相关产品推荐更多 >
万千商家帮你免费找货
0 人在求购买到急需产品
- 详细信息
- 询价记录
- 文献和实验
- 技术资料
- 供应商:
上海联迈生物工程有限公司
- 库存:
大量
- 目录编号:
LM-8752R
- 克隆性:
多克隆
- 抗原来源:
Rabbit
- 保质期:
1年
- 抗体英文名:
USP15
- 抗体名:
去泛素化酶15抗体
- 宿主:
Rabbit
- 适应物种:
Human, Mouse, Rat, Chicken, Dog, Pig, Cow, Horse, Rabbit, Sheep,
- 免疫原:
KLH conjugated synthetic peptide derived from human USP15:601-700/981
- 亚型:
IgG
- 形态:
Lyophilized or Liquid
- 应用范围:
ELISA=1:500-1000 IHC-P=1:400-800 IHC-F=1:400-800 ICC=1:100-500 IF=1:100-500 (石蜡切片需做抗原修复)
- 浓度:
1mg/ml
- 保存条件:
Store at -20 °C
- 规格:
100ul 200ul
| 英文名称 | USP15 |
| 中文名称 | 去泛素化酶15抗体 |
| 别 名 | Deubiquitinating enzyme 15; Deubiquitinating enzyme; EC 3 1 2 15; KIAA0529; MGC131982; MGC149838; MGC74854; Ubiquitin Carboxy terminal Hydrolase 15; Ubiquitin carboxyl-terminal hydrolase 15; Ubiquitin specific peptidase 15; Ubiquitin specific processing protease 15; Ubiquitin Specific Protease 15; Ubiquitin thioesterase 15; Ubiquitin thiolesterase 15; Ubiquitin-specific-processing protease 15; UBP 15; UBP15; UBP15_HUMAN; Unph 2; UNPH 4; Unph-2; Unph2; Unph4; USP 15. |
| 规格价格 | 100ul/1380元 购买 200ul/2200元 购买 大包装/询价 |
| 说 明 书 | 100ul 200ul |
| 研究领域 | 肿瘤 细胞生物 信号转导 表观遗传学 泛素 |
| 抗体来源 | Rabbit |
| 克隆类型 | Polyclonal |
| 交叉反应 | Human, Mouse, Rat, Chicken, Dog, Pig, Cow, Horse, Rabbit, Sheep, |
| 产品应用 | ELISA=1:500-1000 IHC-P=1:400-800 IHC-F=1:400-800 ICC=1:100-500 IF=1:100-500 (石蜡切片需做抗原修复) not yet tested in other applications. optimal dilutions/concentrations should be determined by the end user. |
| 分 子 量 | 112kDa |
| 细胞定位 | 细胞核 细胞浆 |
| 性 状 | Lyophilized or Liquid |
| 浓 度 | 1mg/ml |
| 免 疫 原 | KLH conjugated synthetic peptide derived from human USP15:601-700/981 |
| 亚 型 | IgG |
| 纯化方法 | affinity purified by Protein A |
| 储 存 液 | 0.01M TBS(pH7.4) with 1% BSA, 0.03% Proclin300 and 50% Glycerol. |
| 保存条件 | Store at -20 °C for one year. Avoid repeated freeze/thaw cycles. The lyophilized antibody is stable at room temperature for at least one month and for greater than a year when kept at -20°C. When reconstituted in sterile pH 7.4 0.01M PBS or diluent of antibody the antibody is stable for at least two weeks at 2-4 °C. |
| PubMed | PubMed |
| 产品介绍 | Function: Hydrolase that removes conjugated ubiquitin from target proteins and regulates various pathways such as the TGF-beta receptor signaling and NF-kappa-B pathways. Acts as a key regulator of TGF-beta receptor signaling pathway, but the precise mechanism is still unclear: according to a report, acts by promoting deubiquitination of monoubiquitinated R-SMADs (SMAD1, SMAD2 and/or SMAD3), thereby alleviating inhibition of R-SMADs and promoting activation of TGF-beta target genes (PubMed:21947082). According to another reports, regulates the TGF-beta receptor signaling pathway by mediating deubiquitination and stabilization of TGFBR1, leading to an enhanced TGF-beta signal (PubMed:22344298). Able to mediate deubiquitination of monoubiquitinated substrates as well as 'Lys-48'-linked polyubiquitin chains, protecting them against proteasomal degradation. May also regulate gene expression and/or DNA repair through the deubiquitination of histone H2B (PubMed:24526689). Acts as an associated component of COP9 signalosome complex (CSN) and regulates different pathways via this association: regulates NF-kappa-B by mediating deubiquitination of NFKBIA and deubiquitinates substrates bound to VCP. Protects APC and human papillomavirus type 16 protein E6 against degradation via the ubiquitin proteasome pathway. Subunit: A homodimer