineering techniques to produce chimeric mouse/human and completely human antibodies. Such an approach is particularly suitable because of the domain structure of the antibody molecule ( 2 ), where functional
CD62E/CD62L/CD62P 分子 CD62E 常用单克隆抗体或代号: 3B7,4D1O;(E- selectin,ELAM- 1) 主要表达细胞: En [AS] 分子质量(kDa)和结构: gp110(C- lectin SF)结合白细胞ELS- 1 功 能: 粘附L- selectin,中性粒细胞通过结合CD15s结合到En CD62L 常用单克隆抗体或代号: Leu8,FMC46;(L-
技术资料暂无技术资料 索取技术资料











