相关产品推荐更多 >
万千商家帮你免费找货
0 人在求购买到急需产品
- 详细信息
- 文献和实验
- 技术资料
- 免疫原:
Recombinant Human Her2/Neu protein.
- 亚型:
IgG2a
- 形态:
Liquid
- 保存条件:
Store as concentrated solution. Centrifuge briefly prior to opening vial. Store at 4ºC. DO NOT FREEZE.
- 克隆性:
Monoclonal
- 标记物:
Unconjugated
- 适应物种:
Human
- 保质期:
12 months from the shipping date of the product.
- 抗原来源:
Human
- 目录编号:
GTX57184
- 级别:
Primary Antibodies
- 库存:
Available
- 供应商:
GeneTex
- 宿主:
Mouse
- 应用范围:
IHC-P
- 浓度:
Batch dependent (Please refer to the vial label for the specific concentration.)
- 靶点:
Her2 / ErbB2
- 抗体英文名:
Her2 / ErbB2 antibody [IHC002]
- 抗体名:
Her2 / ErbB2 抗体 [IHC002]
- 规格:
500 μl
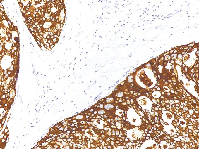
IHC-P analysis of human breast tissue using GTX57184 Her2 / ErbB2 antibody [IHC002]
风险提示:丁香通仅作为第三方平台,为商家信息发布提供平台空间。用户咨询产品时请注意保护个人信息及财产安全,合理判断,谨慎选购商品,商家和用户对交易行为负责。对于医疗器械类产品,请先查证核实企业经营资质和医疗器械产品注册证情况。
文献和实验and Glycosylation. Cold Spring Harbor Laboratory; Laurel Hollow, NY, USA: 2023.[10] Iqbal N., et al. Human Epidermal Growth Factor Receptor 2 (HER2) in Cancers: Overexpression and Therapeutic Implications. Mol. Biol. Int. 2014;2014:852748.[11] Cheng X
物-人表皮生长因子受体-2(HER2,也称 Neu 或 ERBB2)为例,临床上 Her2 的检测多采用免疫组织化学法检测其表达水平,也是决定要不要使用标靶治疗的依据之一。GTX100509 HER2/ERBB2 抗体使用 2 个不同来源的抗体进行比较(如下),确认有一致性的染色图谱,而 GTX100509 灵敏度甚至比其他厂家来的更高。3. 免疫捕获及质谱分析官兵抓强盗,敌友谁知道,预知此名号,捉拿验证号。将免疫捕获的目标蛋白进行质谱分析,可确认捕获的蛋白身份是否为目标蛋白,以此确认抗体是否辨识到对的蛋白
Immunohistochemistry (IHC) of Thymus Frozen Sections
a slide from PBS and wipe edges of each slide with KimWipe to create a static barrier. Add 175 µL of 1º antibody to each slide. Cover with a lid x1hr. Rinse by dipping in 2 staing jars containing PBS. Soak in a 3rd PBS jar x5 min. Add 175
技术资料暂无技术资料 索取技术资料





![TGF alpha antibody [TGFA/1119]](https://img1.dxycdn.com/2022/0328/080/7556009431511700453-14.jpg!wh200)

![RUNX1 antibody [5A1]](https://img1.dxycdn.com/2022/0328/704/8133292260192500453-14.jpg!wh200)
![CD200R antibody [OX-102] (Low endotoxin, azide free)](https://img1.dxycdn.com/2022/0328/970/1360791828914400453-14.jpg!wh200)
![Valyl tRNA synthetase antibody [N1N2], N-term](https://img1.dxycdn.com/2022/0328/415/8393341278080300453-14.jpg!wh200)

