万千商家帮你免费找货
0 人在求购买到急需产品
- 详细信息
- 文献和实验
- 技术资料
- 供应商:
上海莼试
- 库存:
大量
- 靶点:
ERC2
- 克隆性:
多克隆
- 抗体英文名:
Anti-ERC2
- 抗体名:
CAST1蛋白抗体
- 标记物:
HRP等
- 宿主:
鼠,牛,马,兔,羊等
- 适应物种:
Human, Mouse, Rat等
- 亚型:
IgG
- 形态:
液体或固体
- 应用范围:
WB IHC-P IHC-F IF
- 浓度:
10mg/ml
- 保存条件:
密封保存
- 规格:
100ul
英文名称:Anti-ERC2
库存地:上海库
货期:现货
价格:以咨询为准!
用途:仅供高校实验室以及科研单位使用
公司优势:
1.拥有一批专业高效的团队,专门解决客户在实验过程中遇到的各种难题;
2.多年的应用经验积累;
3. CAST1蛋白抗体规格牌号齐全,满足不同客户的使用需求;
4.库存充足,供货周期短,能解决客户的急需问题;
5.我们秉承诚信至上、务实做事的信条,是客户值得信赖的合作伙伴。
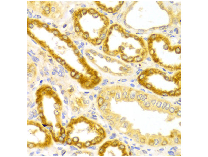
免疫组化结果分析:
1、首先要确定免疫组化技术是否合格,合格的染色结果应该是背景颜色浅淡或无着色,而阳性标志物清晰和定位明确。
切片中的正常组织可以作为最简便的对照来判断染色结果的可靠与否,例如用Vimentin抗体,间质成纤维细胞利血管壁平滑肌细胞胞浆应呈阳性。肯定为阳性的对照组织却呈阴性,待测组织的染色结果也就不可靠;这现象常是由于抗体失效或过度稀释、组织中抗原严重丢失等。
2、不仅要判断所检组织中有或无阳性标记物,还要注意阳性信号的分布部位和形态特征。
一般说来,阳性信号应与被测抗原所在的部位一致,大部分细胞抗原位于胞质内,其中亦有区别,有的阳性颗粒弥散于整个细胞的胞质,有的则呈斑块状局限于胞浆某处。还有些抗原同时分布于胞质和胞膜(如胃肠腺癌细胞的EMA),或核与胞质(如S-100、HMB-45)。同一种抗原在不同类型的细胞可定位不同,因而分布的特点也有一定的鉴别意义。
CAST1蛋白抗体相关的其他优势产品:
生精细胞凋亡相关基因6抗体 Anti-TSARG6 WB IHC-P IHC-F IF 100ul
酪氨酸激酶C抗体 Anti-Trk C WB IHC-P IHC-F IF 100ul
原肌球蛋白抗体 Anti-Trop-2 WB IHC-P IHC-F IF 100ul
磷酸化NF-κB活化激酶抗体 Anti-Phospho-TBK1 WB IHC-P IHC-F IF 100ul
马铃薯球蛋白抗体 Anti-Tuberin WB IHC-P IHC-F IF 100u
卷曲螺旋结构域蛋白6抗体(乳头状甲状腺癌编码蛋白)
细胞周期素依赖激酶2相关蛋白2抗体
1号染色体开放阅读框201抗体
卷曲螺旋结构域蛋白7抗体
卷曲螺旋结构域蛋白80抗体
磷酸化钙调磷酸酶B亚基B1抗体 Anti-Phospho-Calcineurin B 100ul
羊毛甾醇14α-去甲基化酶蛋白抗体 Anti-CYP51A1 100ul
补体C5抗体 Anti-C5 100ul
5号染色体开放阅读框24抗体 Anti-C5orf24 100ul
5号染色体开放阅读框42抗体 Anti-C5ORF42 100ul
FluidTetrathionateMedium
金黄色葡萄球菌显色培养基 500 mL/瓶 incubation media 金黄色葡萄球菌显色培养基 500 mL/瓶
Fraser肉汤增菌液FB1配套试剂 2x5支 试剂A和试剂B各一支添加于225ml(026080)中配成FB1增菌液。
琼脂培养基MAgarmediumM(Triplesugar,ironagar)用于肠杆菌科细菌的生化反应筛选。
乳酸杆菌选择性琼脂 250g 用于乳酸杆菌检测和分离培养
CAST1蛋白抗体煌绿乳糖胆盐肉汤(BGLB) 250(g) incubation media 煌绿乳糖胆盐肉汤(BGLB) 250(g)
煌绿乳糖胆盐肉汤(BGLB) 1000(g) incubation media 煌绿乳糖胆盐肉汤(BGLB) 1000(g)
EC肉汤 250(g) incubation media EC肉汤 250(g)
EC肉汤 1000(g) incubation media EC肉汤 1000(g)
风险提示:丁香通仅作为第三方平台,为商家信息发布提供平台空间。用户咨询产品时请注意保护个人信息及财产安全,合理判断,谨慎选购商品,商家和用户对交易行为负责。对于医疗器械类产品,请先查证核实企业经营资质和医疗器械产品注册证情况。
文献和实验蜜蜂和白蚁等社会性昆虫中,进行母蜂(母蚁)、雄蜂(雄蚁)、工蜂(职蚁)等等级分化,各依等级而有不同的职守。与这些等级的分化及维持有关的外激素称为等级信息素,例如蜜蜂的母蜂物质、白蚁的母蚁分化抑制物质( queen inhibitory substance)和刺激分化物质( stimulating substance)等,这些外激素都是初级外激素( primer pheromone)。
人 抗麦胶蛋白抗体 ( AGA) 酶联免疫分析 试剂盒使用说明书 本试剂仅供研究使用 目的:本试剂盒用于测定人血清,血浆及相关液体样本中 抗麦胶蛋白抗体( AGA) 的 含量。 实验原理: 本试剂盒应用双抗原夹心法测定标本中人 抗麦胶蛋白抗体( AGA) 的 水平。用纯化的 抗原 包被微孔板,制成固相抗原,往包被抗原的微孔中依次加入 抗麦胶蛋白抗体( AGA) ,再与 HRP 标记的 抗原 结合
Pre-Cast Gels for Safe Nucleic Acid Analysis
实验步骤 1. Loading E-Gel® with SYBR Safe™ Gels 1) Pre-running E-Gel® with SYBR Safe™ i. Plug the E-Gel® PowerBase™ v.4 into an electrical outlet using the adaptor
技术资料暂无技术资料 索取技术资料










