相关产品推荐更多 >
万千商家帮你免费找货
0 人在求购买到急需产品
- 详细信息
- 技术资料
- 供应商:
上海抚生
- 库存:
大量
- 靶点:
WWP1
- 克隆性:
多克隆
- 抗原来源:
Rabbit
- 抗体英文名:
Anti-WWP1
- 抗体名:
WW结构域E3泛素连接酶1抗体
- 标记物:
HRP,AKP
- 宿主:
人,鼠,猴,鸡,狗,猪等
- 适应物种:
Human, Mouse, Rat, Dog, Cow, Horse, Rabbit, Sheep
- 免疫原:
KLH conjugated synthetic peptide derived from human WWP1
- 亚型:
IgG
- 形态:
冻干或液体
- 应用范围:
WB,ELISA,ICC,IP等
- 浓度:
1mg/1ml
- 保存条件:
-20℃
- 规格:
0.2ml/200μg
WW结构域E3泛素连接酶1抗体产品资料:
英文名称 Anti-WWP1
中文名称 WW结构域E3泛素连接酶1抗体
别 名 AIP 5; AIP5; Atropin-1-interacting protein 5; hSDRP1; nedd4 like; NEDD4-like E3 ubiquitin-protein ligase WWP1; Tiul1; WW domain containing E3 ubiquitin protein ligase 1; WW domain-containing protein 1; WWP 1; WWP1_HUMAN.
浓 度 1mg/1ml
规 格 0.2ml/200μg
抗体来源 Rabbit
克隆类型 polyclonal
交叉反应 Human, Mouse, Rat, Dog, Cow, Horse, Rabbit, Sheep
产品类型 一抗
研究领域 肿瘤 细胞生物 信号转导 肿瘤细胞生物标志物
蛋白分子量 predicted molecular weight:105kDa
性 状 Lyophilized or Liquid
免 疫 原 KLH conjugated synthetic peptide derived from human WWP1
亚 型 IgG
纯化方法 affinity purified by Protein A
储 存 液 Preservative: 15mM Sodium Azide, Constituents: 1% BSA, 0.01M PBS, pH 7.4
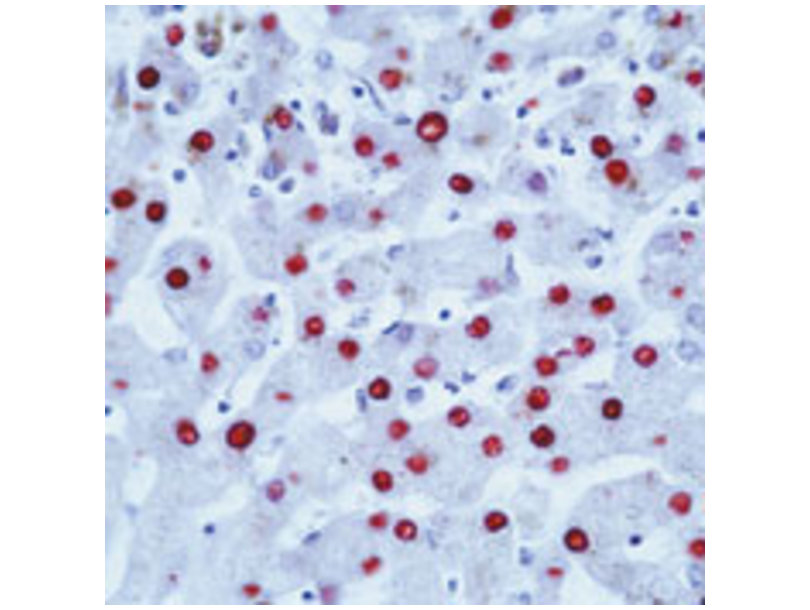
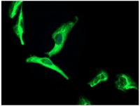
产品应用 WB=1:100-500 ELISA=1:500-1000 IP=1:20-100 IHC-P=1:100-500 IHC-F=1:100-500 IF=1:100-500
WW结构域E3泛素连接酶1抗体产品优势:
荧光标记抗体实验要点:
1.偶联反应要求在尽可能接近pH9.8的溶液中进行,而且注意在反应过程中要保持此pH水平;
2.要确定在偶联反应缓冲液中不含游离氨基(Tris,氨及叠氮钠均可与FITC反应,因此会降低蛋白质与FITC的偶联率);
3.FITC与蛋白质的比值(F/P),可通过测定495m与280nm吸光度来鉴定;
4.FITC缺限是易被光淬灭,因此复合物必须始终避光保存;
5.如果FITC一复合物对PBS透析不充分,可能造成高本底,对免疫荧光染色产生干扰;
与WW结构域E3泛素连接酶1抗体相关的其他产品:
特价促销EFR3A EFR3A蛋白抗体规格 0.2ml
特价促销EFHD1 EFHD1蛋白抗体规格 0.2ml
特价促销EFHC2 EFHC2蛋白抗体规格 0.2ml
特价促销EFHC1 EFHC1蛋白抗体规格 0.2ml
特价促销EFHA1 EFHA1蛋白抗体规格 0.2ml
特价促销EF-CBP2 突触结合蛋白2抗体规格 0.2ml
特价促销EF1a 翻译延伸因子EF-1a抗体规格 0.2ml
WW结构域E3泛素连接酶1抗体现货促销 HHORSCL 人外根壳细胞裂解物 规格:400 µg
现货促销 HHIRSCL 人内根壳细胞裂解物 规格:400 µg
现货促销 HLECL 人淋巴内皮细胞裂解物 规格:400 µg
现货促销 HLFL 人淋巴成纤维细胞裂解物 规格:400 µg
现货促销 HOKL 人口腔角质细胞裂解物 规格:400 µg
现货促销 HGFL 人牙龈成纤维细胞裂解物 规格:400 µg
现货促销 HPLFL 人牙周膜成纤维细胞裂解物 规格:400 µg
英文名称 Anti-WWP1
中文名称 WW结构域E3泛素连接酶1抗体
别 名 AIP 5; AIP5; Atropin-1-interacting protein 5; hSDRP1; nedd4 like; NEDD4-like E3 ubiquitin-protein ligase WWP1; Tiul1; WW domain containing E3 ubiquitin protein ligase 1; WW domain-containing protein 1; WWP 1; WWP1_HUMAN.
