相关产品推荐更多 >
万千商家帮你免费找货
0 人在求购买到急需产品
- 详细信息
- 文献和实验
- 技术资料
- 靶点:
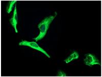
KLK7
- 克隆性:
多克隆
- 抗体英文名:
Anti-KLK7
- 抗体名:
激肽释放酶7抗体
- 免疫原:
KLH conjugated synthetic peptide derived from human KLK7
- 亚型:
IgG
- 形态:
冻干或液体
- 应用范围:
WB,ELISA,IP,ICC等
- 浓度:
1mg/1ml
- 保存条件:
-20 °C
- 规格:
0.2ml/200μg
英文名称 激肽释放酶7抗体
中文名称 Anti-KLK7
别 名 Chymotryptic stratum corneum; hK 7; hK7; hSCCE; hSCCE; Kallikrein 7 (chymotryptic stratum corneum); Kallikrein related peptidase 7; Kallikrein-7; Kallikrein7; KLK 7; Klk7; KLK7_HUMAN; Protease serine 6; PRSS 6; PRSS6; SCCE; Serine protease 6; Signal protein; Stratum corneum chymotryptic enzyme; Stratum corneum chymotryptic enzyme.
浓 度 1mg/1ml
规 格 0.2ml/200μg
抗体来源 Rabbit
克隆类型 polyclonal
交叉反应 Human, Mouse, Rat, Dog, Pig, Cow
产品类型 一抗
研究领域 肿瘤 细胞生物 免疫学 信号转导 激酶和磷酸酶 细胞骨架 细胞外基质 泛素
蛋白分子量 predicted molecular weight:
24kDa
性 状 Lyophilized or Liquid
免 疫 原 KLH conjugated synthetic peptide derived from human KLK7
亚 型 IgG
纯化方法 affinity purified by Protein A
储 存 液 0.01M PBS, pH 7.4 with 10 mg/ml BSA and 0.1% Sodium azide
产品应用 WB=1:100-500 ELISA=1:500-1000 IP=1:20-100 IHC-P=1:100-500 IHC-F=1:100-500 IF=1:100-500
激肽释放酶7抗体订购说明:
| 价格 | 价格以市场走向为准,准确的报价还请客户向我们咨询; |
| 供应 | 我司产品一般都是现货直销,但不排除供应紧张的情况,无论新老客户,提前订购,都能够百分百获得新出厂的批次; |
| 运输 | 支持快递包邮,当天下单即可当天发货; |
| 售后 | 我司提供周到的售后服务,支持退换货,后期如遇技术难题,还可获取我司的技术咨询和帮助。 |
几种抗体概述:
1.抗角蛋白抗体(AKA),又称为抗丝集蛋白抗体或抗角质层抗体。AKA是类风湿关节炎早期诊断和判断预后的指标之一,其对RA患者的诊断的特异性为94% ,而其敏感性为47% ,并是一种鉴别RA和与多发性关节炎相关的丙型肝炎患者的有效检验标记物。
2.抗核周因子( APF), 是定位于口腔黏附膜细胞胞质内的颗粒性蛋白复合物。可在RA患者的血清和关节液中测出,与性别、年龄无关。APF显示了较强的特异性(73%~99%)和敏感性。用间接免疫荧光法检测,方法精密度较差。
3.抗环瓜氨酸肽抗体(CCP),具有相对好的敏感度和特异性。其实,抗核周因子和抗角蛋白抗体,与CCP在化学结构上具有相关性,它们的表位都含有瓜氨酸,称为瓜氨酸相关自身免疫系统。
激肽释放酶7抗体实验流程:
公司还提供:
DMRT3 睾特异性DMRT3蛋白抗体规格: 0.2ml
CaMK2 beta/CaMK2 gamma 钙/钙调素依赖蛋白激酶2b/2γ抗体规格: 0.1ml
兔抗BMP2多克隆抗体
英文名:Anti-BMP2rabbitpolyclonalantiboy
冷冻(-20℃)避光
兔抗PCSK5多克隆抗体
英文名:Anti-PCSK5rabbitpolyclonalantiboy
冷冻(-20℃)避光
PPP2R1B 蛋白质磷酸酶2调节亚基1B抗体规格: 0.2ml
RACGAP1 Rho GTP酶激活蛋白GAP抗体规格: 0.2ml
兔抗TUBB2A多克隆抗体
英文名:Anti-TUBB2Arabbitpolyclonalantiboy
冷冻(-20℃)避光
激肽释放酶7抗体组织谷胱甘肽还原酶活性比色法定量检测试剂盒进口/国产规格:20次
细胞单胺氧化酶A型(MAO-A)活性荧光定量检测试剂盒进口/国产规格:20次
组织半胱氨酸蛋白酶-6(CASPASE-6)活性比色法定量检测试剂盒进口/国产规格:20次
动物线粒体呼吸链复合物II(琥珀酸-辅酶Q还原酶)活性定量检测试剂盒进口/国产规格:20次
血液3-羟-3-甲戊二酰辅酶A(HMG-COA)还原酶活性间接比色法定量检测试剂盒进口/国产规格:20次
植物NADP依赖性甘油醛-3-磷酸脱氢酶(NADP-Glyceraldehyde-3-Phosphate Dehydrogenase;NADP-GAPDH)活性光谱法定量检测试剂盒进口/国产规格:20次
细胞组织蛋白酶K(CATHEPSIN K)活性比色法定量检测试剂盒进口/国产规格:20次
细胞基质金属蛋白酶(MMP-2)活性荧光定量检测试剂盒进口/国产规格:20次
风险提示:丁香通仅作为第三方平台,为商家信息发布提供平台空间。用户咨询产品时请注意保护个人信息及财产安全,合理判断,谨慎选购商品,商家和用户对交易行为负责。对于医疗器械类产品,请先查证核实企业经营资质和医疗器械产品注册证情况。
文献和实验人激肽释放酶8(KLK-8) 酶联免疫分析(ELISA ) 试剂盒使用说明书 本试剂仅供研究使用 目的:本试剂盒用于测定人血清,血浆及相关液体样本中激肽释放酶8(KLK-8) 的 含量。 实验原理: 本试剂盒应用双抗体夹心法测定标本中人激肽释放酶 8(KLK-8) 水平。用纯化的人激肽释放酶 8(KLK-8) 抗体包被微孔板,制成固相抗体,往包被单抗的微孔中依次加入激肽释放酶 8(KLK
人激肽释放酶10 (KLK 10 ) 酶联免疫分析( ELISA ) 试剂盒使用说明书 本试剂仅供研究使用 目的:本试剂盒用于测定人血清,血浆及相关液体样本中激肽释放酶10 (KLK 10 )的 含量。 实验原理: 本试剂盒应用双抗体夹心法测定标本中 人激肽释放酶 10 ( KLK 10 ) 水平。用纯化的 人激肽释放酶 10 ( KLK 10 )抗体 包被微孔板,制成固相抗体,往包被单抗的微孔中
与激肽生成有关的蛋白酶。EC3. 4. 21. 8。广泛存在于血浆和组织中。可从狗的胰脏中提取出来,但从人、牛、马、狗、猫等的腮腺、颌下腺、舌下腺等也能获得同样的物质。虽不引起正常动物的血糖量的变化,但具有使切除胰脏的狗或人的糖尿病患者的血糖量降低的作用。它与胰岛素是不同的物质,口服也有效。
技术资料暂无技术资料 索取技术资料









