万千商家帮你免费找货
0 人在求购买到急需产品
- 详细信息
- 文献和实验
- 技术资料
- 供应商:
上海莼试
- 库存:
15
- 靶点:
Annexin A2
- 克隆性:
多克隆
- 抗体英文名:
Anti-Annexin A2
- 抗体名:
膜粘连蛋白 Ⅱ抗体
- 标记物:
HRP等
- 宿主:
鼠,牛,马,兔,羊等
- 适应物种:
Human, Mouse, Rat等
- 亚型:
IgG
- 形态:
液体或固体
- 应用范围:
WB IHC-P IHC-F IF
- 浓度:
10mg/ml
- 保存条件:
-20℃冻存
- 规格:
100ul
英文名称:Anti-Annexin A2
库存地:上海库
货期:现货
价格:以咨询为准!
用途:仅供高校实验室以及科研单位使用
公司优势:
1.拥有一批专业高效的团队,专门解决客户在实验过程中遇到的各种难题;
2.多年的应用经验积累;
3. 膜粘连蛋白 Ⅱ抗体规格牌号齐全,满足不同客户的使用需求;
4.库存充足,供货周期短,能解决客户的急需问题;
5.我们秉承诚信至上、务实做事的信条,是客户值得信赖的合作伙伴。
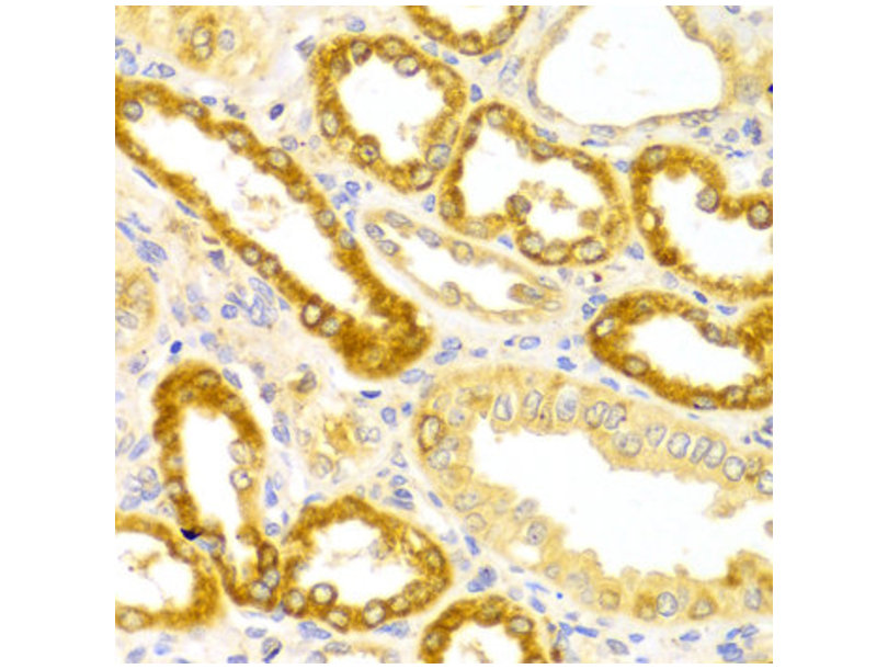
免疫组化结果分析:
1、首先要确定免疫组化技术是否合格,合格的染色结果应该是背景颜色浅淡或无着色,而阳性标志物清晰和定位明确。
切片中的正常组织可以作为最简便的对照来判断染色结果的可靠与否,例如用Vimentin抗体,间质成纤维细胞利血管壁平滑肌细胞胞浆应呈阳性。肯定为阳性的对照组织却呈阴性,待测组织的染色结果也就不可靠;这现象常是由于抗体失效或过度稀释、组织中抗原严重丢失等。
2、不仅要判断所检组织中有或无阳性标记物,还要注意阳性信号的分布部位和形态特征。
一般说来,阳性信号应与被测抗原所在的部位一致,大部分细胞抗原位于胞质内,其中亦有区别,有的阳性颗粒弥散于整个细胞的胞质,有的则呈斑块状局限于胞浆某处。还有些抗原同时分布于胞质和胞膜(如胃肠腺癌细胞的EMA),或核与胞质(如S-100、HMB-45)。同一种抗原在不同类型的细胞可定位不同,因而分布的特点也有一定的鉴别意义。
产品名称:膜粘连蛋白 Ⅱ抗体
英文名称:Anti-Annexin A2
库存地:上海库
货期:现货
价格:以咨询为准!
