万千商家帮你免费找货
0 人在求购买到急需产品
- 详细信息
- 技术资料
- 靶点:
RAR alpha
- 克隆性:
多克隆
- 抗体英文名:
Anti-RAR alpha
- 抗体名:
维甲酸受体RARα/RARα抗体
- 免疫原:
KLH conjugated synthetic peptide derived from human Retinoic acid Receptor Alpha
- 亚型:
IgG
- 形态:
冻干或液体
- 应用范围:
WB,ELISA,IP,ICC等
- 浓度:
1mg/1ml
- 保存条件:
-20 °C
- 规格:
0.1ml/100μg0.2ml/200μg
维甲酸受体RARα/RARα抗体产品描述:
英文名称 维甲酸受体RARα/RARα抗体
中文名称 Anti-RAR alpha
别 名 Acute Promelocytic Leukemia Breakpoint Cluster Region; Acute Promelocytic Leukemia Breakpoint Cluster Region; NR1B1; Nuclear mitotic apparatus protein retinoic acid receptor alpha fusion protein; Nuclear receptor subfamily 1 group B member 1; Nucleophosmin retinoic acid receptor alpha fusion protein NPM RAR long form; RAR A; RAR alpha; RAR alpha; RAR alpha form; RAR alpha form; RAR; RAR-alpha; RARA; RARA; RARA protein; RARA/PML Fusion Gene; RARA/PML Fusion Gene; RARA_HUMAN; RARalpha; RARalpha1; Retinoic acid receptor alpha; Retinoic acid receptor alpha polypeptide
浓 度 1mg/1ml
规 格 0.1ml/100μg 0.2ml/200μg
抗体来源 Rabbit
克隆类型 polyclonal
交叉反应 Human, Mouse, Rat
产品类型 一抗
研究领域 肿瘤 细胞生物 免疫学 神经生物学 信号转导 细胞凋亡 激酶和磷酸酶
蛋白分子量 predicted molecular weight:48kDa
性 状 Lyophilized or Liquid
免 疫 原 KLH conjugated synthetic peptide derived from human Retinoic acid Receptor Alpha
亚 型 IgG
纯化方法 affinity purified by Protein A
储 存 液 0.01M PBS, pH 7.4 with 10 mg/ml BSA and 0.1% Sodium azide
产品应用 WB=1:100-500 ELISA=1:500-1000 IHC-P=1:100-500 IHC-F=1:100-500 IF=1:100-500
维甲酸受体RARα/RARα抗体订购说明:
几种抗体概述:
1.抗角蛋白抗体(AKA),又称为抗丝集蛋白抗体或抗角质层抗体。AKA是类风湿关节炎早期诊断和判断预后的指标之一,其对RA患者的诊断的特异性为94% ,而其敏感性为47% ,并是一种鉴别RA和与多发性关节炎相关的丙型肝炎患者的有效检验标记物。
2.抗核周因子( APF), 是定位于口腔黏附膜细胞胞质内的颗粒性蛋白复合物。可在RA患者的血清和关节液中测出,与性别、年龄无关。APF显示了较强的特异性(73%~99%)和敏感性。用间接免疫荧光法检测,方法精密度较差。
3.抗环瓜氨酸肽抗体(CCP),具有相对好的敏感度和特异性。其实,抗核周因子和抗角蛋白抗体,与CCP在化学结构上具有相关性,它们的表位都含有瓜氨酸,称为瓜氨酸相关自身免疫系统。
维甲酸受体RARα/RARα抗体实验流程:
公司还提供:
兔抗GPRC5C多克隆抗体
英文名:Anti-GPRC5Crabbitpolyclonalantiboy
冷冻(-20℃)避光
英文名:Anti-CR1Lrabbitpolyclonalantiboy
冷冻(-20℃)避光
SRXN1 硫氧还蛋白1抗体规格: 0.2ml
兔抗ACOT11多克隆抗体
英文名:Anti-ACOT11rabbitpolyclonalantiboy
冷冻(-20℃)避光
兔抗SLC12A5多克隆抗体
英文名:Anti-SLC12A5rabbitpolyclonalantiboy
冷冻(-20℃)避光
兔抗PTTG1多克隆抗体
英文名:Anti-PTTG1rabbitpolyclonalantiboy
冷冻(-20℃)避光
IGFBP3 胰岛素样生因子结合蛋白3抗体规格: 0.1ml
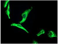
维甲酸受体RARα/RARα抗体PC-3M-2B4(人前列腺低转移细胞株)5×106cells/瓶×2
改良的Mc Bride琼脂MMA 规格: 250g 用途: 用于单核细胞增生李斯特氏菌的选择性分离培养(GB/T4789.30-2003,SN0184-93)。
叙利亚仓鼠肾细胞英文名称:BHK-21
CD24分子(CD24)重组蛋白英文名称:Recombinant Cluster Of Differentiation 24 (CD24)
胰酪胨大豆酵母浸膏肉汤/胰酶大豆酵母浸膏肉汤/LE肉汤/TSB-YE/TSYEB用于单核细胞和李斯特菌增菌培养250克国产/进口
高迁移率族蛋白1(HMG1)重组蛋白英文名称:Recombinant High Mobility Group Protein 1 (HMG1)
类杆菌-胆汁-七叶甙琼脂/BBE琼脂/BBE Agar脆弱拟杆菌群的分离培养250克国产/进口
生长激素(GH)重组蛋白英文名称:Recombinant Growth Hormone (GH)