structure has been reported; however it is unclear whether the protein form a homodimer in vivo (PubMed:22001210). Identified in a complex with the COP9 signalosome complex (CSN). Interacts with SMAD1, SMAD2 and SMAD3; the interaction is direct. Forms a complex with SMURF2 and SMAD7. Interacts with TGFBR1. Interacts with SART3; the interaction is direct. May interact with RNF20 and RNF40. Interacts with human papillomavirus type 16 protein E6 Subcellular Location: Cytoplasm. Nucleus. Tissue Specificity: Expressed in skeletal muscle, kidney, heart, placenta, liver, thymus, lung, and ovary, with little or no expression in other tissues. Post-translational modifications: Phosphorylated. Phosphorylation protects against ubiquitination and subsequent degradation by the proteasome. Ubiquitinated, leading to degradation by the proteasome. Similarity: Belongs to the peptidase C19 family. Contains 1 DUSP domain. SWISS: Q9Y4E8 Gene ID: 9958 Database links: Entrez Gene: 395644 Chicken Entrez Gene: 538284 Cow Entrez Gene: 100055857 Horse Entrez Gene: 9958 Human Entrez Gene: 14479 Mouse Entrez Gene: 100356438 Rabbit Entrez Gene: 171329 Rat Entrez Gene: 100542201 Turkey Omim: 604731 Human SwissProt: Q9Y4E8 Human SwissProt: Q8R5H1 Mouse Unigene: 434951 Human Unigene: 244209 Mouse Unigene: 470032 Mouse Important Note: This product as supplied is intended for research use only, not for use in human, therapeutic or diagnostic applications. |
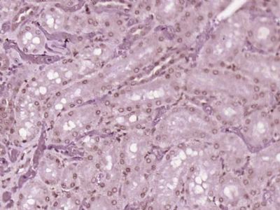
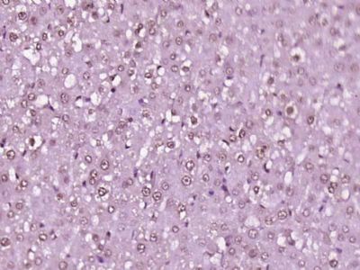
| 产品图片 | ![]() Paraformaldehyde-fixed, paraffin embedded (Rat kidney); Antigen retrieval by boiling in sodium citrate buffer (pH6.0) for 15min; Block endogenous peroxidase by 3% hydrogen peroxide for 20 minutes; Blocking buffer (normal goat serum) at 37°C for 30min; Antibody incubation with (USP15) Polyclonal Antibody, Unconjugated (bs-8752R) at 1:400 overnight at 4°C, followed by operating according to SP Kit(Rabbit) (sp-0023) instructionsand DAB staining. ![]() Paraformaldehyde-fixed, paraffin embedded (Rat liver); Antigen retrieval by boiling in sodium citrate buffer (pH6.0) for 15min; Block endogenous peroxidase by 3% hydrogen peroxide for 20 minutes; Blocking buffer (normal goat serum) at 37°C for 30min; Antibody incubation with (USP15) Polyclonal Antibody, Unconjugated (bs-8752R) at 1:400 overnight at 4°C, followed by operating according to SP Kit(Rabbit) (sp-0023) instructionsand DAB staining. |
风险提示:丁香通仅作为第三方平台,为商家信息发布提供平台空间。用户咨询产品时请注意保护个人信息及财产安全,合理判断,谨慎选购商品,商家和用户对交易行为负责。对于医疗器械类产品,请先查证核实企业经营资质和医疗器械产品注册证情况。
- 作者
- 内容
- 询问日期
文献和实验三句话读懂一篇 CNS:汉堡薯条甜饮料,如何引发糖尿病?生病时发烧、没胃口的背后原因找到了
。 该研究报道了建立了基于纳米抗体的天然膜蛋白复合体表达与活性检测新方法,并发现代谢型谷氨酸受体(mGlu)异源二聚体在脑组织中高比例表达,提示了以 mGlu2-4 异源二聚体作为药物靶点的药物开发新策略! 图 8:来源 Nature Chemical Biology 9. 细胞代谢:糖脂信号激活去泛素化酶调控细胞能量稳态 肥胖和糖尿病极大地危害人体健康,其发病机理不明。 2022 年 6 月 7 日,北京大学基础医学院尹玉新教授团队和山东第一医科大学宋勇峰教授团队合作在 Cell
9.5 Nature 子刊:内质网定位的 Hrd1 协同细胞膜 TLR4 受体促进炎症反应机制
1 通过招募去泛素化酶 Usp15,特异性促进细菌感染中 TLR4 诱导的炎症反应,成为 LPS 或者盲肠穿刺诱导败血症休克的重要新靶点。原文检索:ER-localized Hrd1 ubiquitinates and inactivates Usp15 to promote TLR4 -induced inflammation during bacterial infection ② Nature 揭示 Wnt 和 TGFβ信号协同调控与个体大小相关的生物行为多细胞动物中生长和模式
9.2 北京基因组所 Autophagy 揭示去泛素化酶 USP33 调控线粒体自噬新机制!
① 北京基因组所 Autophagy 揭示去泛素化酶 USP33 调控线粒体自噬新机制PINK1 -Parkin 介导的线粒体自噬在线粒体质量控制过程中发挥着关键作用,其调控异常与人类神经退行性疾病发生相关。已有研究表明 Parkin 蛋白泛素化和去泛素化修饰参与线粒体自噬调控过程,但 Parkin 蛋白的去泛素化酶及其调控线粒体自噬的分子机制尚不清楚。中国科学院北京基因组研究所赵永良研究组首次证明去泛素化酶 USP33 定位于线粒体外膜,利用质谱分析和免疫共沉淀技术发现与 E3 泛素连接
技术资料暂无技术资料 索取技术资料












