相关产品推荐更多 >
万千商家帮你免费找货
0 人在求购买到急需产品
- 详细信息
- 文献和实验
- 技术资料
- 供应商:
上海联迈生物工程有限公司
- 库存:
大量
- 目录编号:
LM-8081R
- 克隆性:
多克隆
- 抗原来源:
Rabbit
- 保质期:
1年
- 抗体英文名:
CCDC94
- 抗体名:
卷曲螺旋结构域蛋白94抗体
- 宿主:
Rabbit
- 适应物种:
Human, Mouse, Rat, Chicken, Dog, Pig, Cow, Horse, Sheep,
- 免疫原:
KLH conjugated synthetic peptide derived from human CCDC94:15-120/323
- 亚型:
IgG
- 形态:
Lyophilized or Liquid
- 应用范围:
WB=1:500-2000 ELISA=1:500-1000 IHC-P=1:400-800 IHC-F=1:400-800 IF=1:100-500 (石蜡切片需做抗原修复)
- 浓度:
1mg/ml
- 保存条件:
Store at -20 °C
- 规格:
100ul 200ul
| 英文名称 | CCDC94 |
| 中文名称 | 卷曲螺旋结构域蛋白94抗体 |
| 别 名 | Coiled coil domain containing protein 94; FLJ10374; MGC156684; CCD94_HUMAN. |
| 规格价格 | 100ul/1380元 购买 200ul/2200元 购买 大包装/询价 |
| 说 明 书 | 100ul 200ul |
| 研究领域 | 细胞生物 免疫学 |
| 抗体来源 | Rabbit |
| 克隆类型 | Polyclonal |
| 交叉反应 | Human, Mouse, Rat, Chicken, Dog, Pig, Cow, Horse, Sheep, |
| 产品应用 | WB=1:500-2000 ELISA=1:500-1000 IHC-P=1:400-800 IHC-F=1:400-800 IF=1:100-500 (石蜡切片需做抗原修复) not yet tested in other applications. optimal dilutions/concentrations should be determined by the end user. |
| 分 子 量 | 37kDa |
| 细胞定位 | 细胞核 细胞浆 |
| 性 状 | Lyophilized or Liquid |
| 浓 度 | 1mg/ml |
| 免 疫 原 | KLH conjugated synthetic peptide derived from human CCDC94:15-120/323 |
| 亚 型 | IgG |
| 纯化方法 | affinity purified by Protein A |
| 储 存 液 | 0.01M TBS(pH7.4) with 1% BSA, 0.03% Proclin300 and 50% Glycerol. |
| 保存条件 | Store at -20 °C for one year. Avoid repeated freeze/thaw cycles. The lyophilized antibody is stable at room temperature for at least one month and for greater than a year when kept at -20°C. When reconstituted in sterile pH 7.4 0.01M PBS or diluent of antibody the antibody is stable for at least two weeks at 2-4 °C. |
| PubMed | PubMed |
| 产品介绍 | Similarity: Belongs to the CWC16 family. SWISS: Q9BW85 Gene ID: 55702 Database links: Entrez Gene: 55702 Human Entrez Gene: 72886 Mouse SwissProt: Q9BW85 Human SwissProt: Q9D6J3 Mouse Unigene: 21811 Human Unigene: 22796 Mouse Important Note: This product as supplied is intended for research use only, not for use in human, therapeutic or diagnostic applications. |
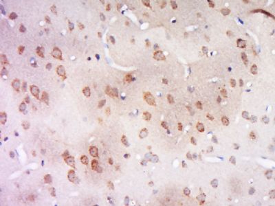
| 产品图片 | ![]() Sample: Testis (Mouse) Lysate at 40 ug Primary: Anti- CCDC94 (bs-8081R) at 1/300 dilution Secondary: IRDye800CW Goat Anti-Rabbit IgG at 1/20000 dilution Predicted band size: 37 kD Observed band size: 35 kD ![]() Tissue/cell: Rat brain tissue; 4% Paraformaldehyde-fixed and paraffin-embedded; Antigen retrieval: citrate buffer ( 0.01M, pH 6.0 ), Boiling bathing for 15min; Block endogenous peroxidase by 3% Hydrogen peroxide for 30min; Blocking buffer (normal goat serum,C-0005) at 37℃ for 20 min; Incubation: Anti-CCDC94 Polyclonal Antibody, Unconjugated(bs-8081R) 1:500, overnight at 4°C, followed by conjugation to the secondary antibody(SP-0023) and DAB(C-0010) staining |
风险提示:丁香通仅作为第三方平台,为商家信息发布提供平台空间。用户咨询产品时请注意保护个人信息及财产安全,合理判断,谨慎选购商品,商家和用户对交易行为负责。对于医疗器械类产品,请先查证核实企业经营资质和医疗器械产品注册证情况。
文献和实验单链抗体可变区基因片段五聚体作用于凋亡诱导配体受体-2来增强其对癌症的治疗作用
单链抗体可变区基因片段(scFvs) 已被看做是一类有前景的药物。然而,它们的低亲和力和快速的血浆清除率限制了其广泛的临床应用。在本研究中,我们旨在通过多聚scFv提高scFv的抗体表达,再通过与人软骨寡聚基质蛋白(COMP)48的螺旋结构域结合以抵抗死亡受体5(DR5,肿瘤坏死因子10B)。通过合成一种五聚体,我们称其为共同体,在体外和体内实验中,scFv的活性增加了10倍,并且共同体比它的单体配对物在抗肿瘤活性方面更有效。标准的抗体类药物正被成功地用于临床治疗癌症。然而,由于标准抗体的低产
较重要的有C1抑制物,C4结合蛋白(加速C4b2b的衰变,辅助Ⅰ因子介导的C4b裂解),H因子(加速C3bBb衰变,辅助Ⅰ因子介导的C3b裂解),Ⅰ因子(裂解C3和灭活C3b、C4b),CR1(加速C3转化酶解离),膜辅助因子蛋白(辅助Ⅰ因子介导C3b、C4b降解),促衰变因子(加速C3转化酶降解)等。这些补体调节蛋白可以抑制补体在液相中的激活,调节补体对底物工作。因此,有氧运动中补体成分降低与它的调控作用直接有关。其次,补体系统的激活主要由抗原-抗体复合物触发。在我们同步进行的抗体(IgG,IgM,IGA
。 众所周知,生物大分子发挥其生物学功能(包括分子间的识别、结合,能量及信息的传递等相互作用)必需具备:(1)稳定的特征的三维结构,(2)其三维结构在各个水平上的运动。而各个层次的生命活动都是建立在生物大分子的结构、运动及其相互作用的基础上。50年代核酸双螺旋结构模型的确定及其后肌红蛋白与血红蛋白三维结构的阐明为分子生物学奠定了学科基础。过去、现在和将来分子生物学中的每一个前沿突破都是并必将是与其三维结构研究的突破密切相关。生物大分子的结构与功能研究是分子生物学的基础和学科前沿,它更是分子生物物理学的核心
技术资料暂无技术资料 索取技术资料












