相关产品推荐更多 >
万千商家帮你免费找货
0 人在求购买到急需产品
- 详细信息
- 文献和实验
- 技术资料
- 供应商:
上海联迈生物工程有限公司
- 库存:
大量
- 目录编号:
LM-9576R
- 克隆性:
多克隆
- 抗原来源:
Rabbit
- 保质期:
1年
- 抗体英文名:
Copine-6
- 抗体名:
神经网蛋白CopineVI抗体
- 宿主:
Rabbit
- 适应物种:
Human, Mouse, Rat, Pig, Horse, Rabbit, Sheep,
- 免疫原:
KLH conjugated synthetic peptide derived from human Copine-6 (201-300aa):221-320/557
- 亚型:
IgG
- 形态:
Lyophilized or Liquid
- 应用范围:
ELISA=1:500-1000 IHC-P=1:400-800 IHC-F=1:400-800 ICC=1:100-500 IF=1:100-500 (石蜡切片需做抗原修复)
- 浓度:
1mg/ml
- 保存条件:
Store at -20 °C
- 规格:
100ul 200ul
| 英文名称 | Copine-6 |
| 中文名称 | 神经网蛋白CopineVI抗体 |
| 别 名 | Copine 6; Copine VI (neuronal); Copine VI; Copine-6; Copine6; CopineVI; CPNE 6; Cpne6; CPNE6_HUMAN; N copine; N-copine; Neuronal copine; Neuronal-copine. |
| 规格价格 | 100ul/1380元 购买 200ul/2200元 购买 大包装/询价 |
| 说 明 书 | 100ul 200ul |
| 研究领域 | 细胞生物 神经生物学 |
| 抗体来源 | Rabbit |
| 克隆类型 | Polyclonal |
| 交叉反应 | Human, Mouse, Rat, Pig, Horse, Rabbit, Sheep, |
| 产品应用 | ELISA=1:500-1000 IHC-P=1:400-800 IHC-F=1:400-800 ICC=1:100-500 IF=1:100-500 (石蜡切片需做抗原修复) not yet tested in other applications. optimal dilutions/concentrations should be determined by the end user. |
| 分 子 量 | 62kDa |
| 细胞定位 | 细胞浆 细胞膜 |
| 性 状 | Lyophilized or Liquid |
| 浓 度 | 1mg/ml |
| 免 疫 原 | KLH conjugated synthetic peptide derived from human Copine-6 (201-300aa):221-320/557 |
| 亚 型 | IgG |
| 纯化方法 | affinity purified by Protein A |
| 储 存 液 | 0.01M TBS(pH7.4) with 1% BSA, 0.03% Proclin300 and 50% Glycerol. |
| 保存条件 | Store at -20 °C for one year. Avoid repeated freeze/thaw cycles. The lyophilized antibody is stable at room temperature for at least one month and for greater than a year when kept at -20°C. When reconstituted in sterile pH 7.4 0.01M PBS or diluent of antibody the antibody is stable for at least two weeks at 2-4 °C. |
| PubMed | PubMed |
| 产品介绍 | background: Copine 6 is a 557 amino acid member of the copine family of evolutionarily conserved, soluble, calcium-dependent, membrane-binding proteins. Members of the copine family are involved in signal transduction and membrane trafficking. Arabidopsis thaliana mutants lacking copine proteins exhibit reduced cell number and smaller cell size, effects which may be due to a defect in vesicle fusion or transport. Copine 6 contains two N-terminal C2 domains and one C-terminal