万千商家帮你免费找货
0 人在求购买到急需产品
- 详细信息
- 技术资料
- 靶点:
HTR2B
- 克隆性:
多克隆
- 抗体英文名:
Anti-5-HTR2B/HTR2B
- 抗体名:
5-羟色胺受体2B抗体
- 免疫原:
KLH conjugated synthetic peptide derived from human 5-HTR2B C-terminus
- 亚型:
IgG
- 形态:
冻干或液体
- 应用范围:
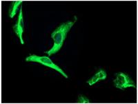
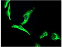
WB,ELISA,IP,ICC等
- 浓度:
1mg/1ml
- 保存条件:
-20 °C
- 规格:
0.1ml/100μg0.2ml/200μg
5-羟色胺受体2B抗体产品介绍:
英文名称 5-羟色胺受体2B抗体
中文名称 Anti-5-HTR2B/HTR2B
别 名 5-hydroxytryptamine/serotonin receptor 2B; 5-hydroxytryptamine (serotonin) receptor 2B; Htr2b; 5-HT2B; AJ012488; AV377389; 5HTR2B; 5-HT/serotonin R2B.
浓 度 1mg/1ml
规 格 0.1ml/100μg 0.2ml/200μg
抗体来源 Rabbit
克隆类型 polyclonal
交叉反应 Human, Mouse, Rat
产品类型 一抗
研究领域 细胞生物 神经生物学 细胞膜受体
蛋白分子量 predicted molecular weight:53kDa
性 状 Lyophilized or Liquid
免 疫 原 KLH conjugated synthetic peptide derived from human 5-HTR2B C-terminus
亚 型 IgG
纯化方法 affinity purified by Protein A
储 存 液 0.01M PBS, pH 7.4 with 10 mg/ml BSA and 0.1% Sodium azide
产品应用 WB=1:100-500 ELISA=1:500-1000 IP=1:20-100 IHC-P=1:100-500 IHC-F=1:100-500 IF=1:100-500
5-羟色胺受体2B抗体产品优势:
表面抗体阳性的基本概述:
乙肝表面抗体是人体的保护性的抗体,主要是乙肝病毒表面抗原刺激人体免疫系统而产生的抗体。它的出现,能中和掉人体内的乙肝病毒。具体保护人体的作用。其英文简写为HBsAb。
1、单项抗-HBs阳性
(1)接种乙肝疫苗成功的标志。
(2)抗-HBs阳性单价格低,有时为非特异性反应。
2、与抗-HBc、抗-HBe同时阳性
3、与HBsAg同时阳性
(1)感染了不同的乙肝病毒亚型。
(2)感染了S基因变异的乙肝病毒。
(3)免疫功能低下,抗-HBs不能清除HBsAg。
4、正处于抗原-抗体动态平衡阶段
4种IgG抗体亚型的区别:
如需订购5-羟色胺受体2B抗体,敬请咨询我们,其他相关产品:
3-磷酸甘油醛脱氢酶(兔来源免疫组化用抗体)
胃泌素/蛙皮素抗体
胶质细胞源性神经营养因子抗体
G蛋白偶联受体49抗体
G蛋白偶联受体γ4抗体
磷酸化G蛋白通路抑制蛋白1抗体
胰高血糖素样肽-2抗体
凝溶胶蛋白抗体
G蛋白偶联受体GPR114蛋白抗体
生长激素释放激素抗体
胶质纤维酸性蛋白抗体
绿色荧光蛋白(免疫组化用抗体)
5-羟色胺受体2B抗体Lane Marker Loading Buffer(5x)/蛋白示踪上样缓冲液(还原,5x)大鼠胃粘膜上皮细胞完全培养基
嗜热脂肪地芽孢杆菌 Geobacillus stearothermophilus酿酒酵母 Saccharomyces cerevisiae
光帽鳞伞 Pholiota nameko酿酒酵母 Saccharomyces cerevisiae
小鼠表皮黑色素细胞完全培养基豇豆慢生根瘤菌 Bradyrhizobium vigna
新生儿表皮角化细胞完全培养基EA.hy926(人脐静脉细胞融合细胞)
产朊假丝酵母 Candida utilis植物杆菌 Lactobacillus plantarum
产气肠杆菌 Enterobacter aerogenes根瘤菌 Rhizobium sp.
