万千商家帮你免费找货
0 人在求购买到急需产品
- 详细信息
- 技术资料
- 靶点:
TRIB2
- 克隆性:
多克隆
- 抗体英文名:
Anti-TRIB2
- 抗体名:
MAPK调控蛋白TRB2抗体
- 免疫原:
KLH conjugated synthetic peptide derived from human TRIB2
- 亚型:
IgG
- 形态:
冻干或液体
- 应用范围:
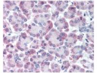
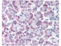
WB,ELISA,IP,ICC等
- 浓度:
1mg/1ml
- 保存条件:
-20 °C
- 规格:
0.2ml/200μg
MAPK调控蛋白TRB2抗体产品介绍:
英文名称 MAPK调控蛋白TRB2抗体
中文名称 Anti-TRIB2
别 名 C5FW; Hypothetical protein TRB2; TRB-2; TRB2; TRIB 2; TRIB2; TRIB2_HUMAN; Tribbles homolog 2.
浓 度 1mg/1ml
规 格 0.2ml/200μg
抗体来源 Rabbit
克隆类型 polyclonal
交叉反应 Human, Mouse, Rat, Chicken, Dog, Pig, Cow, Horse, Rabbit
产品类型 一抗
研究领域 肿瘤 信号转导 干细胞 转录调节因子 激酶和磷酸酶
蛋白分子量 predicted molecular weight:39kDa
性 状 Lyophilized or Liquid
免 疫 原 KLH conjugated synthetic peptide derived from human TRIB2
亚 型 IgG
纯化方法 affinity purified by Protein A
储 存 液 Preservative: 15mM Sodium Azide, Constituents: 1% BSA, 0.01M PBS, pH 7.4
产品应用 WB=1:100-500 ELISA=1:500-1000 IP=1:20-100 IHC-P=1:100-500 IHC-F=1:100-500 IF=1:100-500
MAPK调控蛋白TRB2抗体产品优势:
表面抗体阳性的基本概述:
乙肝表面抗体是人体的保护性的抗体,主要是乙肝病毒表面抗原刺激人体免疫系统而产生的抗体。它的出现,能中和掉人体内的乙肝病毒。具体保护人体的作用。其英文简写为HBsAb。
1、单项抗-HBs阳性
(1)接种乙肝疫苗成功的标志。
(2)抗-HBs阳性单价格低,有时为非特异性反应。
2、与抗-HBc、抗-HBe同时阳性
3、与HBsAg同时阳性
(1)感染了不同的乙肝病毒亚型。
(2)感染了S基因变异的乙肝病毒。
(3)免疫功能低下,抗-HBs不能清除HBsAg。
4、正处于抗原-抗体动态平衡阶段
4种IgG抗体亚型的区别:
如需订购MAPK调控蛋白TRB2抗体,敬请咨询我们,其他相关产品:
英文名:Anti-CAPZA1mousemonoclonalantiboy
冷冻(-20℃)避光
兔抗ANKZF1多克隆抗体
英文名:Anti-ANKZF1rabbitpolyclonalantiboy
冷冻(-20℃)避光
envelope glycoprotein (Yellow fever virus) 黄热病毒包膜糖蛋白抗体规格: 0.2mlphospho-PI3K/PIK3CD(Tyr524) 磷酸化磷脂酰肌醇激酶催化亚单位D抗体规格: 0.1ml
BTRC2/beta TRCP2 BTRC2蛋白抗体规格: 0.2ml
兔抗MYL1多克隆抗体
英文名:Anti-MYL1rabbitpolyclonalantiboy
冷冻(-20℃)避光
兔抗CAF13多克隆抗体
英文名:Anti-CAF13rabbitpolyclonalantiboy
冷冻(-20℃)避光
ARL8B ADP核糖基化样因子8B抗体规格: 0.2ml
MAPK调控蛋白TRB2抗体稻梨孢 Pyricularia oryzae扣囊复膜孢酵母 Saccharomycopsis fibuligera
粉拟青霉 Paecilomyces farinosus酿酒酵母 Saccharomyces cerevisiae
SW 1990 [SW-1990, SW1990] , 人胰腺细胞地衣芽孢杆菌 Bacillus licheniformis
苏云金芽孢杆菌 Bacillus thuringiensis藤黄微球菌 Micrococcus luteus
异常汉逊酵母 Hansenula anomalaSKOV3/Taxol-25, 人卵巢紫杉醇耐药细胞株
CTLL-2(小鼠T细胞)根土壤杆菌 Agrobacterium tumefaciens
苏云金芽胞杆菌蜡螟亚种 Bacillus thuringiensis subsp. galleriae百脉根根瘤菌 Rhizobium loti
褐球固氮菌 Azotobacter chrooccum烟色链霉菌 Streptomyces fumosus
英文名称 MAPK调控蛋白TRB2抗体
中文名称 Anti-TRIB2
别 名 C5FW; Hypothetical protein TRB2; TRB-2; TRB2; TRIB 2; TRIB2; TRIB2_HUMAN; Tribbles homolog 2.
