相关产品推荐更多 >
万千商家帮你免费找货
0 人在求购买到急需产品
- 详细信息
- 技术资料
- 供应商:
上海联迈生物工程有限公司
- 库存:
大量
- 目录编号:
LM-9172R
- 克隆性:
多克隆
- 抗原来源:
Rabbit
- 保质期:
1年
- 抗体英文名:
RNF6
- 抗体名:
环指蛋白6抗体
- 宿主:
Rabbit
- 适应物种:
Human, Mouse, Rat, Chicken, Dog, Cow, Horse, Sheep,
- 免疫原:
KLH conjugated synthetic peptide derived from human RNF6:551-650/685
- 亚型:
IgG
- 形态:
Lyophilized or Liquid
- 应用范围:
WB=1:500-2000 ELISA=1:500-1000 IHC-P=1:400-800 IHC-F=1:400-800 ICC=1:100-500 IF=1:50-200 (石蜡切片需做抗原修复)
- 浓度:
1mg/ml
- 保存条件:
Store at -20 °C
- 规格:
100ul 200ul
RNF6环指蛋白6抗体
| 英文名称 | RNF6 |
| 中文名称 | 环指蛋白6抗体 |
| 别 名 | E3 ubiquitin-protein ligase RNF6; Ring finger protein (C3H2C3 type) 6; Ring finger protein 6; RING H2 protein; RING H2 protein RNF6; RNF 6; RNF6; RNF6_HUMAN; SPG2. |
| 规格价格 | 100ul/1380元 购买 200ul/2200元 购买 大包装/询价 |
| 说 明 书 | 100ul 200ul |
| 研究领域 | 细胞生物 免疫学 |
| 抗体来源 | Rabbit |
| 克隆类型 | Polyclonal |
| 交叉反应 | Human, Mouse, Rat, Chicken, Dog, Cow, Horse, Sheep, |
| 产品应用 | WB=1:500-2000 ELISA=1:500-1000 IHC-P=1:400-800 IHC-F=1:400-800 ICC=1:100-500 IF=1:50-200 (石蜡切片需做抗原修复) not yet tested in other applications. optimal dilutions/concentrations should be determined by the end user. |
| 分 子 量 | 78kDa |
| 细胞定位 | 细胞核 细胞浆 细胞膜 |
| 性 状 | Lyophilized or Liquid |
| 浓 度 | 1mg/ml |
| 免 疫 原 | KLH conjugated synthetic peptide derived from human RNF6:551-650/685 |
| 亚 型 | IgG |
| 纯化方法 | affinity purified by Protein A |
| 储 存 液 | 0.01M TBS(pH7.4) with 1% BSA, 0.03% Proclin300 and 50% Glycerol. |
| 保存条件 | Store at -20 °C for one year. Avoid repeated freeze/thaw cycles. The lyophilized antibody is stable at room temperature for at least one month and for greater than a year when kept at -20°C. When reconstituted in sterile pH 7.4 0.01M PBS or diluent of antibody the antibody is stable for at least two weeks at 2-4 °C. |
| PubMed | PubMed |
| 产品介绍 | background: The protein encoded by this gene contains a RING-H2 finger motif. Deletions and mutations in this gene were detected in esophageal squamous cell carcinoma (ESCC), suggesting that this protein may be a potential tumor suppressor. Studies of the mouse counterpart suggested a role of this protein in the transcription regulation that controls germinal differentiation. Multiple alternatively spliced transcript variants encoding the same protein are observed. [provided by RefSeq, Jul 2008]. Function: E3 ubiquitin-protein ligase mediating 'Lys-48'-linked polyubiquitination of LIMK1 and its subsequent targeting to the proteasome for degradation. Negatively regulates axonal outgrowth through regulation of the LIMK1 turnover. Mediates 'Lys-6' and 'Lys-27'-linked polyubiquitination of AR/androgen receptor thereby modulating its transcriptional activity. May also bind DNA and function as a transcriptional regulator. Subunit: Interacts with LIMK1 (By similarity). Interacts with AR. Subcellular Location: Nucleus. Cytoplasm. Cell projection, axon. Nucleus, PML body. Note=Localizes to the PML nuclear bodies in Sertoli cells. Tissue Specificity: Weakly expressed in peripheral blood, spleen, prostate, testis and ovary. According to PubMed:18368307, it is preferentially expressed in testis and ovary and hardly detected in other tissues. DISEASE: Esophageal cancer (ESCR) [MIM:133239]: A malignancy of the esophagus. The most common types are esophageal squamous cell carcinoma and adenocarcinoma. Cancer of the esophagus remains a devastating disease because it is usually not detected until it has progressed to an advanced incurable stage. Note=The disease may be caused by mutations affecting the gene represented in this entry. Similarity: Belongs to the RNF12 family. Contains 1 RING-type zinc finger. SWISS: Q9Y252 Gene ID: 6049 Database links: Entrez Gene: 6049 Human Entrez Gene: 74132 Mouse Entrez Gene: 304271 Rat Omim: 604242 Human SwissProt: Q9Y252 Human SwissProt: Q9DBU5 Mouse Unigene: 136885 Human Unigene: 26696 Mouse Unigene: 53030 Rat Important Note: This product as supplied is intended for research use only, not for use in human, therapeutic or diagnostic applications. |
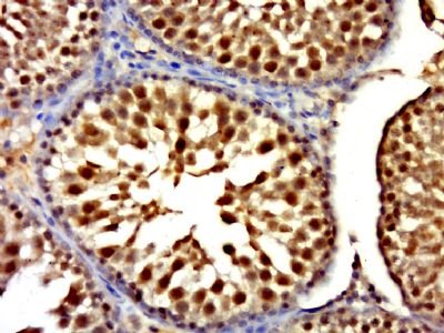
| 产品图片 | ![]() Paraformaldehyde-fixed, paraffin embedded (rat testis); Antigen retrieval by boiling in sodium citrate buffer (pH6.0) for 15min; Block endogenous peroxidase by 3% hydrogen peroxide for 20 minutes; Blocking buffer (normal goat serum) at 37°C for 30min; Antibody incubation with (RNF6) Polyclonal Antibody, Unconjugated (bs-9172R) at 1:500 overnight at 4°C, followed by a conjugated secondary (sp-0023) for 20 minutes and DAB staining. |
风险提示:丁香通仅作为第三方平台,为商家信息发布提供平台空间。用户咨询产品时请注意保护个人信息及财产安全,合理判断,谨慎选购商品,商家和用户对交易行为负责。对于医疗器械类产品,请先查证核实企业经营资质和医疗器械产品注册证情况。
技术资料暂无技术资料 索取技术资料
RNF6环指蛋白6抗体
¥1380 - 2200