浓 度 1mg/1ml
规 格 0.2ml/200μg
抗体来源 Rabbit
克隆类型 polyclonal
交叉反应 Human, Mouse, Rat, Dog, Cow, Horse, Rabbit, Sheep
产品类型 一抗
研究领域 肿瘤 细胞生物 信号转导 肿瘤细胞生物标志物
蛋白分子量 predicted molecular weight:105kDa
性 状 Lyophilized or Liquid
免 疫 原 KLH conjugated synthetic peptide derived from human WWP1
亚 型 IgG
纯化方法 affinity purified by Protein A
储 存 液 Preservative: 15mM Sodium Azide, Constituents: 1% BSA, 0.01M PBS, pH 7.4
产品应用 WB=1:100-500 ELISA=1:500-1000 IP=1:20-100 IHC-P=1:100-500 IHC-F=1:100-500 IF=1:100-500
WW结构域E3泛素连接酶1抗体产品优势:
| ※支持定制服务,客户提前下单,我们根据客户需求进行生产,可保证产品的新批次和应具备的活跃度和灵敏度; ※产品来源正规,由权威保藏中心进行保藏; ※产品价格公允,新老客户皆能享受我司提供的价格优惠,客户可来电获取实时报价; ※我司配备完善的服务体系,详细客户只要与我司达成合作关系,定能感受到我司的诚意。 |
荧光标记抗体实验要点:
1.偶联反应要求在尽可能接近pH9.8的溶液中进行,而且注意在反应过程中要保持此pH水平;
2.要确定在偶联反应缓冲液中不含游离氨基(Tris,氨及叠氮钠均可与FITC反应,因此会降低蛋白质与FITC的偶联率);
3.FITC与蛋白质的比值(F/P),可通过测定495m与280nm吸光度来鉴定;
4.FITC缺限是易被光淬灭,因此复合物必须始终避光保存;
5.如果FITC一复合物对PBS透析不充分,可能造成高本底,对免疫荧光染色产生干扰;
与WW结构域E3泛素连接酶1抗体相关的其他产品:
特价促销EFR3A EFR3A蛋白抗体规格 0.2ml
特价促销EFHD1 EFHD1蛋白抗体规格 0.2ml
特价促销EFHC2 EFHC2蛋白抗体规格 0.2ml
特价促销EFHC1 EFHC1蛋白抗体规格 0.2ml
特价促销EFHA1 EFHA1蛋白抗体规格 0.2ml
特价促销EF-CBP2 突触结合蛋白2抗体规格 0.2ml
特价促销EF1a 翻译延伸因子EF-1a抗体规格 0.2ml
WW结构域E3泛素连接酶1抗体现货促销 HHORSCL 人外根壳细胞裂解物 规格:400 µg
现货促销 HHIRSCL 人内根壳细胞裂解物 规格:400 µg
现货促销 HLECL 人淋巴内皮细胞裂解物 规格:400 µg
现货促销 HLFL 人淋巴成纤维细胞裂解物 规格:400 µg
现货促销 HOKL 人口腔角质细胞裂解物 规格:400 µg
现货促销 HGFL 人牙龈成纤维细胞裂解物 规格:400 µg
现货促销 HPLFL 人牙周膜成纤维细胞裂解物 规格:400 µg
风险提示:丁香通仅作为第三方平台,为商家信息发布提供平台空间。用户咨询产品时请注意保护个人信息及财产安全,合理判断,谨慎选购商品,商家和用户对交易行为负责。对于医疗器械类产品,请先查证核实企业经营资质和医疗器械产品注册证情况。
技术资料暂无技术资料 索取技术资料
WW结构域E3泛素连接酶1抗体
询价









