相关产品推荐更多 >
万千商家帮你免费找货
0 人在求购买到急需产品
- 详细信息
- 文献和实验
- 技术资料
- 靶点:
ZBED4
- 克隆性:
多克隆
- 抗体英文名:
Anti-ZBED4
- 抗体名:
锌指蛋白BED4抗体
- 免疫原:
KLH conjugated synthetic peptide derived from human ZBED4
- 亚型:
IgG
- 形态:
冻干或液体
- 应用范围:
WB,ELISA,IP,ICC等
- 浓度:
1mg/1ml
- 保存条件:
-20 °C
- 规格:
0.2ml/200μg
锌指蛋白BED4抗体产品资料:
英文名称 锌指蛋白BED4抗体
中文名称 Anti-ZBED4
别 名 Zinc finger BED domain containing 4; Zinc finger BED domain containing protein 4; Zinc finger BED type containing 4; ZBED4_HUMAN.
浓 度 1mg/1ml
规 格 0.2ml/200μg
抗体来源 Rabbit
克隆类型 polyclonal
交叉反应 Human, Mouse, Rat, Pig, Horse
产品类型 一抗
研究领域 细胞生物 信号转导 锌指蛋白
蛋白分子量 predicted molecular weight:130kDa
性 状 Lyophilized or Liquid
免 疫 原 KLH conjugated synthetic peptide derived from human ZBED4
亚 型 IgG
纯化方法 affinity purified by Protein A
储 存 液 Preservative: 15mM Sodium Azide, Constituents: 1% BSA, 0.01M PBS, pH 7.4
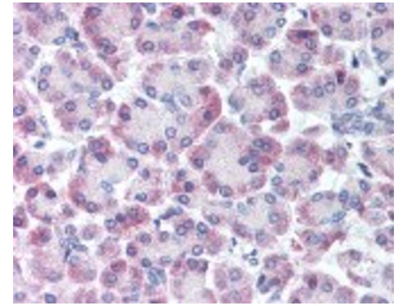
产品应用 WB=1:100-500 ELISA=1:500-1000 IP=1:20-100 IHC-P=1:100-500 IHC-F=1:100-500 ICC=1:100-500 IF=1:100-500
公司优势:
我司在生物科技领域已立足多年,虽然一路走来很艰难,但是也抗住了大风大浪,并且越来越壮大。专业实力方面,我们的科技人员是专业的,我们的营销人员是专业的,我们的服务是专业的,在实力方面,我们拥有一批爱好钻研的科技人才,攻坚克难就是我们的态度。
我司已经与多家单位建立了合作,包括高等院校、科研院所、医学院以及相关的企业等,合作伙伴多,客户的针对性强,主要服务于生命科学、医学等方面的科研人员以及研究员、学生等;
我司还与国际接轨,代理着许多知名进口品牌,以填补国内需求的空缺。
如需订购,敬请详询我们!
抗体、抗原之间的关系:
抗原是人体免疫系统中需要被清除的东西,诸如病毒、细菌、寄生虫、过敏原等等,而身体里的免疫细胞会主动产生一种专门与其“对抗”或者“结合”抗原的物质,这就是抗体。这种抗原-抗体反应是人体的一种保护机制,使人从疾病中恢复健康或不得病。
有时,抗原和抗体也会相结合,形成抗原-抗体免疫复合物,反而对人体不利,例如乙型溶血性链球菌感染所致的猩红热,在恢复期,由于链球菌与人的肾小球基底膜具有共同的抗原性,就会导致免疫系统产生抗肾小球基底膜抗体,并与肾细胞上的抗原发生结合,形成抗原-抗体免疫复合物,诱导免疫系统,激活补体,导致链球菌感染后的急性肾炎。
大多数情况下,抗原是外来的,抗体是机体免疫系统自产的。但有时,抗原抗体都是机体自产的。如自身免疫性疾病,免疫系统误把自身的细胞当成抗原产生抗体,用自产的抗体和自身的细胞打仗,导致人体的健康问题。有时,抗原是自产的,抗体却可以外来。例如肿瘤细胞就是自产的抗原,人类可以利用单克隆技术制成抗体用于肿瘤的治疗。
抗体和抗原之间的关系复杂,要探究这期间的奥秘,还有漫长的路要走。
与锌指蛋白BED4抗体相关的更多优势产品:
