相关产品推荐更多 >
万千商家帮你免费找货
0 人在求购买到急需产品
- 详细信息
- 文献和实验
- 技术资料
- 供应商:
上海联迈生物工程有限公司
- 库存:
大量
- 目录编号:
LM-8139R
- 克隆性:
多克隆
- 抗原来源:
Rabbit
- 保质期:
1年
- 抗体英文名:
CCDC83
- 抗体名:
卷曲螺旋结构域蛋白83抗体
- 宿主:
Rabbit
- 适应物种:
Human, Mouse, Rat, Dog, Pig, Cow, Horse, Rabbit, Sheep,
- 免疫原:
KLH conjugated synthetic peptide derived from human CCDC83:101-200/413
- 亚型:
IgG
- 形态:
Lyophilized or Liquid
- 应用范围:
WB=1:500-2000 ELISA=1:500-1000 IHC-P=1:400-800 IHC-F=1:400-800 IF=1:100-500 (石蜡切片需做抗原修复)
- 浓度:
1mg/ml
- 保存条件:
Store at -20 °C
- 规格:
100ul 200ul
| 英文名称 | CCDC83 |
| 中文名称 | 卷曲螺旋结构域蛋白83抗体 |
| 别 名 | Coiled coil domain containing 83; Coiled coil domain containing protein 83; HSD9; QtsA 10152; QtsA 19320; CCD83_HUMAN. |
| 规格价格 | 100ul/1380元 购买 200ul/2200元 购买 大包装/询价 |
| 说 明 书 | 100ul 200ul |
| 研究领域 | 细胞生物 免疫学 |
| 抗体来源 | Rabbit |
| 克隆类型 | Polyclonal |
| 交叉反应 | Human, Mouse, Rat, Dog, Pig, Cow, Horse, Rabbit, Sheep, |
| 产品应用 | WB=1:500-2000 ELISA=1:500-1000 IHC-P=1:400-800 IHC-F=1:400-800 IF=1:100-500 (石蜡切片需做抗原修复) not yet tested in other applications. optimal dilutions/concentrations should be determined by the end user. |
| 分 子 量 | 49kDa |
| 细胞定位 | 细胞核 细胞浆 |
| 性 状 | Lyophilized or Liquid |
| 浓 度 | 1mg/ml |
| 免 疫 原 | KLH conjugated synthetic peptide derived from human CCDC83:101-200/413 |
| 亚 型 | IgG |
| 纯化方法 | affinity purified by Protein A |
| 储 存 液 | 0.01M TBS(pH7.4) with 1% BSA, 0.03% Proclin300 and 50% Glycerol. |
| 保存条件 | Store at -20 °C for one year. Avoid repeated freeze/thaw cycles. The lyophilized antibody is stable at room temperature for at least one month and for greater than a year when kept at -20°C. When reconstituted in sterile pH 7.4 0.01M PBS or diluent of antibody the antibody is stable for at least two weeks at 2-4 °C. |
| PubMed | PubMed |
| 产品介绍 | background: The coiled-coil domain is a structural motif found in proteins that are involved in a diverse array of biological functions such as the regulation of gene expression, cell division, membrane fusion, and drug extrusion and delivery. CCDC83 (coiled-coil domain-containing protein 83), also known as HSD9, is 413 amino acid protein that exists as three alternatively spliced isoforms. The gene encoding CCDC83 maps to human chromosome 11, which houses over 