相关产品推荐更多 >
万千商家帮你免费找货
0 人在求购买到急需产品
- 详细信息
- 技术资料
- 供应商:
上海联迈生物工程有限公司
- 库存:
大量
- 目录编号:
LM-7004R
- 克隆性:
多克隆
- 抗原来源:
Rabbit
- 保质期:
1年
- 抗体英文名:
PRAME
- 抗体名:
黑色素瘤优先表达抗原抗体
- 宿主:
Rabbit
- 适应物种:
Human, Mouse,
- 免疫原:
KLH conjugated synthetic peptide derived from human PRAME (174-210aa):151-250/509
- 亚型:
IgG
- 形态:
Lyophilized or Liquid
- 应用范围:
ELISA=1:500-1000 IHC-P=1:400-800 IHC-F=1:400-800 Flow-Cyt=0.2ug/Test ICC=1:100-500 IF=1:100-500 (石蜡切片需做抗原修复)
- 浓度:
1mg/ml
- 保存条件:
Store at -20 °C
- 规格:
100ul 200ul
PRAME黑色素瘤优先表达抗原抗体
| 英文名称 | PRAME |
| 中文名称 | 黑色素瘤优先表达抗原抗体 |
| 别 名 | MAPE; Melanoma antigen preferentially expressed in tumors; OIP 4; OIP-4; OIP4; OPA interacting protein 4; Opa interacting protein OIP4; OPA-interacting protein 4; PRAME; PRAME_HUMAN; Preferentially expressed antigen in melanoma; Preferentially expressed antigen of melanoma; RP23-250F8.3. |
| 规格价格 | 100ul/1380元 购买 200ul/2200元 购买 大包装/询价 |
| 说 明 书 | 100ul 200ul |
| 研究领域 | 肿瘤 细胞生物 信号转导 肿瘤细胞生物标志物 表观遗传学 |
| 抗体来源 | Rabbit |
| 克隆类型 | Polyclonal |
| 交叉反应 | Human, Mouse, |
| 产品应用 | ELISA=1:500-1000 IHC-P=1:400-800 IHC-F=1:400-800 Flow-Cyt=0.2ug/Test ICC=1:100-500 IF=1:100-500 (石蜡切片需做抗原修复) not yet tested in other applications. optimal dilutions/concentrations should be determined by the end user. |
| 分 子 量 | 56kDa |
| 细胞定位 | 细胞核 细胞膜 |
| 性 状 | Lyophilized or Liquid |
| 浓 度 | 1mg/ml |
| 免 疫 原 | KLH conjugated synthetic peptide derived from human PRAME (174-210aa):151-250/509 |
| 亚 型 | IgG |
| 纯化方法 | affinity purified by Protein A |
| 储 存 液 | 0.01M TBS(pH7.4) with 1% BSA, 0.03% Proclin300 and 50% Glycerol. |
| 保存条件 | Store at -20 °C for one year. Avoid repeated freeze/thaw cycles. The lyophilized antibody is stable at room temperature for at least one month and for greater than a year when kept at -20°C. When reconstituted in sterile pH 7.4 0.01M PBS or diluent of antibody the antibody is stable for at least two weeks at 2-4 °C. |
| PubMed | PubMed |
| 产品介绍 | background: This gene encodes an antigen that is predominantly expressed in human melanomas and that is recognized by cytolytic T lymphocytes. It is not expressed in normal tissues, except testis. This expression pattern is similar to that of other CT antigens, such as MAGE, BAGE and GAGE. However, unlike these other CT antigens, this gene is also expressed in acute leukemias. Five alternatively spliced transcript variants encoding the same protein have been observed for this gene. [provided by RefSeq, Jul 2008]. Function: Functions as a transcriptional repressor, inhibiting the signaling of retinoic acid through the retinoic acid receptors RARA, RARB and RARG. Prevents retinoic acid-induced cell proliferation arrest, differentiation and apoptosis. Subunit: Interacts with RARA (via the ligand-binding domain); the interaction is direct and ligand (retinoic acid)-dependent. Interacts with EZH2; required to repress RAR signaling. Subcellular Location: Nucleus (Probable). Cell membrane. Tissue Specificity: Expressed in testis. Detected in samples of kidney, brain and skin. Similarity: Belongs to the PRAME family. Contains 4 LRR (leucine-rich) repeats. SWISS: P78395 Gene ID: 23532 Database links: Entrez Gene: 23532 Human Omim: 606021 Human SwissProt: P78395 Human Unigene: 30743 Human Important Note: This product as supplied is intended for research use only, not for use in human, therapeutic or diagnostic applications. |
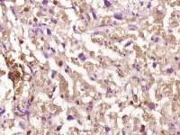
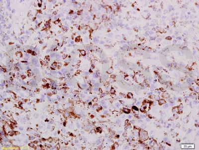
| 产品图片 | ![]() Tissue/cell: mouse lung tissue(Melanoma); 4% Paraformaldehyde-fixed and paraffin-embedded; Antigen retrieval: citrate buffer ( 0.01M, pH 6.0 ), Boiling bathing for 15min; Block endogenous peroxidase by 3% Hydrogen peroxide for 30min; Blocking buffer (normal goat serum,C-0005) at 37℃ for 20 min; Incubation: Anti-PRAME Polyclonal Antibody, Unconjugated(bs-7004R) 1:200, overnight at 4°C, followed by conjugation to the secondary antibody(SP-0023) and DAB(C-0010) staining ![]() Blank control(blue): Hela Cells(fixed with 2% paraformaldehyde (10 min) and then permeabilized with ice-cold 90% methanol for 30 min on ice). Primary Antibody: Rabbit Anti-PRAME/AF647 Conjugated antibody (bs-7004R-AF647), Dilution: 0.2μg in 100 μL 1X PBS containing 0.5% BSA; Isotype Control Antibody: Rabbit IgG/AF647(orange) ,used under the same conditions. ![]() Blank control(blue): Hela Cells(fixed with 2% paraformaldehyde (10 min) and then permeabilized with ice-cold 90% methanol for 30 min on ice). Primary Antibody: Rabbit Anti-PRAME/AF647 Conjugated antibody (bs-7004R-AF647), Dilution: 0.2μg in 100 μL 1X PBS containing 0.5% BSA; Isotype Control Antibody: Rabbit IgG/AF647(orange) ,used under the same conditions. |
风险提示:丁香通仅作为第三方平台,为商家信息发布提供平台空间。用户咨询产品时请注意保护个人信息及财产安全,合理判断,谨慎选购商品,商家和用户对交易行为负责。对于医疗器械类产品,请先查证核实企业经营资质和医疗器械产品注册证情况。
技术资料暂无技术资料 索取技术资料
PRAME黑色素瘤优先表达抗原抗体
¥1380 - 2200












