相关产品推荐更多 >
万千商家帮你免费找货
0 人在求购买到急需产品
- 详细信息
- 技术资料
- 供应商:
上海抚生
- 库存:
大量
- 靶点:
RB1CC1
- 克隆性:
多克隆
- 抗原来源:
Rabbit
- 抗体英文名:
Anti-RB1CC1
- 抗体名:
RB1的诱导卷曲蛋白RB1CC1抗体
- 标记物:
HRP,AKP
- 宿主:
人,鼠,猴,鸡,狗,猪等
- 适应物种:
Human, Mouse, Rat, Chicken, Dog, Pig, Cow, Horse, Rabbit, Sheep
- 免疫原:
KLH conjugated synthetic peptide derived from human RB1CC1
- 亚型:
IgG
- 形态:
冻干或液体
- 应用范围:
WB,ELISA,ICC,IP等
- 浓度:
1mg/1ml
- 保存条件:
-20℃
- 规格:
0.2ml/200μg
RB1的诱导卷曲蛋白RB1CC1抗体产品描述:
英文名称 Anti-RB1CC1
中文名称 RB1的诱导卷曲蛋白RB1CC1抗体
别 名 CC1; CG1347; CG1347-PA isoform A; CG1347-PB isoform B; DRAGOU14; KIAA0203; RB1 inducible coiled coil 1; RB1-inducible coiled-coil protein 1; RB1CC1; RBCC1_HUMAN; FAK family kinase-interacting protein of 200 kDa; FIP200.
浓 度 1mg/1ml
规 格 0.2ml/200μg
抗体来源 Rabbit
克隆类型 polyclonal
交叉反应 Human, Mouse, Rat, Chicken, Dog, Pig, Cow, Horse, Rabbit, Sheep
产品类型 一抗
研究领域 肿瘤 细胞生物 表观遗传学
蛋白分子量 predicted molecular weight:183kDa
性 状 Lyophilized or Liquid
免 疫 原 KLH conjugated synthetic peptide derived from human RB1CC1
亚 型 IgG
纯化方法 affinity purified by Protein A
储 存 液 Preservative: 15mM Sodium Azide, Constituents: 1% BSA, 0.01M PBS, pH 7.4
产品应用 WB=1:100-500 ELISA=1:500-1000 IP=1:20-100 IHC-P=1:100-500 IHC-F=1:100-500 IF=1:100-500
RB1的诱导卷曲蛋白RB1CC1抗体订购:
荧光偶联质量的检测:
1.用标准免疫荧光染色试验以测定偶联率
2.用F/P值测定对其FITC标记质量进行鉴定
3.取结合物液0.2ml,加PBS2.8ml(或两者均改用半量),测定其A490/A280,查FITC标志曲线得其浓度ug/ml值,按IgG的消光系数(mg/ml约A2801.2),可计算其F/P值,即每mg抗体所标记的FITC的比值,可以此鉴定及比较各批标记物的质量。
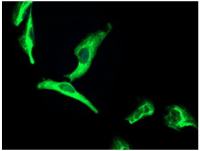
RB1的诱导卷曲蛋白RB1CC1抗体实验操作示意图:
公司还提供:
特价促销MYL3/Myosin light chain 3 肌球蛋白轻链3抗体规格 0.2ml
特价促销MYH9 肌球蛋白重链9抗体规格 0.2ml
特价促销MYH7 肌球蛋白重链7抗体规格 0.2ml
特价促销Myf6 生肌调节因子6抗体规格 0.2ml
特价促销MYF5 生肌决定因子Myf5抗体规格 0.1ml
特价促销Myelin Protein Zero 外周髓磷脂P0蛋白/P0蛋白抗体规格 0.1ml
特价促销Myelin PLP 髓磷酯髓鞘蛋白1抗体规格 0.2ml
RB1的诱导卷曲蛋白RB1CC1抗体体液脯氨酸(proline)含量比色法定量检测检测试剂盒 20次 现货供应
体液牛病毒性腹泻病毒I型(Bovine Viral Diarrhoea Virus -1;BVDV-1)定性基因检测检测试剂盒 20次 现货供应
体液牛病毒性腹泻病毒I型(Bovine Viral Diarrhoea Virus -1;BVDV-1)定量PCR扩增检测检测试剂盒 20次 现货供应
体液牛病毒性腹泻病毒II型(Bovine Viral Diarrhoea Virus -2;BVDV-2)定性基因检测检测试剂盒 20次 现货供应
体液牛病毒性腹泻病毒II型(Bovine Viral Diarrhoea Virus -2;BVDV-2)定量PCR扩增检测检测试剂盒 20次 现货供应
体液牛病毒性腹泻病毒(Bovine Viral Diarrhoea Virus;BVDV)定性基因检测检测试剂盒 20次 现货供应
体液牛病毒性腹泻病毒(Bovine Viral Diarrhoea Virus;BVDV)定量PCR扩增检测检测试剂盒 20次 现货供应
体液尿酸含量直接(TPTZ)比色法定量检测检测试剂盒50次 现货供应
英文名称 Anti-RB1CC1
中文名称 RB1的诱导卷曲蛋白RB1CC1抗体
别 名 CC1; CG1347; CG1347-PA isoform A; CG1347-PB isoform B; DRAGOU14; KIAA0203; RB1 inducible coiled coil 1; RB1-inducible coiled-coil protein 1; RB1CC1; RBCC1_HUMAN; FAK family kinase-interacting protein of 200 kDa; FIP200.
