相关产品推荐更多 >
万千商家帮你免费找货
0 人在求购买到急需产品
- 详细信息
- 文献和实验
- 技术资料
- 抗体英文名:
Collagen Type II Antibody
- 应用范围:
IHC/WB/ELISA
- 宿主:
Goat,Rabbit,Mouse
- 适应物种:
人
- 库存:
大量
- 抗原来源:
Rabbit
- 保质期:
一年
- 供应商:
上海研卉生物科技有限公司
- 是否单克隆:
多克隆
- 保存条件:
低温
- 规格:
80ul
Tested Applications:
| ELISA, WB, IHC | |
| Specificity Reaction: | Human; Other species are not tested.Please decide the specificity by homology |
| Positive WB detected in | transfected cells |
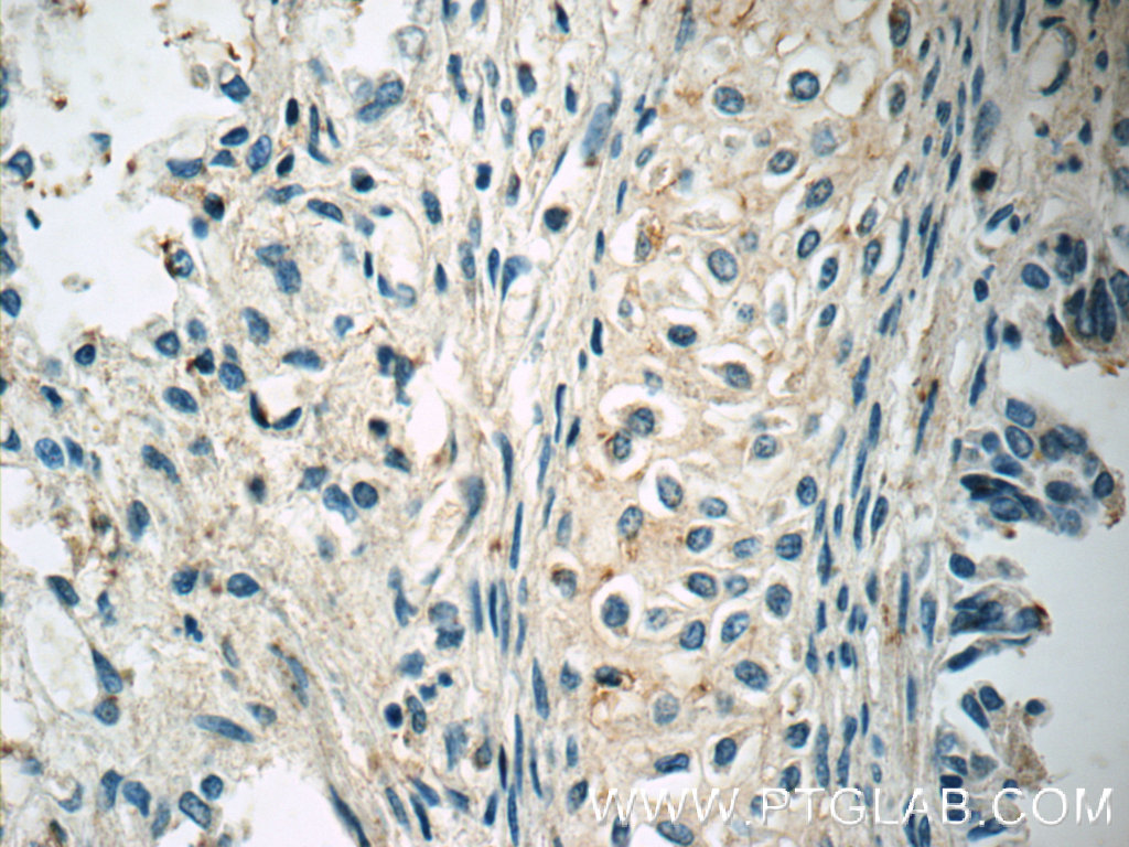
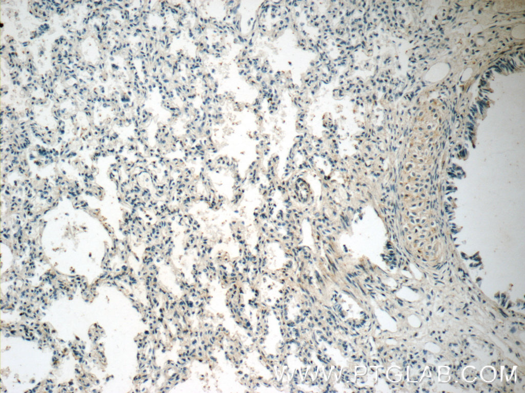
| Positive IHC detected in | human lung tissue |
| Recommended dilution | WB : 1:250-1:1000 IHC : 1:20-1:200 |
风险提示:丁香通仅作为第三方平台,为商家信息发布提供平台空间。用户咨询产品时请注意保护个人信息及财产安全,合理判断,谨慎选购商品,商家和用户对交易行为负责。对于医疗器械类产品,请先查证核实企业经营资质和医疗器械产品注册证情况。
文献和实验Ⅱ型糖原贮积症(glycogen storage disease type Ⅱ)
最早发现的贮积症。由于常染色体上的一个隐性基因突变,造成了溶酶体缺乏α葡萄糖苷酶,缺少了这种酶的溶酶体不能把肝细胞中或肌细胞中过剩的糖原进行水解而大量积累在溶酶体内,造成溶酶体超载。此病多发于婴儿,表现为肌肉无力,心脏增大,心力衰竭, 通常于两周内死亡。
小鼠II型胶原蛋白(Collagen II)ELISA试剂盒 说明书
上海西唐生物科技有限公司 021-55229872, 65333639 www.westang.com 小鼠II 型胶原蛋白 ( Collagen II )ELISA 试剂盒 ( 用于血清、血浆、细胞培养上清液和其它生物体液内 ) 原理 本实验采用双抗体夹心 ABC-ELISA 法。用抗小鼠 Collagen II 单抗包被于酶标板上,标准品和样品中的
佚名 Ⅱ型变态反应又名细胞毒性抗体反应,是由抗体与靶细胞表面的抗原相结合而介导。抗原可以是细胞膜自身成分,也可以是吸附在细胞表面的外源性抗原或半抗原,可通过不同的机制而引起细胞损害。 1.补体介导的细胞毒反应(complement mediated cytotoxicity,CMC) 特异性抗体(IgM或IgG)与细胞表面的抗原相结合
技术资料暂无技术资料 索取技术资料










