万千商家帮你免费找货
0 人在求购买到急需产品
- 详细信息
- 技术资料
- 库存:
大量
- 靶点:
Ser338
- 克隆性:
多克隆
- 抗原来源:
Rabbit
- 抗体英文名:
Anti-phospho-c-Raf(Ser338)
- 抗体名:
磷酸化原癌基因c-Raf抗体
- 标记物:
HRP,AKP
- 宿主:
人,兔,羊,牛,狗等
- 适应物种:
Human, Mouse, Rat, Chicken, Dog, Pig, Cow, Horse, Rabbit, Sheep
- 免疫原:
KLH conjugated synthesised phosphopeptide derived from human c-Raf around the phosphorylation site of Ser338
- 亚型:
IgG
- 形态:
冻干或液体
- 应用范围:
WB,ELISA,IP,ICC等
- 浓度:
1mg/1ml
- 保存条件:
-20 °C
- 规格:
0.1ml/100μg
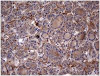
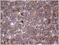
磷酸化原癌基因c-Raf抗体产品信息:
英文名称 Anti-phospho-c-Raf(Ser338)
中文名称 磷酸化原癌基因c-Raf抗体
别 名 RAF1(phospho S338); Raf1(Phospho-Ser338); RAF1; murine leukemia viral (v-raf-1) oncogene homolog 1 (3611-MSV); v-raf-1 murine leukemia viral oncogene homolog 1; cRaf; C-RAF; proto-oncogene c-RAF; 6430402F14Rik; AA990557; BB129353; c-Raf; Craf1; D830050J10Rik; MGC102375; Raf-1; Raf 1; v-Raf; c Raf; Craf 1 transforming gene; Craf1 transforming gene; EC 2.7.11.1; Murine sarcoma 3611 oncogene 1; RAF; Raf proto oncogene serine/threonine protein kinase; vraf1 murine leukemia viral oncogene homolog 1; c-Raf.
浓 度 1mg/1ml
规 格 0.1ml/100μg
抗体来源 Rabbit
克隆类型 polyclonal
交叉反应 Human, Mouse, Rat, Chicken, Dog, Pig, Cow, Horse, Rabbit, Sheep
产品类型 一抗 磷酸化抗体
研究领域 肿瘤 免疫学 信号转导 细胞凋亡 转录调节因子 激酶和磷酸酶
蛋白分子量 predicted molecular weight:73kDa
性 状 Lyophilized or Liquid
免 疫 原 KLH conjugated synthesised phosphopeptide derived from human c-Raf around the phosphorylation site of Ser338
亚 型 IgG
纯化方法 affinity purified by Protein A
储 存 液 0.01M PBS, pH 7.4 with 10 mg/ml BSA and 0.1% Sodium azide
产品应用 WB=1:100-500 ELISA=1:500-1000 IP=1:20-100 IHC-P=1:100-500 IHC-F=1:100-500 IF=1:100-500
磷酸化原癌基因c-Raf抗体订购说明:
※关于产品的详细说明书、价格信息,请来电获取;
※关于运输,我司支持各种快递,具体采用什么快递,我们会满足客户的要求,此外,我们还会根据产品的性状采取特殊的保护方式,以减少运输途中的损坏情况;
※关于产品包装,我司支持进口原装,也能按照客户的要求进行分装;
※关于售后,客户在收到货后,先检查产品包装情况,有无破损情况,然后可以按照严格的操作流程,在无菌环境下检测产品质量本身,如有上述疑似情况,请及时联系我司销售部;
