相关产品推荐更多 >
万千商家帮你免费找货
0 人在求购买到急需产品
- 详细信息
- 文献和实验
- 技术资料
- 免疫原:
Purified recombinant fragment of human EIF4E expressed in E. Coli.
- 亚型:
IgG1
- 形态:
Liquid
- 保存条件:
Store as concentrated solution. Centrifuge briefly prior to opening vial. For short-term storage (1-2 weeks), store at 4ºC. For long-term storage, aliquot and store at -20ºC or below. Avoid multiple freeze-thaw cycles.
- 克隆性:
Monoclonal
- 标记物:
Unconjugated
- 适应物种:
Human
- 保质期:
12 months from the shipping date of the product.
- 抗原来源:
Human
- 目录编号:
GTX60420
- 级别:
Primary Antibodies
- 库存:
Available
- 供应商:
GeneTex
- 宿主:
Mouse
- 应用范围:
WB, ICC/IF, IHC-P, FACS, ELISA
- 靶点:
eIF4E
- 抗体英文名:
eIF4E antibody [5D11]
- 抗体名:
eIF4E 抗体 [5D11]
- 规格:
100 μl
WB analysis of HeLa (1), HEK293 (2) and K562 (3) cell lysate using GTX60420 eIF4E antibody [5D11].
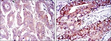
IHC-P analysis of stomach cancer (left) and prostate cancer (right) using GTX60420 eIF4E antibody [5D11].
ICC/IF analysis of GC-7901 cells using GTX60420 eIF4E antibody [5D11].
Green : eIF4E
Blue: DRAQ5 fluorescent DNA dye
Red: Actin filaments
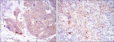
IHC-P analysis of liver cancer (left) and submaxillary tumor (right) using GTX60420 eIF4E antibody [5D11].
FACS analysis of HeLa cells using GTX60420 eIF4E antibody [5D11].
Green : eIF4E
Purple : negative control
ELISA analysis of antigen using GTX60420 eIF4E antibody [5D11].
Red : Control antigen 100ng
Purple : Antigen 10ng
Green : Antigen 50ng
Blue : Antigen 100ng
风险提示:丁香通仅作为第三方平台,为商家信息发布提供平台空间。用户咨询产品时请注意保护个人信息及财产安全,合理判断,谨慎选购商品,商家和用户对交易行为负责。对于医疗器械类产品,请先查证核实企业经营资质和医疗器械产品注册证情况。
文献和实验全球首次!分离的新冠病毒中和抗体,还可同时抗 SARS 病毒
的特效药。对于此次的 COVID- 19 而言,目前也缺乏治疗该疾病的疫苗和靶向疗法。2020 年 3 月 11 日,来自荷兰乌得勒支大学的 Berend-Jan Bosch 教授团队在预印本杂志 bioRxiv 发表了题为《A human monoclonal antibody blocking SARS-CoV- 2 infection》的研究论文。该研究报告了一种能够同时中和 SARS-CoV- 2 和 SARS-CoV 的全人源单克隆抗体。研究人员称这种交叉中和抗体能够靶向这些病毒的共同
技术资料暂无技术资料 索取技术资料








![PKC theta (phospho Thr219) antibody [HL1157]](https://img1.dxycdn.com/2022/0329/795/2690812923898020453-14.jpg!wh200)