GH3(大鼠垂体瘤细胞)大鼠肺大动脉内皮细胞完全培养基
英文名称 5-羟色胺受体2B抗体
中文名称 Anti-5-HTR2B/HTR2B
别 名 5-hydroxytryptamine/serotonin receptor 2B; 5-hydroxytryptamine (serotonin) receptor 2B; Htr2b; 5-HT2B; AJ012488; AV377389; 5HTR2B; 5-HT/serotonin R2B.
浓 度 1mg/1ml
规 格 0.1ml/100μg 0.2ml/200μg
抗体来源 Rabbit
克隆类型 polyclonal
交叉反应 Human, Mouse, Rat
产品类型 一抗
研究领域 细胞生物 神经生物学 细胞膜受体
蛋白分子量 predicted molecular weight:53kDa
性 状 Lyophilized or Liquid
免 疫 原 KLH conjugated synthetic peptide derived from human 5-HTR2B C-terminus
亚 型 IgG
纯化方法 affinity purified by Protein A
储 存 液 0.01M PBS, pH 7.4 with 10 mg/ml BSA and 0.1% Sodium azide
产品应用 WB=1:100-500 ELISA=1:500-1000 IP=1:20-100 IHC-P=1:100-500 IHC-F=1:100-500 IF=1:100-500
5-羟色胺受体2B抗体产品优势:
表面抗体阳性的基本概述:
乙肝表面抗体是人体的保护性的抗体,主要是乙肝病毒表面抗原刺激人体免疫系统而产生的抗体。它的出现,能中和掉人体内的乙肝病毒。具体保护人体的作用。其英文简写为HBsAb。
1、单项抗-HBs阳性
(1)接种乙肝疫苗成功的标志。
(2)抗-HBs阳性单价格低,有时为非特异性反应。
2、与抗-HBc、抗-HBe同时阳性
3、与HBsAg同时阳性
(1)感染了不同的乙肝病毒亚型。
(2)感染了S基因变异的乙肝病毒。
(3)免疫功能低下,抗-HBs不能清除HBsAg。
4、正处于抗原-抗体动态平衡阶段
4种IgG抗体亚型的区别:
如需订购5-羟色胺受体2B抗体,敬请咨询我们,其他相关产品:
3-磷酸甘油醛脱氢酶(兔来源免疫组化用抗体)
胃泌素/蛙皮素抗体
胶质细胞源性神经营养因子抗体
G蛋白偶联受体49抗体
G蛋白偶联受体γ4抗体
磷酸化G蛋白通路抑制蛋白1抗体
胰高血糖素样肽-2抗体
凝溶胶蛋白抗体
G蛋白偶联受体GPR114蛋白抗体
生长激素释放激素抗体
胶质纤维酸性蛋白抗体
绿色荧光蛋白(免疫组化用抗体)
5-羟色胺受体2B抗体Lane Marker Loading Buffer(5x)/蛋白示踪上样缓冲液(还原,5x)大鼠胃粘膜上皮细胞完全培养基
嗜热脂肪地芽孢杆菌 Geobacillus stearothermophilus酿酒酵母 Saccharomyces cerevisiae
光帽鳞伞 Pholiota nameko酿酒酵母 Saccharomyces cerevisiae
小鼠表皮黑色素细胞完全培养基豇豆慢生根瘤菌 Bradyrhizobium vigna
新生儿表皮角化细胞完全培养基EA.hy926(人脐静脉细胞融合细胞)
产朊假丝酵母 Candida utilis植物杆菌 Lactobacillus plantarum
产气肠杆菌 Enterobacter aerogenes根瘤菌 Rhizobium sp.
GH3(大鼠垂体瘤细胞)大鼠肺大动脉内皮细胞完全培养基
风险提示:丁香通仅作为第三方平台,为商家信息发布提供平台空间。用户咨询产品时请注意保护个人信息及财产安全,合理判断,谨慎选购商品,商家和用户对交易行为负责。对于医疗器械类产品,请先查证核实企业经营资质和医疗器械产品注册证情况。
技术资料暂无技术资料 索取技术资料
5-羟色胺受体2B抗体
询价









