相关产品推荐更多 >
万千商家帮你免费找货
0 人在求购买到急需产品
- 详细信息
- 文献和实验
- 技术资料
- 供应商:
上海莼试
- 库存:
15
- 靶点:
ACVRL1
- 克隆性:
多克隆
- 抗体英文名:
Anti-ACVRL1
- 抗体名:
激活素受体样激酶1抗体
- 标记物:
HRP等
- 宿主:
鼠,牛,马,兔,羊等
- 适应物种:
Human, Mouse, Rat等
- 亚型:
IgG
- 形态:
液体或固体
- 应用范围:
WB IHC-P IHC-F IF
- 浓度:
10mg/ml
- 保存条件:
-20℃冻存
- 规格:
100ul
英文名称:Anti-ACVRL1
库存地:上海库
货期:现货
价格:以咨询为准!
用途:仅供高校实验室以及科研单位使用
公司优势:
1.拥有一批专业高效的团队,专门解决客户在实验过程中遇到的各种难题;
2.多年的应用经验积累;
3. 激活素受体样激酶1抗体规格牌号齐全,满足不同客户的使用需求;
4.库存充足,供货周期短,能解决客户的急需问题;
5.我们秉承诚信至上、务实做事的信条,是客户值得信赖的合作伙伴。
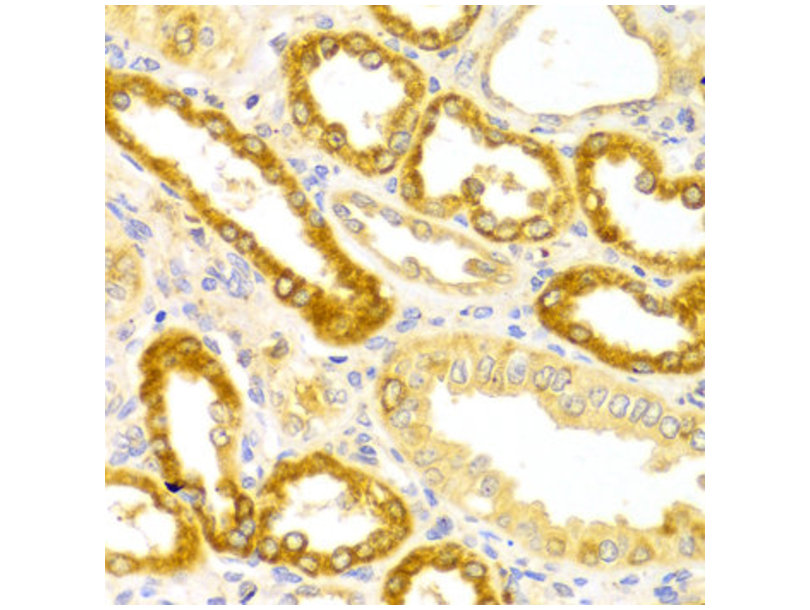
免疫组化结果分析:
1、首先要确定免疫组化技术是否合格,合格的染色结果应该是背景颜色浅淡或无着色,而阳性标志物清晰和定位明确。
切片中的正常组织可以作为最简便的对照来判断染色结果的可靠与否,例如用Vimentin抗体,间质成纤维细胞利血管壁平滑肌细胞胞浆应呈阳性。肯定为阳性的对照组织却呈阴性,待测组织的染色结果也就不可靠;这现象常是由于抗体失效或过度稀释、组织中抗原严重丢失等。
2、不仅要判断所检组织中有或无阳性标记物,还要注意阳性信号的分布部位和形态特征。
一般说来,阳性信号应与被测抗原所在的部位一致,大部分细胞抗原位于胞质内,其中亦有区别,有的阳性颗粒弥散于整个细胞的胞质,有的则呈斑块状局限于胞浆某处。还有些抗原同时分布于胞质和胞膜(如胃肠腺癌细胞的EMA),或核与胞质(如S-100、HMB-45)。同一种抗原在不同类型的细胞可定位不同,因而分布的特点也有一定的鉴别意义。
图
激活素受体样激酶1抗体相关的其他优势产品:
趋化素样因子超家族成员5抗体
组蛋白H3-K9甲基转移酶抗体
趋化素样因子超家族成员6抗体
cornichon样蛋白抗体
Ras激酶抑制因子连接增强蛋白1抗体
胸腺细胞核蛋白1抗体 Anti-THYN1 WB IHC-P IHC-F IF 100ul
肿瘤坏死因子α诱导相互作用蛋白3抗体 Anti-TNFAIP3 interacting protein 3 WB IHC-P IHC-F IF 100ul
辣椒素受体3抗体 Anti-TRPV3 WB IHC-P IHC-F IF 100ul
TEX261蛋白抗体 Anti-TEX261 WB IHC-P IHC-F IF 100ul
促甲状腺素受体抗体 Anti-TSHR WB IHC
1号染色体开放阅读框194抗体 Anti-C1orf194 WB IHC-P IHC-F IF 100ul
1号染色体开放阅读框198抗体 Anti-C1orf198 WB IHC-P IHC-F IF 100ul
