相关产品推荐更多 >
万千商家帮你免费找货
0 人在求购买到急需产品
- 详细信息
- 文献和实验
- 技术资料
- 供应商:
上海联迈生物工程有限公司
- 库存:
大量
- 目录编号:
LM-8987R
- 克隆性:
多克隆
- 抗原来源:
Rabbit
- 保质期:
1年
- 抗体英文名:
Connexin 43
- 抗体名:
间隙连接蛋白43抗体
- 宿主:
Rabbit
- 适应物种:
Human, Mouse, Rat, Chicken, Dog, Pig, Cow, Rabbit,
- 免疫原:
KLH conjugated synthetic peptide derived from human Connexin 43:2-100/382 <Extracellular>
- 亚型:
IgG
- 形态:
Lyophilized or Liquid
- 应用范围:
ELISA=1:500-1000 IHC-P=1:400-800 IHC-F=1:400-800 Flow-Cyt=1μg/Test ICC=1:100-500 IF=1:100-500 (石蜡切片需做抗原修复)
- 浓度:
1mg/ml
- 保存条件:
Store at -20 °C
- 规格:
100ul 200ul
| 英文名称 | Connexin 43 |
| 中文名称 | 间隙连接蛋白43抗体 |
| 别 名 | Connexin 43; connexin43; Connexin43v; Cx 43v; CX43; CX 43; CX-43; DFNB38; Gap junction 43 kDa heart protein;Connexin-43; Gap junction alpha 1 protein; Gap junction protein alpha 1 43kDa (connexin 43); Gap junction protein alpha 1 43kDa; Gap junction protein alpha like; GJA 1; GJA1; GJA-1; GJAL; HGNC:4282; HGNC:8112; Oculodentodigital dysplasia; ODD; ODOD; SDTY3; Syndactyly type III; CXA1_HUMAN. |
| 规格价格 | 100ul/1380元 购买 200ul/2200元 购买 大包装/询价 |
| 说 明 书 | 100ul 200ul |
| 研究领域 | 肿瘤 免疫学 转录调节因子 细胞粘附分子 |
| 抗体来源 | Rabbit |
| 克隆类型 | Polyclonal |
| 交叉反应 | Human, Mouse, Rat, Chicken, Dog, Pig, Cow, Rabbit, |
| 产品应用 | ELISA=1:500-1000 IHC-P=1:400-800 IHC-F=1:400-800 Flow-Cyt=1μg/Test ICC=1:100-500 IF=1:100-500 (石蜡切片需做抗原修复) not yet tested in other applications. optimal dilutions/concentrations should be determined by the end user. |
| 分 子 量 | 42kDa |
| 细胞定位 | 细胞浆 细胞膜 |
| 性 状 | Lyophilized or Liquid |
| 浓 度 | 1mg/ml |
| 免 疫 原 | KLH conjugated synthetic peptide derived from human Connexin 43:2-100/382 <Extracellular> |
| 亚 型 | IgG |
| 纯化方法 | affinity purified by Protein A |
| 储 存 液 | 0.01M TBS(pH7.4) with 1% BSA, 0.03% Proclin300 and 50% Glycerol. |
| 保存条件 | Store at -20 °C for one year. Avoid repeated freeze/thaw cycles. The lyophilized antibody is stable at room temperature for at least one month and for greater than a year when kept at -20°C. When reconstituted in sterile pH 7.4 0.01M PBS or diluent of antibody the antibody is stable for at least two weeks at 2-4 °C. |
| PubMed | PubMed |
| 产品介绍 | background: This gene is a member of the connexin gene family. The encoded protein is a component of gap junctions, which are composed of arrays of intercellular channels that provide a route for the diffusion of low molecular weight materials from cell to cell. The encoded protein is the major protein of gap junctions in the heart that are thought to have a crucial role in the synchronized contraction of the heart and in embryonic development. A related intronless pseudogene has been mapped to chromosome 5. Mutations in this gene have been associated with oculodentodigital dysplasia and heart malformations. [provided by RefSeq]. Function: Gap junction protein that acts as a regulator of bladder capacity. A gap junction consists of a cluster of closely packed pairs of transmembrane channels, the connexons, through which materials of low MW diffuse from one cell to a neighboring cell. May play a critical role in the physiology of hearing by participating in the recycling of potassium to the cochlear endolymph. Negative regulator of bladder functional capacity: acts by enhancing intercellular electrical and chemical transmission, thus sensitizing bladder muscles to cholinergic neural stimuli and causing them to contract. Subcellular Location: Cell membrane; Multi-pass membrane protein. Cell junction, gap junction. Tissue Specificity: Expressed in the heart and fetal cochlea. Post-translational modifications: Phosphorylated at Ser-368 by PRKCG; phosphorylation induces disassembly of gap junction plaques and inhibition of gap junction activity. Phosphorylation at Ser-325, Ser-328 and Ser-330 by CK1 