相关产品推荐更多 >
万千商家帮你免费找货
0 人在求购买到急需产品
- 详细信息
- 文献和实验
- 技术资料
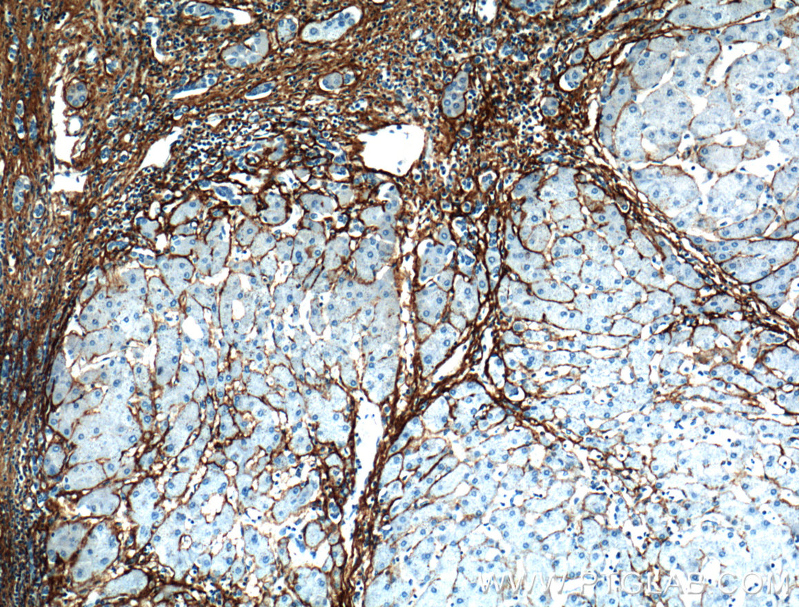
- 抗体英文名:
Anti-Collagen Ⅲ(Collagen type Ⅲ)
- 应用范围:
ELISA, WB, IP, IHC
- 库存:
大量
- 供应商:
上海研卉生物科技有限公司
- 抗原来源:
Rabbit
- 适应物种:
人,小鼠
- 保质期:
一年
- 是否单克隆:
多克隆
- 保存条件:
低温
- 规格:
50ul
In-house applications ELISA, WB, IP, IHC
Species specificity Human, Mouse; other species not tested.
Recommended dilution
| WB : 1:500-1:5000 IP : 1:200-1:2000 IHC : 1:50-1:500 |
|||
风险提示:丁香通仅作为第三方平台,为商家信息发布提供平台空间。用户咨询产品时请注意保护个人信息及财产安全,合理判断,谨慎选购商品,商家和用户对交易行为负责。对于医疗器械类产品,请先查证核实企业经营资质和医疗器械产品注册证情况。
文献和实验小鼠凝血因子ⅩⅢ(ⅩⅢ) 酶联免疫 分析( ELISA ) 试剂 盒使用说明书 本试剂仅供研究使用 目的:本试剂盒用于测定小鼠血清,血浆及相关液体样本中 凝血因子ⅩⅢ(F ⅩⅢ ) 含量。 实验原理 : 本试剂盒应用双抗体夹心法测定 标本 中 小鼠凝血因子ⅩⅢ(F ⅩⅢ ) 水平。用纯化的 小鼠凝血因子ⅩⅢ(F ⅩⅢ ) 抗体包被微孔板,制成固相抗体,往包被单抗的微孔中依次加入 凝血因子ⅩⅢ(F ⅩⅢ
Ⅲ型超敏反应的发病机制 Ⅲ型超敏反应或免疫复合物型超敏反应,是抗原抗体复合物沉积于组织内,通过激活补体而引起的细胞组织损伤。免疫复合物沉积的部位一方面取决于抗原在组织中的分布,同时也与循环免疫复合物在某些部位容易滞留有关。大的复合物可被肝、脾和骨髓中M甲捕获并清除,小的复合物存在于血循环中,但不会沉积,只有大小合适的复合物才能在局部滞留并活化补体系统,主要好发生在血管、肾赃、肺部、皮肤和关节等处。 组织局部免疫复合物沉积引起Ⅲ
又称免疫复合物型变态反应。参加反应的抗体多数是IgG(免疫球蛋白G),有补体参加,因此常可引起严重的组织损伤。目前认为,Ⅲ型变态反应是在一定条件下,可溶性抗原与特异性抗体结合形成免疫复合物。由于抗原与抗体的比例不同,因此所形成的免疫复合物大小不一。当抗体过剩时,形成大分子可溶性免疫复合物,易被吞噬或形成局部过敏坏死现象。当抗原过剩时,形成小分子可溶性免疫复合物,该类复合物可经肾小球滤过排出。而当抗原略大于抗体时,则会形成中等大小的免疫复合物。此类免疫复合物既不易被吞噬清除
技术资料暂无技术资料 索取技术资料