1号染色体开放阅读框21抗体 Anti-C1orf21 WB IHC-P IHC-F IF 100ul
1号染色体开放阅读框216抗体 Anti-C1orf216 WB IHC-P IHC-F IF 100ul
1号染色体开放阅读框43抗体 Anti-C1orf43 WB IHC-P IHC-F IF 100ul
培养基(改良高氏50g用于的分离培养
假单胞菌琼脂F 用甘油在荧光素产生的基础上检测鉴别铜绿假单胞菌 500g incubation media 假单胞菌琼脂F 用甘油在荧光素产生的基础上检测鉴别铜绿假单胞菌 500g
产氨短杆菌 产肌苷酸 支/瓶
ShigellaEnrichmentBroth
PhosphateGlucosePeptoneWaterMedium
激活素受体样激酶1抗体L-酪酸营养琼脂基础28382250g用于蜡样芽孢杆菌的L-酪酸分解试验。
Dermasel 琼脂 (CM0539) Oxoid incubation media Dermasel 琼脂 (CM0539) Oxoid
酸土脂环芽孢杆菌 牛奶中青霉素的检测;用于益生菌类食品 支/瓶
PresenceAbsenceBroth
Mueller-HintonAgar
风险提示:丁香通仅作为第三方平台,为商家信息发布提供平台空间。用户咨询产品时请注意保护个人信息及财产安全,合理判断,谨慎选购商品,商家和用户对交易行为负责。对于医疗器械类产品,请先查证核实企业经营资质和医疗器械产品注册证情况。
文献和实验免疫球蛋白样转录体受体 免疫球蛋白样转录体(Ig―like transcrlpts,ILTs)作为受体,含有杀伤细胞免疫球蛋白样功能区,其胞质区含4个ITIM。ILTs的成员ILT-2对HLAI类分子有较广的特异性,主要结合I类分子3结构域以及HLAI类分子的同源体――UL18,一种巨细胞病毒编码的分子。这可能代表着病毒的一种诱骗机制,通过与抑制受体结合,使之免遭NK细胞介导的攻击和杀伤。 激活性受体的研究比较滞后,最近
功能障碍。这种急性危重疾病发病机制仍然很大程度上未知。 在秀丽隐杆线虫中,热应激通过钙网蛋白和蛋白酶钙蛋白酶导致普遍的坏死细胞死亡——这些蛋白质的消耗限制了热应激引起的这些线虫的致死率。在脊椎动物中,程序性细胞坏死是由混合谱系激酶域样 (MLKL) 或 gasdermin 家族蛋白(例如 gasdermin D)介导的,它们在激活时会在细胞质或细胞内膜上形成孔。 热应激触发 RIPK3 依赖性细胞死亡(图源自 Science ) MLKL 被受体相互作用蛋白激酶 3 (RIPK3) 依赖
个β亚单位通过链间二硫键形成的异源四聚体。其中α亚单位为配体结合部位;β亚单位的胞浆内部分含有酪氨酸激酶活性区域。 (3)PDGF/MCSF/SCF受体家族:其家族成员包括血小板衍生的生长因子α受体(PDGF-αR)、PDGF-βR、巨噬细胞集落刺激因子受体(M-CSFR)以及干细胞生长因子受体(SCFR)。以上成员的特点是胞膜外含有5个免疫球蛋白样结构域,胞浆内含有两个呈串联结构的酪酸激酶功能区。 (4)成纤维细胞生长因子受体(FGFR)家族:FGFR家族成员有FGFR
技术资料暂无技术资料 索取技术资料