RING1 环指蛋白1抗体规格: 0.2ml
兔抗RPA2(Ab-21)多克隆抗体
英文名:Anti-RPA2(Ab-21)rabbitpolyclonalantiboy
冷冻(-20℃)避光
兔抗VPS41多克隆抗体
英文名:Anti-VPS41rabbitpolyclonalantiboy
冷冻(-20℃)避光
小鼠抗X39B单克隆抗体
英文名:Anti-X39Bmousemonoclonalantiboy
冷冻(-20℃)避光
兔抗GINS1多克隆抗体
英文名:Anti-GINS1rabbitpolyclonalantiboy
冷冻(-20℃)避光
Rabbit Anti-Monkey IgG/APC APC标记的兔抗猴IgG规格: 0.1mlMMP-2 基质金属蛋白酶-2抗体规格: 0.1ml
兔抗GNB1多克隆抗体
英文名:Anti-GNB1rabbitpolyclonalantiboy
冷冻(-20℃)避光
锌指蛋白BED4抗体小鼠肌酸激酶同工酶MB(CK-MB)ELISA试剂盒 英文名: CK-MB ELISA Kit
小鼠谷氨酸脱羧酶自身抗体IgM(GAD-Ab-IgM)ELISA试剂盒 英文名: GAD-Ab-IgM ELISA Kit
小鼠胆固醇(CH)ELISA试剂盒 英文名: CH ELISA Kit
小鼠白三烯E4(LTE4)ELISA试剂盒 英文名: LTE4 ELISA Kit
小鼠β葡糖苷酶(β-glucosidase)ELISA试剂盒 英文名: β-glucosidase ELISA Kit
小鼠Klotho(Klotho)ELISA试剂盒 英文名: Klotho ELISA Kit
小鼠3-α羟基类固醇脱氢酶(Akr1c9)ELISA试剂盒 英文名: Akr1c9 ELISA Kit
小鼠半乳凝素3(GAL3)ELISA试剂盒 英文名: GAL3 ELISA Kit
小鼠转化受体电位阳离子通道亚家族V成员2(TRPV2)ELISA试剂盒 英文名: TRPV2 ELISA Kit
风险提示:丁香通仅作为第三方平台,为商家信息发布提供平台空间。用户咨询产品时请注意保护个人信息及财产安全,合理判断,谨慎选购商品,商家和用户对交易行为负责。对于医疗器械类产品,请先查证核实企业经营资质和医疗器械产品注册证情况。
文献和实验Protein G Purification of Antibodies
. Centrifuge or filter the sample to remove any particulates. Adjust to pH 7.0. Wash the column with 5 bed volumes of 20 mM Sodium Phosphate Buffer, pH 7.0. Apply the sample
的Morrissey博士课题组和加拿大渥太华干细胞研究中心的Brand教授课题组合作在Cell Stem Cell发表了通过单细胞蛋白质组学的方法,测定造血干细胞转录因子共表达谱系的时间特异性变化,首次直接提供了造血干细胞命运决定的蛋白质表达数据。研究人员首先对多能干细胞(CD34+ HSPC)分化为红细胞的完整进程(共22天,包括各个进程的红细胞)定时取样(每隔两天), 在每个时间点对每个单细胞进行标记,通过27种抗体联合标记对应的蛋白质,再通过质谱流式细胞术(CyTOF)同时测定多种蛋白质的表达,这样科学
亲和层析(Affinity Chromatography,AC)是利用偶联亲和配基的亲和吸附介质为固定相亲和吸附目标产物,使目标产物得到分离纯化的液相层析法。亲和层析已经广泛应用于生物分子的分离和纯化,如结合蛋白、酶、抑制剂、抗原、抗体、激素、激素素受体、糖蛋白、核酸及多糖类等;也可以用于分离细胞、细胞器、病毒等。亲和层析技术的最大优点在于.利用它可以从粗提物中经过一些简单的处理便可得到所需的高纯度活性物质。利用亲和层析技术成功地分离了单克隆抗体、人生长因子、细胞分裂素、激素、血液
技术资料暂无技术资料 索取技术资料









