相关产品推荐更多 >
万千商家帮你免费找货
0 人在求购买到急需产品
- 详细信息
- 询价记录
- 文献和实验
- 技术资料
- 供应商:
上海联迈生物工程有限公司
- 库存:
大量
- 目录编号:
LM-0481R
- 克隆性:
多克隆
- 抗原来源:
Rabbit
- 保质期:
1年
- 抗体英文名:
IFN gamma
- 抗体名:
干扰素-γ/IFN-γ抗体
- 宿主:
Rabbit
- 适应物种:
Human,
- 免疫原:
KLH conjugated synthetic peptide derived from human IFN Gamma:81-166/166
- 亚型:
IgG
- 形态:
Lyophilized or Liquid
- 应用范围:
WB=1:500-2000 ELISA=1:500-1000 IHC-P=1:400-800 IHC-F=1:400-800 IF=1:100-500 (石蜡切片需做抗原修复)
- 浓度:
1mg/ml
- 保存条件:
Store at -20 °C
- 规格:
50ul 100ul 200ul
| 英文名称 | IFN gamma |
| 中文名称 | 干扰素-γ/IFN-γ抗体 |
| 别 名 | IFNG; IFG; IFI; IFN Gamma; IFN Immune; IFN-gamma; IFNG; IFNG_HUMAN; Immune Interferon; Interferon gamma; Interferon Gamma Precursor; Macrophage Activating Factor; MAF; T Cell Interferon; Type II Interferon. |
![]() |
Specific References (4) | bs-0481R has been referenced in 4 publications.
[IF=2.00] Wang, Lu, et al. "Deficiency of Interferon-Gamma or Its Receptor Promotes Colorectal Cancer Development." Journal of Interferon & Cytokine Research35.4 (2015): 273-280. WB ; Mouse.
PubMed:25383957
[IF=1.64] Guo, Jie, Jiang Qian, and Rui Zhang. "Histopathology and immunohistochemical profile in idiopathic dacryoadenitis." Current Eye Research 37.5 (2012): 365-371. IHC-P ; Human.
PubMed:22510006
[IF=2.13] Wang, Lu, et al. "Deficiency of interferon-gamma or its receptor promotes colorectal cancer development." Journal of Interferon & Cytokine Research 35.4 (2015): 273-280. WB ; Mouse.
PubMed:25383957
[IF=5.52] Nimmagadda, Vamshi K., et al. "Overexpression of SIRT1 Protein in Neurons Protects against Experimental Autoimmune Encephalomyelitis through Activation of Multiple SIRT1 Targets." The Journal of Immunology (2013). Mouse.
PubMed:23547115
|
| 规格价格 | 50ul/780元 购买 100ul/1380元 购买 200ul/2200元 购买 大包装/询价 |
| 说 明 书 | 50ul 100ul 200ul |
| 研究领域 | 肿瘤 免疫学 信号转导 干扰素 |
| 抗体来源 | Rabbit |
| 克隆类型 | Polyclonal |
| 交叉反应 | Human, |
| 产品应用 | WB=1:500-2000 ELISA=1:500-1000 IHC-P=1:400-800 IHC-F=1:400-800 IF=1:100-500 (石蜡切片需做抗原修复) not yet tested in other applications. optimal dilutions/concentrations should be determined by the end user. |
| 分 子 量 | 15kDa |
| 细胞定位 | 分泌型蛋白 |
| 性 状 | Lyophilized or Liquid |
| 浓 度 | 1mg/ml |
| 免 疫 原 | KLH conjugated synthetic peptide derived from human IFN Gamma:81-166/166 |
| 亚 型 | IgG |
| 纯化方法 | affinity purified by Protein A |
| 储 存 液 | 0.01M TBS(pH7.4) with 1% BSA, 0.03% Proclin300 and 50% Glycerol. |
| 保存条件 | Store at -20 °C for one year. Avoid repeated freeze/thaw cycles. The lyophilized antibody is stable at room temperature for at least one month and for greater than a year when kept at -20°C. When reconstituted in sterile pH 7.4 0.01M PBS or diluent of antibody the antibody is stable for at least two weeks at 2-4 °C. |
| PubMed | PubMed |
| 产品介绍 | background: Mammalian Interferon gamma is mainly produced by T lymphocytes and NK cells. It is a pleiotropic cytokine involved in the regulation of nearly all phases of immune and inflammatory responses,including the activation, growth and differentiation of T cell, B cells, macrophages, NK cells and other cell types such as endothelial cells and fibroblasts. It has weak antiviral and antiproliferative activity, and poteniates the antiviral and anti tumor effects of IFN alpha / beta (type I interferon). It is upregulated by IL2, FGF basic, EGF and downregulated by vitamin D3 or DMN. Labile at pH 