※关于技术服务,我司可为您提供抗体标记服务,以及其他检测服务,此外,如遇技术问题,我司还能为您提供答疑解惑的咨询服务。
抗体的生物素化标记:
1.将待生物素化的蛋白质用0.1mol/L碳酸氢钠缓冲液(pH8.0)或0.5mol/L硼酸缓冲液(pH8.6)稀释到1mg般实验室应用的生物素化体积为1-2.5ml;
2.交互用0.1mo1/L碳酸氢钠缓冲液(pH8.0)或0.5mol/L硼酸缓冲液(pH8.6),对蛋白质充分透析;
3.用 1m1 DMS0溶解 NHSB Img;
4.向1m1蛋白质溶液(即含蛋白质1mg)加入120u1NHSB溶液(即含NHSB120g);
5.在室温下持续搅拌,保温2-4小时;
6.加入9.6μL1mol/LNH41(每25μ g NHSB加1u1),在室温下搅拌10分钟;
7.在4℃,对PBS充分透析,以除去游离的生物素;
8.将样品上1ml的分子筛柱,以PBS缓慢洗脱,收集1ml/管,蛋白质在1-3m1之间洗下;
9.最后,样品加入叠氮钠(终浓度0.5g/L)及1.0g/LBSA。将结合产物置4℃,避光保存,亦可加入50%重蒸甘油,置一20℃保存。
磷酸化原癌基因c-Raf抗体相关的其他产品:
Tubb3/Tubulin beta 3 微管蛋白β3抗体规格: 0.1ml
C2orf43 2号染色体开放阅读框43抗体规格: 0.2ml
LRRTM1 富含亮氨酸重复跨膜神经元蛋白1抗体规格: 0.2ml
CLN6 神经细胞蜡样质脂褐质沉积病蛋白CLN6抗体规格: 0.2ml
CYP7A1 细胞色素P450 7A1抗体/胆固醇7a羟化酶规格: 0.2ml
HE4/Epididymal secretory protein E4 附睾分泌蛋白4抗体 0.2ml
Mouse Anti-human IgM/PE PE标记的小鼠抗人IgM规格: 0.1ml
Phospho-Rb (Thr821) 磷酸化视网膜母细胞瘤相关蛋白1抗体规格: 0.1ml
HRASLS2 HRAS样抑制因子2抗体规格: 0.2ml
CROT/COT 过氧化物酶体肉碱酰基转移酶抗体规格: 0.2ml
磷酸化原癌基因c-Raf抗体1,3-双(4-氟甲酰)分子式:322.3英文名称:Double 1,3- (4- - benzoyl) benzeneCAS号:108464-88-6分子量: C20H12F2O2
HPD400大孔吸附树脂 500g 瓶
肌英文名称:Creatine分子式:131.134分子量: C4H9N3O2CAS号:57-00-1
SOD 超氧化物岐化酶(来源牛红细胞) 15KU 瓶
性黄RN英文名称:Acid yellow RN分子式:549.55457分子量: C23H20N5NaO6S2CAS号:6359-85-9
兔抗马IgG(免疫血清) 5ml 支
甲分子式:46.07英文名称:Methyl hydrazineCAS号:60-34-4分子量: CH6N2
20×SSC pH5.3 500ml 瓶
英文名称 Anti-phospho-c-Raf(Ser338)
中文名称 磷酸化原癌基因c-Raf抗体
别 名 RAF1(phospho S338); Raf1(Phospho-Ser338); RAF1; murine leukemia viral (v-raf-1) oncogene homolog 1 (3611-MSV); v-raf-1 murine leukemia viral oncogene homolog 1; cRaf; C-RAF; proto-oncogene c-RAF; 6430402F14Rik; AA990557; BB129353; c-Raf; Craf1; D830050J10Rik; MGC102375; Raf-1; Raf 1; v-Raf; c Raf; Craf 1 transforming gene; Craf1 transforming gene; EC 2.7.11.1; Murine sarcoma 3611 oncogene 1; RAF; Raf proto oncogene serine/threonine protein kinase; vraf1 murine leukemia viral oncogene homolog 1; c-Raf.