英文名称 维甲酸受体RARα/RARα抗体
中文名称 Anti-RAR alpha
别 名 Acute Promelocytic Leukemia Breakpoint Cluster Region; Acute Promelocytic Leukemia Breakpoint Cluster Region; NR1B1; Nuclear mitotic apparatus protein retinoic acid receptor alpha fusion protein; Nuclear receptor subfamily 1 group B member 1; Nucleophosmin retinoic acid receptor alpha fusion protein NPM RAR long form; RAR A; RAR alpha; RAR alpha; RAR alpha form; RAR alpha form; RAR; RAR-alpha; RARA; RARA; RARA protein; RARA/PML Fusion Gene; RARA/PML Fusion Gene; RARA_HUMAN; RARalpha; RARalpha1; Retinoic acid receptor alpha; Retinoic acid receptor alpha polypeptide
浓 度 1mg/1ml
规 格 0.1ml/100μg 0.2ml/200μg
抗体来源 Rabbit
克隆类型 polyclonal
交叉反应 Human, Mouse, Rat
产品类型 一抗
研究领域 肿瘤 细胞生物 免疫学 神经生物学 信号转导 细胞凋亡 激酶和磷酸酶
蛋白分子量 predicted molecular weight:48kDa
性 状 Lyophilized or Liquid
免 疫 原 KLH conjugated synthetic peptide derived from human Retinoic acid Receptor Alpha
亚 型 IgG
纯化方法 affinity purified by Protein A
储 存 液 0.01M PBS, pH 7.4 with 10 mg/ml BSA and 0.1% Sodium azide
产品应用 WB=1:100-500 ELISA=1:500-1000 IHC-P=1:100-500 IHC-F=1:100-500 IF=1:100-500
维甲酸受体RARα/RARα抗体订购说明:
| 价格 | 价格以市场走向为准,准确的报价还请客户向我们咨询; |
| 供应 | 我司产品一般都是现货直销,但不排除供应紧张的情况,无论新老客户,提前订购,都能够百分百获得新出厂的批次; |
| 运输 | 支持快递包邮,当天下单即可当天发货; |
| 售后 | 我司提供周到的售后服务,支持退换货,后期如遇技术难题,还可获取我司的技术咨询和帮助。 |
几种抗体概述:
1.抗角蛋白抗体(AKA),又称为抗丝集蛋白抗体或抗角质层抗体。AKA是类风湿关节炎早期诊断和判断预后的指标之一,其对RA患者的诊断的特异性为94% ,而其敏感性为47% ,并是一种鉴别RA和与多发性关节炎相关的丙型肝炎患者的有效检验标记物。
2.抗核周因子( APF), 是定位于口腔黏附膜细胞胞质内的颗粒性蛋白复合物。可在RA患者的血清和关节液中测出,与性别、年龄无关。APF显示了较强的特异性(73%~99%)和敏感性。用间接免疫荧光法检测,方法精密度较差。
3.抗环瓜氨酸肽抗体(CCP),具有相对好的敏感度和特异性。其实,抗核周因子和抗角蛋白抗体,与CCP在化学结构上具有相关性,它们的表位都含有瓜氨酸,称为瓜氨酸相关自身免疫系统。
维甲酸受体RARα/RARα抗体实验流程:
公司还提供:
兔抗GPRC5C多克隆抗体
英文名:Anti-GPRC5Crabbitpolyclonalantiboy
冷冻(-20℃)避光
英文名:Anti-CR1Lrabbitpolyclonalantiboy
冷冻(-20℃)避光
SRXN1 硫氧还蛋白1抗体规格: 0.2ml
兔抗ACOT11多克隆抗体
英文名:Anti-ACOT11rabbitpolyclonalantiboy
冷冻(-20℃)避光
兔抗SLC12A5多克隆抗体
英文名:Anti-SLC12A5rabbitpolyclonalantiboy
冷冻(-20℃)避光
兔抗PTTG1多克隆抗体
英文名:Anti-PTTG1rabbitpolyclonalantiboy
冷冻(-20℃)避光
IGFBP3 胰岛素样生因子结合蛋白3抗体规格: 0.1ml
维甲酸受体RARα/RARα抗体PC-3M-2B4(人前列腺低转移细胞株)5×106cells/瓶×2
改良的Mc Bride琼脂MMA 规格: 250g 用途: 用于单核细胞增生李斯特氏菌的选择性分离培养(GB/T4789.30-2003,SN0184-93)。
叙利亚仓鼠肾细胞英文名称:BHK-21
CD24分子(CD24)重组蛋白英文名称:Recombinant Cluster Of Differentiation 24 (CD24)
胰酪胨大豆酵母浸膏肉汤/胰酶大豆酵母浸膏肉汤/LE肉汤/TSB-YE/TSYEB用于单核细胞和李斯特菌增菌培养250克国产/进口
高迁移率族蛋白1(HMG1)重组蛋白英文名称:Recombinant High Mobility Group Protein 1 (HMG1)
类杆菌-胆汁-七叶甙琼脂/BBE琼脂/BBE Agar脆弱拟杆菌群的分离培养250克国产/进口
生长激素(GH)重组蛋白英文名称:Recombinant Growth Hormone (GH)
风险提示:丁香通仅作为第三方平台,为商家信息发布提供平台空间。用户咨询产品时请注意保护个人信息及财产安全,合理判断,谨慎选购商品,商家和用户对交易行为负责。对于医疗器械类产品,请先查证核实企业经营资质和医疗器械产品注册证情况。
技术资料暂无技术资料 索取技术资料
维甲酸受体RARα/RARα抗体
询价