1,400 genes and comprises nearly 4% of the human genome. Jervell and Lange-Nielsen syndrome, Jacobsen syndrome, Niemann-Pick disease, hereditary angioedema and Smith-Lemli-Opitz syndrome are associated with defects in genes that maps to chromosome 11. SWISS: Q8IWF9 Gene ID: 220047 Database links: Entrez Gene: 220047 Human Entrez Gene: 617342 Cow SwissProt: Q2TA00 Cow SwissProt: Q8IWF9 Human Unigene: 567774 Human Important Note: This product as supplied is intended for research use only, not for use in human, therapeutic or diagnostic applications. |
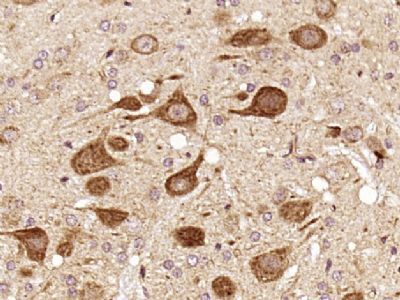
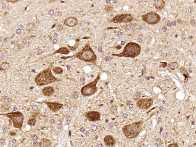
| 产品图片 | ![]() Sample:293T Cell(Human) Lysate at 40 ug Primary: Anti-CCDC83(bs-8139R)at 1/300 dilution Secondary: IRDye800CW Goat Anti-Rabbit IgG at 1/20000 dilution Predicted band size: 49 kD Observed band size: 46kD ![]() Paraformaldehyde-fixed, paraffin embedded (Rat brain); Antigen retrieval by boiling in sodium citrate buffer (pH6.0) for 15min; Block endogenous peroxidase by 3% hydrogen peroxide for 20 minutes; Blocking buffer (normal goat serum) at 37°C for 30min; Antibody incubation with (CCDC83) Polyclonal Antibody, Unconjugated (bs-8139R) at 1:400 overnight at 4°C, followed by operating according to SP Kit(Rabbit) (sp-0023) instructionsand DAB staining. |
风险提示:丁香通仅作为第三方平台,为商家信息发布提供平台空间。用户咨询产品时请注意保护个人信息及财产安全,合理判断,谨慎选购商品,商家和用户对交易行为负责。对于医疗器械类产品,请先查证核实企业经营资质和医疗器械产品注册证情况。
文献和实验结构部分由 E1 和 E2 两个亚结构域组成,胞质内区域称为 E3 结构域 [2]。 图片来源于:Coburger I et al.Analysis of the overall structure of the multi-domain amyloid precursor protein (APP) Aβ是由 APP 编码的蛋白经一系列水解酶酶切产生(学霸自行跳过文字,看图脑补即可)。APP 在跨膜分泌过程中共有 2 条水解途径,即不产生 AD 的非淀粉
单链抗体可变区基因片段五聚体作用于凋亡诱导配体受体-2来增强其对癌症的治疗作用
单链抗体可变区基因片段(scFvs) 已被看做是一类有前景的药物。然而,它们的低亲和力和快速的血浆清除率限制了其广泛的临床应用。在本研究中,我们旨在通过多聚scFv提高scFv的抗体表达,再通过与人软骨寡聚基质蛋白(COMP)48的螺旋结构域结合以抵抗死亡受体5(DR5,肿瘤坏死因子10B)。通过合成一种五聚体,我们称其为共同体,在体外和体内实验中,scFv的活性增加了10倍,并且共同体比它的单体配对物在抗肿瘤活性方面更有效。标准的抗体类药物正被成功地用于临床治疗癌症。然而,由于标准抗体的低产
。 ■ 蚯蚓血红蛋白(Karlsen 2005)——酶切后,用分子筛分离纯化蚯蚓血红蛋白,纯化后的蛋白通过圆二色谱检测得到的α-螺旋结构与模型预期结果一致,且纯化后的蛋白可以以单体的形式稳定保存。 ■ 人白介素-29(Li 2006)——用S-蛋白亲和层析比Ni2+亲和层析可以得到更纯的目的蛋白。将融合蛋白N端的NusA/His•Tag®/S•Tag™标签切掉后,用链亲和素琼脂去除生物素标记的凝血酶。用水疱性口膜炎病毒(VSV)处理固定的人羊膜上皮细胞(WISH 细胞)后,通过检测纯化
技术资料暂无技术资料 索取技术资料