浓 度 1mg/1ml
规 格 0.1ml/100μg
抗体来源 Rabbit
克隆类型 polyclonal
交叉反应 Human, Mouse, Rat, Chicken, Dog, Pig, Cow, Horse, Rabbit, Sheep
产品类型 一抗 磷酸化抗体
研究领域 肿瘤 免疫学 信号转导 细胞凋亡 转录调节因子 激酶和磷酸酶
蛋白分子量 predicted molecular weight:73kDa
性 状 Lyophilized or Liquid
免 疫 原 KLH conjugated synthesised phosphopeptide derived from human c-Raf around the phosphorylation site of Ser338
亚 型 IgG
纯化方法 affinity purified by Protein A
储 存 液 0.01M PBS, pH 7.4 with 10 mg/ml BSA and 0.1% Sodium azide
产品应用 WB=1:100-500 ELISA=1:500-1000 IP=1:20-100 IHC-P=1:100-500 IHC-F=1:100-500 IF=1:100-500
磷酸化原癌基因c-Raf抗体订购说明:
※关于产品的详细说明书、价格信息,请来电获取;
※关于运输,我司支持各种快递,具体采用什么快递,我们会满足客户的要求,此外,我们还会根据产品的性状采取特殊的保护方式,以减少运输途中的损坏情况;
※关于产品包装,我司支持进口原装,也能按照客户的要求进行分装;
※关于售后,客户在收到货后,先检查产品包装情况,有无破损情况,然后可以按照严格的操作流程,在无菌环境下检测产品质量本身,如有上述疑似情况,请及时联系我司销售部;
※关于技术服务,我司可为您提供抗体标记服务,以及其他检测服务,此外,如遇技术问题,我司还能为您提供答疑解惑的咨询服务。
抗体的生物素化标记:
1.将待生物素化的蛋白质用0.1mol/L碳酸氢钠缓冲液(pH8.0)或0.5mol/L硼酸缓冲液(pH8.6)稀释到1mg般实验室应用的生物素化体积为1-2.5ml;
2.交互用0.1mo1/L碳酸氢钠缓冲液(pH8.0)或0.5mol/L硼酸缓冲液(pH8.6),对蛋白质充分透析;
3.用 1m1 DMS0溶解 NHSB Img;
4.向1m1蛋白质溶液(即含蛋白质1mg)加入120u1NHSB溶液(即含NHSB120g);
5.在室温下持续搅拌,保温2-4小时;
6.加入9.6μL1mol/LNH41(每25μ g NHSB加1u1),在室温下搅拌10分钟;
7.在4℃,对PBS充分透析,以除去游离的生物素;
8.将样品上1ml的分子筛柱,以PBS缓慢洗脱,收集1ml/管,蛋白质在1-3m1之间洗下;
9.最后,样品加入叠氮钠(终浓度0.5g/L)及1.0g/LBSA。将结合产物置4℃,避光保存,亦可加入50%重蒸甘油,置一20℃保存。
磷酸化原癌基因c-Raf抗体相关的其他产品:
Tubb3/Tubulin beta 3 微管蛋白β3抗体规格: 0.1ml
C2orf43 2号染色体开放阅读框43抗体规格: 0.2ml
LRRTM1 富含亮氨酸重复跨膜神经元蛋白1抗体规格: 0.2ml
CLN6 神经细胞蜡样质脂褐质沉积病蛋白CLN6抗体规格: 0.2ml
CYP7A1 细胞色素P450 7A1抗体/胆固醇7a羟化酶规格: 0.2ml
HE4/Epididymal secretory protein E4 附睾分泌蛋白4抗体 0.2ml
Mouse Anti-human IgM/PE PE标记的小鼠抗人IgM规格: 0.1ml
Phospho-Rb (Thr821) 磷酸化视网膜母细胞瘤相关蛋白1抗体规格: 0.1ml
HRASLS2 HRAS样抑制因子2抗体规格: 0.2ml
CROT/COT 过氧化物酶体肉碱酰基转移酶抗体规格: 0.2ml
磷酸化原癌基因c-Raf抗体1,3-双(4-氟甲酰)分子式:322.3英文名称:Double 1,3- (4- - benzoyl) benzeneCAS号:108464-88-6分子量: C20H12F2O2
HPD400大孔吸附树脂 500g 瓶
肌英文名称:Creatine分子式:131.134分子量: C4H9N3O2CAS号:57-00-1
SOD 超氧化物岐化酶(来源牛红细胞) 15KU 瓶
性黄RN英文名称:Acid yellow RN分子式:549.55457分子量: C23H20N5NaO6S2CAS号:6359-85-9
兔抗马IgG(免疫血清) 5ml 支
甲分子式:46.07英文名称:Methyl hydrazineCAS号:60-34-4分子量: CH6N2
20×SSC pH5.3 500ml 瓶
风险提示:丁香通仅作为第三方平台,为商家信息发布提供平台空间。用户咨询产品时请注意保护个人信息及财产安全,合理判断,谨慎选购商品,商家和用户对交易行为负责。对于医疗器械类产品,请先查证核实企业经营资质和医疗器械产品注册证情况。
技术资料暂无技术资料 索取技术资料
磷酸化原癌基因c-Raf抗体
询价