浓 度 1mg/1ml
规 格 0.2ml/200μg
抗体来源 Rabbit
克隆类型 polyclonal
交叉反应 Human, Mouse, Rat, Chicken, Dog, Pig, Cow, Horse, Rabbit, Sheep
产品类型 一抗
研究领域 肿瘤 细胞生物 表观遗传学
蛋白分子量 predicted molecular weight:183kDa
性 状 Lyophilized or Liquid
免 疫 原 KLH conjugated synthetic peptide derived from human RB1CC1
亚 型 IgG
纯化方法 affinity purified by Protein A
储 存 液 Preservative: 15mM Sodium Azide, Constituents: 1% BSA, 0.01M PBS, pH 7.4
产品应用 WB=1:100-500 ELISA=1:500-1000 IP=1:20-100 IHC-P=1:100-500 IHC-F=1:100-500 IF=1:100-500
RB1的诱导卷曲蛋白RB1CC1抗体订购:
| ※我司为主营生物试剂产品的公司,欢迎广大客户光临我司商铺,更多相关产品可进入展台浏览,展台展示有限,客户可以直接说明您的订购需求,可以直接联系我们; ※与我司取得联系后,尽管咨询相关问题,达成共识后边签订订购合同,我司销售部开始进行送货事宜; ※客户收到货后,请先检查外部包装情况,然后在无菌环境下,显微镜观察菌种情况,如有疑似问题可联系我司,经我司确认后再进行退换货的相关事宜。 |
荧光偶联质量的检测:
1.用标准免疫荧光染色试验以测定偶联率
2.用F/P值测定对其FITC标记质量进行鉴定
3.取结合物液0.2ml,加PBS2.8ml(或两者均改用半量),测定其A490/A280,查FITC标志曲线得其浓度ug/ml值,按IgG的消光系数(mg/ml约A2801.2),可计算其F/P值,即每mg抗体所标记的FITC的比值,可以此鉴定及比较各批标记物的质量。
RB1的诱导卷曲蛋白RB1CC1抗体实验操作示意图:
公司还提供:
特价促销MYL3/Myosin light chain 3 肌球蛋白轻链3抗体规格 0.2ml
特价促销MYH9 肌球蛋白重链9抗体规格 0.2ml
特价促销MYH7 肌球蛋白重链7抗体规格 0.2ml
特价促销Myf6 生肌调节因子6抗体规格 0.2ml
特价促销MYF5 生肌决定因子Myf5抗体规格 0.1ml
特价促销Myelin Protein Zero 外周髓磷脂P0蛋白/P0蛋白抗体规格 0.1ml
特价促销Myelin PLP 髓磷酯髓鞘蛋白1抗体规格 0.2ml
RB1的诱导卷曲蛋白RB1CC1抗体体液脯氨酸(proline)含量比色法定量检测检测试剂盒 20次 现货供应
体液牛病毒性腹泻病毒I型(Bovine Viral Diarrhoea Virus -1;BVDV-1)定性基因检测检测试剂盒 20次 现货供应
体液牛病毒性腹泻病毒I型(Bovine Viral Diarrhoea Virus -1;BVDV-1)定量PCR扩增检测检测试剂盒 20次 现货供应
体液牛病毒性腹泻病毒II型(Bovine Viral Diarrhoea Virus -2;BVDV-2)定性基因检测检测试剂盒 20次 现货供应
体液牛病毒性腹泻病毒II型(Bovine Viral Diarrhoea Virus -2;BVDV-2)定量PCR扩增检测检测试剂盒 20次 现货供应
体液牛病毒性腹泻病毒(Bovine Viral Diarrhoea Virus;BVDV)定性基因检测检测试剂盒 20次 现货供应
体液牛病毒性腹泻病毒(Bovine Viral Diarrhoea Virus;BVDV)定量PCR扩增检测检测试剂盒 20次 现货供应
体液尿酸含量直接(TPTZ)比色法定量检测检测试剂盒50次 现货供应
风险提示:丁香通仅作为第三方平台,为商家信息发布提供平台空间。用户咨询产品时请注意保护个人信息及财产安全,合理判断,谨慎选购商品,商家和用户对交易行为负责。对于医疗器械类产品,请先查证核实企业经营资质和医疗器械产品注册证情况。
技术资料暂无技术资料 索取技术资料
RB1的诱导卷曲蛋白RB1CC1抗体
询价