VWFA (von Willebrand factor A) domain, which is also referred to as the A domain or the core domain. As is characteristic of the copine family, copine 6 functions in membrane trafficking and is capable of binding phospholipids in a calcium-dependent manner. Copine 6 may also play a role in synaptic plasticity. Function: May function in membrane trafficking. Exhibits calcium-dependent phospholipid binding properties. May have a role in synaptic plasticity. Similarity: Belongs to the copine family. Contains 2 C2 domains. Contains 1 VWFA domain. SWISS: O95741 Gene ID: 9362 Database links: Entrez Gene: 9362 Human Omim: 605688 Human SwissProt: O95741 Human Unigene: 6132 Human Important Note: This product as supplied is intended for research use only, not for use in human, therapeutic or diagnostic applications. |
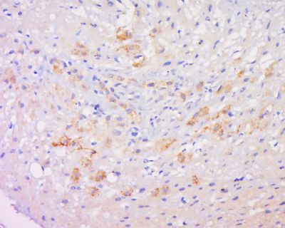
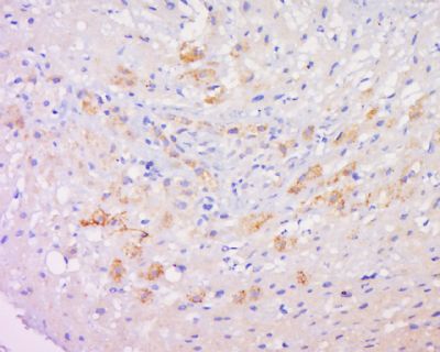
| 产品图片 | ![]() Tissue/cell: human liver carcinoma; 4% Paraformaldehyde-fixed and paraffin-embedded; Antigen retrieval: citrate buffer ( 0.01M, pH 6.0 ), Boiling bathing for 15min; Block endogenous peroxidase by 3% Hydrogen peroxide for 30min; Blocking buffer (normal goat serum,C-0005) at 37℃ for 20 min; Incubation: Anti-Copine-6 Polyclonal Antibody, Unconjugated(bs-9576R) 1:500, overnight at 4°C, followed by conjugation to the secondary antibody(SP-0023) and DAB(C-0010) staining |
风险提示:丁香通仅作为第三方平台,为商家信息发布提供平台空间。用户咨询产品时请注意保护个人信息及财产安全,合理判断,谨慎选购商品,商家和用户对交易行为负责。对于医疗器械类产品,请先查证核实企业经营资质和医疗器械产品注册证情况。
文献和实验人体器官首次达成透明化!有望实现「人造器官」的 3D 生物打印
小的胶束,有助于其快速渗透到致密的器官和组织内部。CHAPS、SDS 和 Triton X- 100 渗透能力比较研究人员进一步筛选了 11 种可与 CHAPS 兼容共存的化学成分,共同作用透明化组织。结果表明 NMDEA 和 CHAPS 联合应用可完美地清除组织内血红素 Heme。此外,作为一种温和的两性离子洗涤剂,CHAPS 具有更好的组织内生物大分子蛋白的保存能力。联合应用 CHAPS 和 NMDEA 的透明化效果随后,研究团队选择了哺乳动物猪的脑组织和胰腺组织进行了 SHANEL 技术的验证
子可渗透性。小鼠的大脑经过透明和染色,可以实现局部神经网络延伸、细胞间联系、亚细胞结构、蛋白质复合物、核酸和神经递质的完整组织成像 [1]。CLARITY 利用带电胶束的特性进行电泳,加速组织清除的速度(图 2)。利用离子的高度带电性质,将提取速度提高了几个数量级。水凝胶确保生物分子和精细结构特征(如膜局部蛋白,突触),而会引起光散射并阻止大分子渗透的膜状脂质将被主动清除,从而留下了原本组装的生物组织,适合完整地标记和成像。CLARITY 还可以实现完整的组织原位杂交:对大脑透明化后,在未切片的组织
细胞化学诊断 Merkel细胞癌的组织病理诊断较困难,虽然电镜下所见的神经内分泌颗粒对诊断颇有价值,但需事先留取标本。应用免疫细胞化学技术则可于HE切片鉴别有困难后再切片染色。低分子角蛋白如CAM 5.2 、CK 5 等及上皮膜抗原呈阳性,NSE、Synaphysin Chromogranin A等阳性表明系神经内分泌肿瘤。通常以CAM 5.2 及NSE两种抗体一起应用,阳性即可作出诊断。与其它大多数APUD肿瘤相同,S-100蛋白呈
技术资料暂无技术资料 索取技术资料











