相关产品推荐更多 >
万千商家帮你免费找货
0 人在求购买到急需产品
- 详细信息
- 文献和实验
- 技术资料
- 供应商:
上海联迈生物工程有限公司
- 库存:
大量
- 目录编号:
LM-8098R
- 克隆性:
多克隆
- 抗原来源:
Rabbit
- 保质期:
1年
- 抗体英文名:
CCDC34
- 抗体名:
卷曲螺旋结构域蛋白34抗体
- 宿主:
Rabbit
- 适应物种:
Human, Mouse, Rat, Pig, Sheep,
- 免疫原:
KLH conjugated synthetic peptide derived from human CCDC34:177-280/373
- 亚型:
IgG
- 形态:
Lyophilized or Liquid
- 应用范围:
ELISA=1:500-1000 IHC-P=1:400-800 IHC-F=1:400-800 IF=1:100-500 (石蜡切片需做抗原修复)
- 浓度:
1mg/ml
- 保存条件:
Store at -20 °C
- 规格:
100ul 200ul
| 英文名称 | CCDC34 |
| 中文名称 | 卷曲螺旋结构域蛋白34抗体 |
| 别 名 | Ccdc34; Coiled coil domain containing protein 34; L15; RAMA3; Renal carcinoma antigen NY REN 41; CCD34_HUMAN. |
| 规格价格 | 100ul/1380元 购买 200ul/2200元 购买 大包装/询价 |
| 说 明 书 | 100ul 200ul |
| 研究领域 | 细胞生物 免疫学 信号转导 表观遗传学 |
| 抗体来源 | Rabbit |
| 克隆类型 | Polyclonal |
| 交叉反应 | Human, Mouse, Rat, Pig, Sheep, |
| 产品应用 | ELISA=1:500-1000 IHC-P=1:400-800 IHC-F=1:400-800 IF=1:100-500 (石蜡切片需做抗原修复) not yet tested in other applications. optimal dilutions/concentrations should be determined by the end user. |
| 分 子 量 | 43kDa |
| 细胞定位 | 细胞核 细胞浆 |
| 性 状 | Lyophilized or Liquid |
| 浓 度 | 1mg/ml |
| 免 疫 原 | KLH conjugated synthetic peptide derived from human CCDC34:177-280/373 |
| 亚 型 | IgG |
| 纯化方法 | affinity purified by Protein A |
| 储 存 液 | 0.01M TBS(pH7.4) with 1% BSA, 0.03% Proclin300 and 50% Glycerol. |
| 保存条件 | Store at -20 °C for one year. Avoid repeated freeze/thaw cycles. The lyophilized antibody is stable at room temperature for at least one month and for greater than a year when kept at -20°C. When reconstituted in sterile pH 7.4 0.01M PBS or diluent of antibody the antibody is stable for at least two weeks at 2-4 °C. |
| PubMed | PubMed |
| 产品介绍 | background: The coiled-coil domain is a structural motif found in proteins that are involved in a diverse array of biological functions such as the regulation of gene expression, cell division, membrane fusion and drug extrusion and delivery. CCDC34 (coiled-coil domain containing 34), also known as Renal carcinoma antigen NY-REN-41, is a 373 amino acid protein that is expressed in testis, breast, lung, placenta, liver and small intestine. A translocation between the short arms of chromosomes 11 and 18 affecting the CCDC34 gene has been identified in a patient with hamartoma of the retinal pigment epithelium. There are two isoforms of CCDC34 that are produced as a result of alternative splicing events. DISEASE: Note=A chromosomal aberration involving CCDC34 is found in a patient with hamartoma of the retinal pigment epithelium and retina. Translocation t(11;18) (p13;p11.2). SWISS: Q96HJ3 Gene ID: 91057 Database links: Entrez Gene: 91057 Human Omim: 612324 Human SwissProt: Q96HJ3 Human Unigene: 143733 Human Important Note: This product as supplied is intended for research use only, not for use in human, therapeutic or diagnostic applications. |
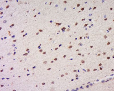
| 产品图片 | ![]() Tissue/cell: Rat brain tissue; 4% Paraformaldehyde-fixed and paraffin-embedded; Antigen retrieval: citrate buffer ( 0.01M, pH 6.0 ), Boiling bathing for 15min; Block endogenous peroxidase by 3% Hydrogen peroxide for 30min; Blocking buffer (normal goat serum,C-0005) at 37℃ for 20 min; Incubation: Anti-CCDC34 Polyclonal Antibody, Unconjugated(bs-8098R) 1:500, overnight at 4°C, followed by conjugation to the secondary antibody(SP-0023) and DAB(C-0010) staining |
风险提示:丁香通仅作为第三方平台,为商家信息发布提供平台空间。用户咨询产品时请注意保护个人信息及财产安全,合理判断,谨慎选购商品,商家和用户对交易行为负责。对于医疗器械类产品,请先查证核实企业经营资质和医疗器械产品注册证情况。
文献和实验222-226个氨基酸残基,且彼此同源。每条肽链由含半胱氨酸残基的一个短的N末端区所组成,接着为一段81个氨基酸的胶原序列(即重复的三股序列Gly-X-Y,Y处通常为羟脯氨酸或赖氨酸残基)。该序列的其余部分为非胶原性的。A、B链间及两条C链间各有一个二硫键相连接。18条肽链中每三条不同的肽链组成一条三股螺旋,故共有6条这样的结构。每条螺旋的肽链均由丝状胶原样成分组成。在6条螺旋结构C端由于氨基酸序列的随机卷曲而形成6个花蕾状的球形头部,呈花朵形展开。在近N端约为1/2全长的螺旋结构呈束状并平行排列
222-226个氨基酸残基,且彼此同源。每条肽链由含半胱氨酸残基的一个短的N末端区所组成,接着为一段81个氨基酸的胶原序列(即重复的三股序列Gly-X-Y,Y处通常为羟脯氨酸或赖氨酸残基)。该序列的其余部分为非胶原性的。A.B链间及两条C链间各有一个二硫键相连接。18条肽链中每三条不同的肽链组成一条三股螺旋,故共有6条这样的结构。每条螺旋的肽链均由丝状胶原样成分组成。在6条螺旋结构C端由于氨基酸序列的随机卷曲而形成6个花蕾状的球形头部,呈花朵形展开。在近N端约为1/2全长的螺旋结构呈束状并平行排列
单链抗体可变区基因片段五聚体作用于凋亡诱导配体受体-2来增强其对癌症的治疗作用
单链抗体可变区基因片段(scFvs) 已被看做是一类有前景的药物。然而,它们的低亲和力和快速的血浆清除率限制了其广泛的临床应用。在本研究中,我们旨在通过多聚scFv提高scFv的抗体表达,再通过与人软骨寡聚基质蛋白(COMP)48的螺旋结构域结合以抵抗死亡受体5(DR5,肿瘤坏死因子10B)。通过合成一种五聚体,我们称其为共同体,在体外和体内实验中,scFv的活性增加了10倍,并且共同体比它的单体配对物在抗肿瘤活性方面更有效。标准的抗体类药物正被成功地用于临床治疗癌症。然而,由于标准抗体的低产
技术资料暂无技术资料 索取技术资料











