相关产品推荐更多 >
万千商家帮你免费找货
0 人在求购买到急需产品
- 详细信息
- 文献和实验
- 技术资料
- 供应商:
上海联迈生物工程有限公司
- 库存:
大量
- 目录编号:
LM-7416R
- 克隆性:
多克隆
- 抗原来源:
Rabbit
- 保质期:
1年
- 抗体英文名:
DNA polymerase delta
- 抗体名:
DNA聚合酶δ 抗体
- 宿主:
Rabbit
- 适应物种:
Human, Mouse, Rat, Rabbit,
- 免疫原:
KLH conjugated synthetic peptide derived from Human DNA polymerase delta:101-200/469
- 亚型:
IgG
- 形态:
Lyophilized or Liquid
- 应用范围:
WB=1:500-2000 ELISA=1:500-1000 IHC-P=1:400-800 IHC-F=1:400-800 ICC=1:100-500 IF=1:100-500 (石蜡切片需做抗原修复)
- 浓度:
1mg/ml
- 保存条件:
Store at -20 °C
- 规格:
100ul 200ul
| 英文名称 | DNA polymerase delta |
| 中文名称 | DNA聚合酶δ 抗体 |
| 别 名 | DNA polymerase delta subunit 2; DNA polymerase delta subunit p50; DNA polymerase subunit delta 2; DNA polymerase subunit delta p50; DPOD2_HUMAN; POLD 2; POLD2. |
| 规格价格 | 100ul/1380元 购买 200ul/2200元 购买 大包装/询价 |
| 说 明 书 | 100ul 200ul |
| 研究领域 | 细胞生物 染色质和核信号 信号转导 表观遗传学 |
| 抗体来源 | Rabbit |
| 克隆类型 | Polyclonal |
| 交叉反应 | Human, Mouse, Rat, Rabbit, |
| 产品应用 | WB=1:500-2000 ELISA=1:500-1000 IHC-P=1:400-800 IHC-F=1:400-800 ICC=1:100-500 IF=1:100-500 (石蜡切片需做抗原修复) not yet tested in other applications. optimal dilutions/concentrations should be determined by the end user. |
| 分 子 量 | 51kDa |
| 细胞定位 | 细胞核 |
| 性 状 | Lyophilized or Liquid |
| 浓 度 | 1mg/ml |
| 免 疫 原 | KLH conjugated synthetic peptide derived from Human DNA polymerase delta:101-200/469 |
| 亚 型 | IgG |
| 纯化方法 | affinity purified by Protein A |
| 储 存 液 | 0.01M TBS(pH7.4) with 1% BSA, 0.03% Proclin300 and 50% Glycerol. |
| 保存条件 | Store at -20 °C for one year. Avoid repeated freeze/thaw cycles. The lyophilized antibody is stable at room temperature for at least one month and for greater than a year when kept at -20°C. When reconstituted in sterile pH 7.4 0.01M PBS or diluent of antibody the antibody is stable for at least two weeks at 2-4 °C. |
| PubMed | PubMed |
| 产品介绍 | background: DNA replication, recombination and repair, all of which are necessary for genomic stability, require the presence of exonucleases (1). In DNA replication, these enzymes are involved in the processing of Okazaki fragments, whereas in DNA repair, they function to excise damaged DNA fragments and correct recombinational mismatches (2). These exonucleases include the family of DNA polymerases (3). DNA pol α, β, ∂, and e are involved in DNA replication and repair (4). DNA pol ∂ and DNA pol e are multisubunit enzymes, with DNA pol ∂ consisting of two subunits p125, which interacts with the sliding DNA clamp protein PCNA, and p50 (5). The nuclear-encoded DNA pol © is the only DNA polymerase required for the replication of the mitochondrial DNA (6). DNA pol Ω is ubiquitously expressed in various tissues and mediates the cellular mechanism of damage-induced mutagenesis (7). DNA pol œ is a DNA polymerase-helicase that binds ATP and is involved in the repair of interstrand crosslinks (8). Function: The function of the small subunit is not yet clear. Subcellular Location: Nucleus. Similarity: Belongs to the DNA polymerase delta/II small subunit family. SWISS: P49005 Gene ID: 5425 Database links: Entrez Gene: 281991 Cow Entrez Gene: 5425 Human Entrez Gene: 18972 Mouse Entrez Gene: 289758 Rat Omim: 600815 Human SwissProt: P49004 Cow SwissProt: P49005 Human SwissProt: O35654 Mouse SwissProt: Q6AXY4 Rat Unigene: 306791 Human Unigene: 35788 Mouse Unigene: 22989 Rat Important Note: This product as supplied is intended for research use only, not for use in human, therapeutic or diagnostic applications. |
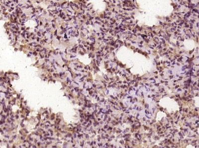
| 产品图片 | ![]() Sample: MOLT-4(Human) Cell Lysate at 30 ug Primary: Anti-DNA polymerase delta (bs-7416R) at 1/300 dilution Secondary: IRDye800CW Goat Anti-Rabbit IgG at 1/20000 dilution Predicted band size: 51 kD Observed band size: 51 kD ![]() Sample: Hela(Human) Cell Lysate at 30 ug Primary: Anti-DNA polymerase delta (bs-7416R) at 1/300 dilution Secondary: IRDye800CW Goat Anti-Rabbit IgG at 1/20000 dilution Predicted band size: 51 kD Observed band size: 51 kD ![]() Paraformaldehyde-fixed, paraffin embedded (rat lung tissue); Antigen retrieval by boiling in sodium citrate buffer (pH6.0) for 15min; Block endogenous peroxidase by 3% hydrogen peroxide for 20 minutes; Blocking buffer (normal goat serum) at 37°C for 30min; Antibody incubation with (POLD2) Polyclonal Antibody, Unconjugated (bs-7416R) at 1:400 overnight at 4°C, followed by operating according to SP Kit(Rabbit) (sp-0023) instructionsand DAB staining. |
风险提示:丁香通仅作为第三方平台,为商家信息发布提供平台空间。用户咨询产品时请注意保护个人信息及财产安全,合理判断,谨慎选购商品,商家和用户对交易行为负责。对于医疗器械类产品,请先查证核实企业经营资质和医疗器械产品注册证情况。
文献和实验PCR(Polymerase Chain Reaction) 即聚合酶链式反应,对于常年狂奔在实验室的实验狗来说并不陌生。那么,对于 PCR 反应的核心成份,DNA 聚合酶,你选对了吗? 常见的 DNA 聚合酶如 Taq、Phanta、Pfu、KOD、Primerstar、Klenow、Bst、Phi29 等等。根据耐热性来分可分为耐热酶和常温酶。耐热聚合酶如 Taq、Pfu、KOD、Primerstar 等,常温聚合酶包括 Klenow、Bst、Phi29 等。根据保真度来分,高保真聚合
相关专题 重组DNA技术工具酶 定义 DNA聚合酶 (DNA polymerase)是细胞复制DNA的重要作用酶。 DNA聚合酶 , 以DNA为复制模板,从将DNA由5'端点开始复制到3'端的酶。 DNA聚合酶 的主要活性是催化DNA的合成(在具备模板、引物、dNTP等的情况下)及其相辅的活性。 真核细胞有5种DNA聚合酶,分别为DNA聚合酶α(定位于胞核
佚名 1957年,Arthur kornberg首次在大肠杆菌中发现DNA聚合酶Ⅰ,(DNa polymerase Ⅰ,简写DNA polⅠ)后来又相继发现了DNA聚合酶Ⅱ和DNA聚合酶Ⅲ。(DNa polymerase Ⅱ,Ⅲ,简写DNA polⅡ,DNA polⅢ)实验证明大肠杆菌中DNA复制的主要过程靠DNa polⅢ起作用,而DNA polⅠ和DNA polⅡ在DNA
技术资料暂无技术资料 索取技术资料













