万千商家帮你免费找货
0 人在求购买到急需产品
- 详细信息
- 技术资料
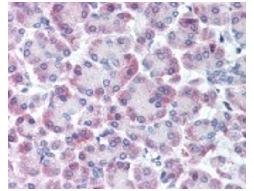
- 靶点:
ODF3
- 克隆性:
多克隆
- 抗体英文名:
Anti-ODF3/CT135
- 抗体名:
肿瘤/睾丸抗原135抗体
- 免疫原:
KLH conjugated synthetic peptide derived from human ODF3/CT135
- 亚型:
IgG
- 形态:
冻干或液体
- 应用范围:
WB,ELISA,IP,ICC等
- 浓度:
1mg/1ml
- 保存条件:
-20 °C
- 规格:
0.2ml/200μg
肿瘤/睾丸抗原135抗体产品介绍:
英文名称 肿瘤/睾丸抗原135抗体
中文名称 Anti-ODF3/CT135
别 名 Cancer/testis antigen 135; CT135; hSHIPPO; odf3; ODF3A_HUMAN; Outer dense fiber of sperm tails 3; Outer dense fiber of sperm tails protein 3; Outer dense fiber protein 3; SHIPPO1; Sperm tail protein SHIPPO 1; Sperm tail protein SHIPPO1; TISP50; Transcript induced in spermiogenesis protein 50.
浓 度 1mg/1ml
规 格 0.2ml/200μg
抗体来源 Rabbit
克隆类型 polyclonal
交叉反应 Human, Mouse, Rat, Dog, Cow, Horse, Rabbit, Sheep
产品类型 一抗
研究领域 肿瘤 细胞生物 发育生物学 细胞周期蛋白 细胞分化
蛋白分子量 predicted molecular weight:28kDa
性 状 Lyophilized or Liquid
免 疫 原 KLH conjugated synthetic peptide derived from human ODF3/CT135
亚 型 IgG
纯化方法 affinity purified by Protein A
储 存 液 Preservative: 15mM Sodium Azide, Constituents: 1% BSA, 0.01M PBS, pH 7.4
产品应用 WB=1:100-500 ELISA=1:500-1000 IHC-P=1:100-500 IHC-F=1:100-500 IF=1:50-200
肿瘤/睾丸抗原135抗体产品优势:
表面抗体阳性的基本概述:
乙肝表面抗体是人体的保护性的抗体,主要是乙肝病毒表面抗原刺激人体免疫系统而产生的抗体。它的出现,能中和掉人体内的乙肝病毒。具体保护人体的作用。其英文简写为HBsAb。
1、单项抗-HBs阳性
(1)接种乙肝疫苗成功的标志。
(2)抗-HBs阳性单价格低,有时为非特异性反应。
2、与抗-HBc、抗-HBe同时阳性
3、与HBsAg同时阳性
(1)感染了不同的乙肝病毒亚型。
(2)感染了S基因变异的乙肝病毒。
(3)免疫功能低下,抗-HBs不能清除HBsAg。
4、正处于抗原-抗体动态平衡阶段
4种IgG抗体亚型的区别:
如需订购肿瘤/睾丸抗原135抗体,敬请咨询我们,其他相关产品:
兔抗AORA2A多克隆抗体
英文名:Anti-AORA2Arabbitpolyclonalantiboy
冷冻(-20℃)避光
兔抗LGALS1多克隆抗体
英文名:Anti-LGALS1rabbitpolyclonalantiboy
冷冻(-20℃)避光
钙/钙调蛋白依赖蛋白激酶IG抗体 规格:0.1mlAnti-Camk1g
Phospho-Insulin Receptor Beta(Tyr1361) 磷酸化胰岛素受体β抗体规格: 0.1ml
小鼠抗CASP4单克隆抗体
英文名:Anti-CASP4mousemonoclonalantiboy
冷冻(-20℃)避光
兔抗ARL4多克隆抗体
英文名:Anti-ARL4rabbitpolyclonalantiboy
冷冻(-20℃)避光
GLUT1 葡萄糖转运蛋白1抗体规格: 0.1ml
肿瘤/睾丸抗原135抗体伤寒杆菌(ST)核酸检测试剂盒(PCR-荧光探针法) 48T
小鼠组织因子途径抑制物(TFPI)ELISA试剂盒 英文名: TFPI ELISA Kit
小鼠游离睾酮(F-TESTO)ELISA试剂盒 英文名: F-TESTO ELISA Kit
小鼠血清淀粉样蛋白A(SAA)ELISA试剂盒 英文名: SAA ELISA Kit
小鼠维生素B6(VB6)ELISA试剂盒 英文名: VB6 ELISA Kit
小鼠生长激素(GH)ELISA试剂盒 英文名: GH ELISA Kit
小鼠膀胱肿瘤抗原(BTA)ELISA试剂盒 英文名: BTA ELISA Kit
小鼠磷酸化氨基末端蛋白激酶(P-JNK)ELISA试剂盒 英文名: P-JNK ELISA Kit
英文名称 肿瘤/睾丸抗原135抗体
中文名称 Anti-ODF3/CT135
别 名 Cancer/testis antigen 135; CT135; hSHIPPO; odf3; ODF3A_HUMAN; Outer dense fiber of sperm tails 3; Outer dense fiber of sperm tails protein 3; Outer dense fiber protein 3; SHIPPO1; Sperm tail protein SHIPPO 1; Sperm tail protein SHIPPO1; TISP50; Transcript induced in spermiogenesis protein 50.