用途:仅供高校实验室以及科研单位使用
公司优势:
1.拥有一批专业高效的团队,专门解决客户在实验过程中遇到的各种难题;
2.多年的应用经验积累;
3. 膜粘连蛋白 Ⅱ抗体规格牌号齐全,满足不同客户的使用需求;
4.库存充足,供货周期短,能解决客户的急需问题;
5.我们秉承诚信至上、务实做事的信条,是客户值得信赖的合作伙伴。
免疫组化结果分析:
1、首先要确定免疫组化技术是否合格,合格的染色结果应该是背景颜色浅淡或无着色,而阳性标志物清晰和定位明确。
切片中的正常组织可以作为最简便的对照来判断染色结果的可靠与否,例如用Vimentin抗体,间质成纤维细胞利血管壁平滑肌细胞胞浆应呈阳性。肯定为阳性的对照组织却呈阴性,待测组织的染色结果也就不可靠;这现象常是由于抗体失效或过度稀释、组织中抗原严重丢失等。
2、不仅要判断所检组织中有或无阳性标记物,还要注意阳性信号的分布部位和形态特征。
一般说来,阳性信号应与被测抗原所在的部位一致,大部分细胞抗原位于胞质内,其中亦有区别,有的阳性颗粒弥散于整个细胞的胞质,有的则呈斑块状局限于胞浆某处。还有些抗原同时分布于胞质和胞膜(如胃肠腺癌细胞的EMA),或核与胞质(如S-100、HMB-45)。同一种抗原在不同类型的细胞可定位不同,因而分布的特点也有一定的鉴别意义。
图
膜粘连蛋白 Ⅱ抗体相关的其他优势产品:
CD226抗体
CD26抗体
8型胶原/内皮胶原蛋白抗体
结合转化激活因子CITED1抗体
细胞色素P450 2C9抗体
宫癌组织芯片,仅供科研
膈肌,仅供科研
睾丸肿瘤,仅供科研
睾丸精原细胞瘤组织芯片,仅供科研
睾丸精原细胞瘤与淋巴瘤组织芯片,仅供科研
8号染色体开放阅读框33抗体 Anti-C8orf33 WB IHC-P IHC-F IF 100ul
软骨蛋白1抗体 Anti-Alx1 WB IHC-P IHC-F IF 100ul
颅面部发育蛋白1抗体 Anti-CFDP1 WB IHC-P IHC-F IF 100ul
肥大细胞羧肽酶A3抗体 Anti-CPA3 WB IHC-P IHC-F IF 100ul
1号染色体开放阅读框105抗体 Anti-C1orf105 WB IHC-P IHC-F IF 100ul
乳糖发酵培养基22050250g用于多管发酵法测定食品、纯净水和一次性使用卫生用品中大肠菌群的确证试验
庖肉培养基 (CM0081) Oxoid incubation media 庖肉培养基 (CM0081) Oxoid
泡盛曲霉烟色变种 用于制酒 支/瓶
月桂基盐蛋白胨肉汤-MUGl用于O测,(GB标准)
BairdParkerAgarMedium
膜粘连蛋白 Ⅱ抗体RappaportVassiliadisSalmonellaEnrichmentBroth
Brain-heart broth 脑心肉汤 1.10493.0500 MERCK默克 incubation media Brain-heart broth 脑心肉汤 1.10493.0500 MERCK默克
胰蛋白胨大豆肉汤培养基 250g 可广泛应用于细菌的培养,特别用于消毒剂消毒效果的测试、金黄色葡萄球菌的非选择性增菌培养及蜡...