浓 度 1mg/1ml
规 格 0.2ml/200μg
抗体来源 Rabbit
克隆类型 polyclonal
交叉反应 Human, Mouse, Rat, Chicken, Dog, Pig, Cow, Horse, Rabbit
产品类型 一抗
研究领域 肿瘤 信号转导 干细胞 转录调节因子 激酶和磷酸酶
蛋白分子量 predicted molecular weight:39kDa
性 状 Lyophilized or Liquid
免 疫 原 KLH conjugated synthetic peptide derived from human TRIB2
亚 型 IgG
纯化方法 affinity purified by Protein A
储 存 液 Preservative: 15mM Sodium Azide, Constituents: 1% BSA, 0.01M PBS, pH 7.4
产品应用 WB=1:100-500 ELISA=1:500-1000 IP=1:20-100 IHC-P=1:100-500 IHC-F=1:100-500 IF=1:100-500
MAPK调控蛋白TRB2抗体产品优势:
表面抗体阳性的基本概述:
乙肝表面抗体是人体的保护性的抗体,主要是乙肝病毒表面抗原刺激人体免疫系统而产生的抗体。它的出现,能中和掉人体内的乙肝病毒。具体保护人体的作用。其英文简写为HBsAb。
1、单项抗-HBs阳性
(1)接种乙肝疫苗成功的标志。
(2)抗-HBs阳性单价格低,有时为非特异性反应。
2、与抗-HBc、抗-HBe同时阳性
3、与HBsAg同时阳性
(1)感染了不同的乙肝病毒亚型。
(2)感染了S基因变异的乙肝病毒。
(3)免疫功能低下,抗-HBs不能清除HBsAg。
4、正处于抗原-抗体动态平衡阶段
4种IgG抗体亚型的区别:
如需订购MAPK调控蛋白TRB2抗体,敬请咨询我们,其他相关产品:
英文名:Anti-CAPZA1mousemonoclonalantiboy
冷冻(-20℃)避光
兔抗ANKZF1多克隆抗体
英文名:Anti-ANKZF1rabbitpolyclonalantiboy
冷冻(-20℃)避光
envelope glycoprotein (Yellow fever virus) 黄热病毒包膜糖蛋白抗体规格: 0.2mlphospho-PI3K/PIK3CD(Tyr524) 磷酸化磷脂酰肌醇激酶催化亚单位D抗体规格: 0.1ml
BTRC2/beta TRCP2 BTRC2蛋白抗体规格: 0.2ml
兔抗MYL1多克隆抗体
英文名:Anti-MYL1rabbitpolyclonalantiboy
冷冻(-20℃)避光
兔抗CAF13多克隆抗体
英文名:Anti-CAF13rabbitpolyclonalantiboy
冷冻(-20℃)避光
ARL8B ADP核糖基化样因子8B抗体规格: 0.2ml
MAPK调控蛋白TRB2抗体稻梨孢 Pyricularia oryzae扣囊复膜孢酵母 Saccharomycopsis fibuligera
粉拟青霉 Paecilomyces farinosus酿酒酵母 Saccharomyces cerevisiae
SW 1990 [SW-1990, SW1990] , 人胰腺细胞地衣芽孢杆菌 Bacillus licheniformis
苏云金芽孢杆菌 Bacillus thuringiensis藤黄微球菌 Micrococcus luteus
异常汉逊酵母 Hansenula anomalaSKOV3/Taxol-25, 人卵巢紫杉醇耐药细胞株
CTLL-2(小鼠T细胞)根土壤杆菌 Agrobacterium tumefaciens
苏云金芽胞杆菌蜡螟亚种 Bacillus thuringiensis subsp. galleriae百脉根根瘤菌 Rhizobium loti
褐球固氮菌 Azotobacter chrooccum烟色链霉菌 Streptomyces fumosus
风险提示:丁香通仅作为第三方平台,为商家信息发布提供平台空间。用户咨询产品时请注意保护个人信息及财产安全,合理判断,谨慎选购商品,商家和用户对交易行为负责。对于医疗器械类产品,请先查证核实企业经营资质和医疗器械产品注册证情况。
技术资料暂无技术资料 索取技术资料
MAPK调控蛋白TRB2抗体
询价