2. Function: Produced by lymphocytes activated by specific antigens or mitogens. IFN-gamma, in addition to having antiviral activity, has important immunoregulatory functions. It is a potent activator of macrophages, it has antiproliferative effects on transformed cells and it can potentiate the antiviral and antitumor effects of the type I interferons. Subunit: Homodimer. Subcellular Location: Secreted. Tissue Specificity: Released primarily from activated T lymphocytes. Post-translational modifications: Proteolytic processing produces C-terminal heterogeneity, with proteins ending alternatively at Gly-150, Met-157 or Gly-161. DISEASE: In Caucasians, genetic variation in IFNG is associated with the risk of aplastic anemia (AA) [MIM:609135]. AA is a rare disease in which the reduction of the circulating blood cells results from damage to the stem cell pool in bone marrow. In most patients, the stem cell lesion is caused by an autoimmune attack. T-lymphocytes, activated by an endogenous or exogenous, and most often unknown antigenic stimulus, secrete cytokines, including IFN-gamma, which would in turn be able to suppress hematopoiesis. Similarity: Belongs to the type II (or gamma) interferon family. SWISS: P01579 Gene ID: 3458 Database links: Entrez Gene: 3458 Human Entrez Gene: 15978 Mouse Entrez Gene: 360697 Rat Omim: 147570 Human SwissProt: P01579 Human SwissProt: P01580 Mouse Unigene: 856 Human Unigene: 240327 Mouse Important Note: This product as supplied is intended for research use only, not for use in human, therapeutic or diagnostic applications. |
| 产品图片 |
Sample:
HL-60 Cell (Human) Lysate at 40 ug Primary: Anti- IFN gamma (bs-0481R) at 1/300 dilution Secondary: IRDye800CW Goat Anti-Rabbit IgG at 1/20000 dilution Predicted band size: 15 kD Observed band size: 16 kD
Sample:
Molt-4 Cell (Human) Lysate at 40 ug Primary: Anti- IFN gamma (bs-0481R) at 1/300 dilution Secondary: IRDye800CW Goat Anti-Rabbit IgG at 1/20000 dilution Predicted band size: 15 kD Observed band size: 16 kD
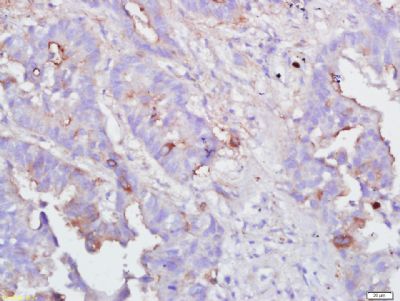
Tissue/cell: human lung carcinoma; 4% Paraformaldehyde-fixed and paraffin-embedded;
Antigen retrieval: citrate buffer ( 0.01M, pH 6.0 ), Boiling bathing for 15min; Block endogenous peroxidase by 3% Hydrogen peroxide for 30min; Blocking buffer (normal goat serum,C-0005) at 37℃ for 20 min; Incubation: Anti-IFN gamma Polyclonal Antibody, Unconjugated(bs-0481R) 1:500, overnight at 4°C, followed by conjugation to the secondary antibody(SP-0023) and DAB(C-0010) staining |
风险提示:丁香通仅作为第三方平台,为商家信息发布提供平台空间。用户咨询产品时请注意保护个人信息及财产安全,合理判断,谨慎选购商品,商家和用户对交易行为负责。对于医疗器械类产品,请先查证核实企业经营资质和医疗器械产品注册证情况。
- 作者
- 内容
- 询问日期
文献和实验相关专题 IFN-α逆转白血病细胞耐药性的实验研究 第三军医大学学报1999年第21卷第3期 张勇 张翼军 夏顺中 周成康 提 要 目的 :了解干扰素-α(IFN-α)逆转白血病细胞多药耐药性(MDR)的作用和可能机制。方法 :采用链亲和素-胶体金原位杂交 (SAG-ISH)检测了IFN-α孵育前后的52例白血病患者骨髓细胞的多药耐药基因(MDR1)表达,用荧光分光光度法测定了IFN
干扰素 (IFN) 最初因发现病毒感染的细胞能产生一种物质可干扰另一种病毒的感染和复制,而将该物质命 名为干扰素。根据来源和结构,干扰素分为IFN-α、IFN-β、IFN-ω和IFN-γ,它们分别主要由白细胞、成纤维细胞和活化T细胞所产生。各种不同的IFN生物学活性基本相同,具有抗病毒、抗肿瘤和和免疫调节等作用。 人干扰素基因和蛋白的命名 α、β干扰素称为工型干扰素,是血清学上完全不同的两组蛋白。IFN
移位到胞核,如干扰素刺激的基因因子2(interferon-stimulated gene fac-tor 2,ISGF2)和γ-干扰素激活因子(gamma-interferon activation factor,GAF或STAT91)结合到IFN基因启动子中两个称之为γ干扰素活化点(gamma-interferon activation site,GAS)和干扰素刺激的反应元件(interferon-stimulated response element,ISRE)的位置上。IFN-γ可促进
技术资料暂无技术资料 索取技术资料