碱性胆盐琼脂用于分离霍乱弧菌
cycloheximide
膜粘连蛋白 Ⅱ抗体相关的其他优势产品:
CD226抗体
CD26抗体
8型胶原/内皮胶原蛋白抗体
结合转化激活因子CITED1抗体
细胞色素P450 2C9抗体
宫癌组织芯片,仅供科研
膈肌,仅供科研
睾丸肿瘤,仅供科研
睾丸精原细胞瘤组织芯片,仅供科研
睾丸精原细胞瘤与淋巴瘤组织芯片,仅供科研
8号染色体开放阅读框33抗体 Anti-C8orf33 WB IHC-P IHC-F IF 100ul
软骨蛋白1抗体 Anti-Alx1 WB IHC-P IHC-F IF 100ul
颅面部发育蛋白1抗体 Anti-CFDP1 WB IHC-P IHC-F IF 100ul
肥大细胞羧肽酶A3抗体 Anti-CPA3 WB IHC-P IHC-F IF 100ul
1号染色体开放阅读框105抗体 Anti-C1orf105 WB IHC-P IHC-F IF 100ul
乳糖发酵培养基22050250g用于多管发酵法测定食品、纯净水和一次性使用卫生用品中大肠菌群的确证试验
庖肉培养基 (CM0081) Oxoid incubation media 庖肉培养基 (CM0081) Oxoid
泡盛曲霉烟色变种 用于制酒 支/瓶
月桂基盐蛋白胨肉汤-MUGl用于O测,(GB标准)
BairdParkerAgarMedium
膜粘连蛋白 Ⅱ抗体RappaportVassiliadisSalmonellaEnrichmentBroth
Brain-heart broth 脑心肉汤 1.10493.0500 MERCK默克 incubation media Brain-heart broth 脑心肉汤 1.10493.0500 MERCK默克
胰蛋白胨大豆肉汤培养基 250g 可广泛应用于细菌的培养,特别用于消毒剂消毒效果的测试、金黄色葡萄球菌的非选择性增菌培养及蜡...
碱性胆盐琼脂用于分离霍乱弧菌
cycloheximide
风险提示:丁香通仅作为第三方平台,为商家信息发布提供平台空间。用户咨询产品时请注意保护个人信息及财产安全,合理判断,谨慎选购商品,商家和用户对交易行为负责。对于医疗器械类产品,请先查证核实企业经营资质和医疗器械产品注册证情况。
文献和实验电镜技术的发展,会有更多的膜蛋白结构得到解析,助力后续的功能研究和药物发现。 有了冷冻电镜这把利器之后,真正制约膜蛋白研究的其实是样品的制备。 常规的膜蛋白制备流程如下: 图 1. 常规的膜蛋白制备流程图 特点是: 蛋白含量低 收率低 活性易降低 纯化过程需要优化 去垢剂 天然表达的膜蛋白含量极低,很难纯化。就算是重组表达体系,生产出的膜蛋白通常具有细胞毒性,因此表达量也远低于常规重组蛋白。在整个纯化过程中都需要选择合适的去垢剂才能使膜蛋白本身保持空间构象和活性。 去垢剂可分为三种: 表
HLA Ⅱ类基因区 HLAⅡ类基因区位于HLA复合体的着丝粒端,即从DRA到HLA-DPA3的一段区域,长度为0.9Mb,包含34个基因座位,其中16个为表达基因,3个后选基因,15个假基因。在16个表达基因中除了BRD2(原名RING3)外均有免疫学功能。Ⅱ类区域内至少含有DR、DQ、DP、DOA、IX)B和DM六个亚区。 (1)HLA-DR亚区:DR亚区有1个DRA基因及9个DRB基因。DRA基因不具多态性,其产物为DR分子的。链。9个DRB基因分别命名为DRBl~
亦称为伞膜( web)。是头足类在腕与腕之间的膜状构造。在十腕类(乌贼)是不明显的,但在八腕类(章鱼),则以宽而薄的膜扩展着。是前足或上足的延伸。
技术资料暂无技术资料 索取技术资料










