相关产品推荐更多 >
万千商家帮你免费找货
0 人在求购买到急需产品
- 详细信息
- 文献和实验
- 技术资料
- 免疫原:
Recombinant Human MUC6 protein.
- 亚型:
IgG2a
- 形态:
Liquid
- 保存条件:
Store as concentrated solution. Centrifuge briefly prior to opening vial. Store at 4ºC. DO NOT FREEZE.
- 克隆性:
Monoclonal
- 标记物:
Unconjugated
- 适应物种:
Human
- 保质期:
12 months from the shipping date of the product.
- 抗原来源:
Human
- 目录编号:
GTX57206
- 级别:
Primary Antibodies
- 库存:
Available
- 供应商:
GeneTex
- 宿主:
Mouse
- 应用范围:
IHC-P
- 浓度:
Batch dependent (Please refer to the vial label for the specific concentration.)
- 靶点:
Mucin 6
- 抗体英文名:
Mucin 6 antibody [IHC626]
- 抗体名:
Mucin 6 抗体 [IHC626]
- 规格:
500 μl
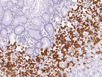
IHC-P analysis of human stomach tissue using GTX57206 Mucin 6 antibody [IHC626]
风险提示:丁香通仅作为第三方平台,为商家信息发布提供平台空间。用户咨询产品时请注意保护个人信息及财产安全,合理判断,谨慎选购商品,商家和用户对交易行为负责。对于医疗器械类产品,请先查证核实企业经营资质和医疗器械产品注册证情况。
文献和实验with pancreatic cancer (1,2), and these mucins may express a wide range of different carbohydrate structures The detection and quantification of mucin can be used in serological diagnosis of the disease.
Immunohistochemistry (IHC) of Thymus Frozen Sections
a slide from PBS and wipe edges of each slide with KimWipe to create a static barrier. Add 175 µL of 1º antibody to each slide. Cover with a lid x1hr. Rinse by dipping in 2 staing jars containing PBS. Soak in a 3rd PBS jar x5 min. Add 175
IHC frozen sections staining protocol
antibody. Glycine will bind free aldehyde groups that would otherwise bind the primary and secondary antibodies, leading to high background. Background due to free aldehyde groups is more likely to occur when the fixative is glutaraldehyde
技术资料暂无技术资料 索取技术资料





![Aurora B antibody [AURKB/3121R]](https://img1.dxycdn.com/2022/0328/533/0856594708759700453-14.jpg!wh200)


![CD3 zeta (phospho Tyr72) antibody [EM-26]](https://img1.dxycdn.com/2022/0328/932/4506646667607700453-14.jpg!wh200)