modulates gap junction assembly. DISEASE: Defects in GJA1 are the cause of autosomal dominant oculodentodigital dysplasia (ODDD) [MIM:164200]; also known as oculodentoosseous dysplasia. ODDD is a highly penetrant syndrome presenting with craniofacial (ocular, nasal, dental) and limb dysmorphisms, spastic paraplegia, and neurodegeneration. Craniofacial anomalies tipically include a thin nose with hypoplastic alae nasi, small anteverted nares, prominent columnella, and microcephaly. Brittle nails and hair abnormalities of hypotrichosis and slow growth are present. Ocular defects include microphthalmia, microcornea, cataracts, glaucoma, and optic atrophy. Syndactyly type 3 and conductive deafness can occur in some cases. Cardiac abnormalities are observed in rare instances. Similarity: Belongs to the connexin family. Alpha-type (group II) subfamily. SWISS: P17302 Gene ID: 2697 Database links: Entrez Gene: 2697 Human Entrez Gene: 281193 Cow Entrez Gene: 403418 Dog Entrez Gene: 14609 Mouse Entrez Gene: 24392 Rat Omim: 121014 Human SwissProt: P18246 Cow SwissProt: Q6S9C0 Dog SwissProt: P17302 Human SwissProt: P23242 Mouse SwissProt: Q6TYA7 Rabbit SwissProt: P08050 Rat Unigene: 74471 Human Unigene: 378921 Mouse Unigene: 10346 Rat Important Note: This product as supplied is intended for research use only, not for use in human, therapeutic or diagnostic applications. |
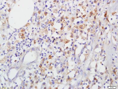
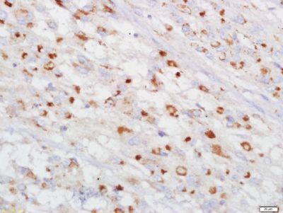
| 产品图片 | ![]() Tissue/cell: human cervix carcinoma; 4% Paraformaldehyde-fixed and paraffin-embedded; Antigen retrieval: citrate buffer ( 0.01M, pH 6.0 ), Boiling bathing for 15min; Block endogenous peroxidase by 3% Hydrogen peroxide for 30min; Blocking buffer (normal goat serum,C-0005) at 37℃ for 20 min; Incubation: Anti- Connexin 43 Polyclonal Antibody, Unconjugated(bs-8987R) 1:500, overnight at 4°C, followed by conjugation to the secondary antibody(SP-0023) and DAB(C-0010) staining ![]() Tissue/cell: human brain glioma; 4% Paraformaldehyde-fixed and paraffin-embedded; Antigen retrieval: citrate buffer ( 0.01M, pH 6.0 ), Boiling bathing for 15min; Block endogenous peroxidase by 3% Hydrogen peroxide for 30min; Blocking buffer (normal goat serum,C-0005) at 37℃ for 20 min; Incubation: Anti- Connexin 43 Polyclonal Antibody, Unconjugated(bs-8987R) 1:500, overnight at 4°C, followed by conjugation to the secondary antibody(SP-0023) and DAB(C-0010) staining ![]() Blank control(blue): HUVEC cells(fixed with 2% paraformaldehyde (10 min) ). Primary Antibody:Rabbit Anti-Connexin 43 antibody(bs-8987R), Dilution: 1μg in 100 μL 1X PBS containing 0.5% BSA; Isotype Control Antibody: Rabbit IgG(orange) ,used under the same conditions ); Secondary Antibody: Goat anti-rabbit IgG-PE(white blue), Dilution: 1:200 in 1 X PBS containing 0.5% BSA. |
风险提示:丁香通仅作为第三方平台,为商家信息发布提供平台空间。用户咨询产品时请注意保护个人信息及财产安全,合理判断,谨慎选购商品,商家和用户对交易行为负责。对于医疗器械类产品,请先查证核实企业经营资质和医疗器械产品注册证情况。
文献和实验人脑神经相关生长蛋白-43(GAP-43)ELISA试剂盒 说明书
人脑神经相关生长蛋白-43 ( GAP-43 )ELISA 试剂盒 原理 本实验采用双抗体夹心 ABC-ELISA 法。用抗人 GAP-43 单抗包被于酶标板上,标准品和样品中的 GAP-43与单抗结合,加入生物素化的抗人 GAP-43 ,形成免疫复合物连接在板上,辣根过氧化物酶标记的 Streptavidin 与生物素结合,加入底物工作液显蓝色,最后加终止液硫酸,在 450nm 处测 OD 值,GAP-43
five connexin family members have been linked to various types of skin diseases that appear to offset the balance between keratinocyte differentiation and proliferation. Consequently, in order to determine how these connexin gene mutations manifest as skin
Connexin-Based Channels in Astrocytes: How to Study Their Properties
A typical feature of astrocytes is their high level of connexin expression. These membrane proteins constitute the molecular basis of two types of channels: gap junction channels that allow direct cytoplasm-to-cytoplasm
技术资料暂无技术资料 索取技术资料