浓 度 1mg/1ml
规 格 0.2ml/200μg
抗体来源 Rabbit
克隆类型 polyclonal
交叉反应 Human, Mouse, Rat, Dog, Cow, Horse, Rabbit, Sheep
产品类型 一抗
研究领域 肿瘤 细胞生物 发育生物学 细胞周期蛋白 细胞分化
蛋白分子量 predicted molecular weight:28kDa
性 状 Lyophilized or Liquid
免 疫 原 KLH conjugated synthetic peptide derived from human ODF3/CT135
亚 型 IgG
纯化方法 affinity purified by Protein A
储 存 液 Preservative: 15mM Sodium Azide, Constituents: 1% BSA, 0.01M PBS, pH 7.4
产品应用 WB=1:100-500 ELISA=1:500-1000 IHC-P=1:100-500 IHC-F=1:100-500 IF=1:50-200
肿瘤/睾丸抗原135抗体产品优势:
表面抗体阳性的基本概述:
乙肝表面抗体是人体的保护性的抗体,主要是乙肝病毒表面抗原刺激人体免疫系统而产生的抗体。它的出现,能中和掉人体内的乙肝病毒。具体保护人体的作用。其英文简写为HBsAb。
1、单项抗-HBs阳性
(1)接种乙肝疫苗成功的标志。
(2)抗-HBs阳性单价格低,有时为非特异性反应。
2、与抗-HBc、抗-HBe同时阳性
3、与HBsAg同时阳性
(1)感染了不同的乙肝病毒亚型。
(2)感染了S基因变异的乙肝病毒。
(3)免疫功能低下,抗-HBs不能清除HBsAg。
4、正处于抗原-抗体动态平衡阶段
4种IgG抗体亚型的区别:
如需订购肿瘤/睾丸抗原135抗体,敬请咨询我们,其他相关产品:
兔抗AORA2A多克隆抗体
英文名:Anti-AORA2Arabbitpolyclonalantiboy
冷冻(-20℃)避光
兔抗LGALS1多克隆抗体
英文名:Anti-LGALS1rabbitpolyclonalantiboy
冷冻(-20℃)避光
钙/钙调蛋白依赖蛋白激酶IG抗体 规格:0.1mlAnti-Camk1g
Phospho-Insulin Receptor Beta(Tyr1361) 磷酸化胰岛素受体β抗体规格: 0.1ml
小鼠抗CASP4单克隆抗体
英文名:Anti-CASP4mousemonoclonalantiboy
冷冻(-20℃)避光
兔抗ARL4多克隆抗体
英文名:Anti-ARL4rabbitpolyclonalantiboy
冷冻(-20℃)避光
GLUT1 葡萄糖转运蛋白1抗体规格: 0.1ml
肿瘤/睾丸抗原135抗体伤寒杆菌(ST)核酸检测试剂盒(PCR-荧光探针法) 48T
小鼠组织因子途径抑制物(TFPI)ELISA试剂盒 英文名: TFPI ELISA Kit
小鼠游离睾酮(F-TESTO)ELISA试剂盒 英文名: F-TESTO ELISA Kit
小鼠血清淀粉样蛋白A(SAA)ELISA试剂盒 英文名: SAA ELISA Kit
小鼠维生素B6(VB6)ELISA试剂盒 英文名: VB6 ELISA Kit
小鼠生长激素(GH)ELISA试剂盒 英文名: GH ELISA Kit
小鼠膀胱肿瘤抗原(BTA)ELISA试剂盒 英文名: BTA ELISA Kit
小鼠磷酸化氨基末端蛋白激酶(P-JNK)ELISA试剂盒 英文名: P-JNK ELISA Kit
风险提示:丁香通仅作为第三方平台,为商家信息发布提供平台空间。用户咨询产品时请注意保护个人信息及财产安全,合理判断,谨慎选购商品,商家和用户对交易行为负责。对于医疗器械类产品,请先查证核实企业经营资质和医疗器械产品注册证情况。
技术资料暂无技术资料 索取技术资料
肿瘤/睾丸抗原135抗体
询价









