相关产品推荐更多 >
万千商家帮你免费找货
0 人在求购买到急需产品
- 详细信息
- 文献和实验
- 技术资料
- 供应商:
上海联迈生物工程有限公司
- 库存:
大量
- 目录编号:
LM-6942R
- 克隆性:
多克隆
- 抗原来源:
Rabbit
- 保质期:
1年
- 抗体英文名:
POMC
- 抗体名:
阿黑皮素原抗体
- 宿主:
Rabbit
- 适应物种:
Human, Mouse, Rat, Cow, Sheep,
- 免疫原:
KLH conjugated synthetic peptide derived from human POMC:27-102/267
- 亚型:
IgG
- 形态:
Lyophilized or Liquid
- 应用范围:
ELISA=1:500-1000 IHC-P=1:400-800 IHC-F=1:400-800 IF=1:50-200 (石蜡切片需做抗原修复)
- 浓度:
1mg/ml
- 保存条件:
Store at -20 °C
- 规格:
100ul 200ul
| 英文名称 | POMC |
| 中文名称 | 阿黑皮素原抗体 |
| 别 名 | ACTH; Adrenocorticotropic hormone; Adrenocorticotropin; Adrenocorticotropin Hormone; Alpha Melanocyte Stimulating Hormone; Alpha MSH; Alpha-MSH; Beta Endorphin; Beta Lipotropin; Beta LPH; Beta Melanocyte Stimulating Hormone; Beta MSH; Beta-LPH; Beta-MSH; CLIP; COLI_HUMAN; Corticotropin Like Intermediary Peptide; Corticotropin lipotropin; Corticotropin lipotropin precursor; Corticotropin-lipotropin; Gamma MSH; Gamma-LPH; Gamma-MSH; Lipotropin Beta; Lipotropin Gamma; LPH; Melanotropin Alpha; Melanotropin; Melanotropin beta; Melanotropin gamma; Met Enkephalin; Met-enkephalin; MSH; NPP; POC; POMC; pro ACTH endorphin; Pro opiomelanocortin; Proopiomelanocortin; Proopiomelanocortin preproprotein. |
| 规格价格 | 100ul/1380元 购买 200ul/2200元 购买 大包装/询价 |
| 说 明 书 | 100ul 200ul |
| 研究领域 | 肿瘤 细胞生物 神经生物学 信号转导 内分泌病 |
| 抗体来源 | Rabbit |
| 克隆类型 | Polyclonal |
| 交叉反应 | Human, Mouse, Rat, Cow, Sheep, |
| 产品应用 | ELISA=1:500-1000 IHC-P=1:400-800 IHC-F=1:400-800 IF=1:50-200 (石蜡切片需做抗原修复) not yet tested in other applications. optimal dilutions/concentrations should be determined by the end user. |
| 分 子 量 | 29kDa |
| 细胞定位 | 分泌型蛋白 |
| 性 状 | Lyophilized or Liquid |
| 浓 度 | 1mg/ml |
| 免 疫 原 | KLH conjugated synthetic peptide derived from human POMC:27-102/267 |
| 亚 型 | IgG |
| 纯化方法 | affinity purified by Protein A |
| 储 存 液 | 0.01M TBS(pH7.4) with 1% BSA, 0.03% Proclin300 and 50% Glycerol. |
| 保存条件 | Store at -20 °C for one year. Avoid repeated freeze/thaw cycles. The lyophilized antibody is stable at room temperature for at least one month and for greater than a year when kept at -20°C. When reconstituted in sterile pH 7.4 0.01M PBS or diluent of antibody the antibody is stable for at least two weeks at 2-4 °C. |
| PubMed | PubMed |
| 产品介绍 | background: This gene encodes a polypeptide hormone precursor that undergoes extensive, tissue-specific, post-translational processing via cleavage by subtilisin-like enzymes known as prohormone convertases. There are eight potential cleavage sites within the polypeptide precursor and, depending on tissue type and the available convertases, processing may yield as many as ten biologically active peptides involved in diverse cellular functions. The encoded protein is synthesized mainly in corticotroph cells of the anterior pituitary where four cleavage sites are used; adrenocorticotrophin, essential for normal steroidogenesis and the maintenance of normal adrenal weight, and lipotropin beta are the major end products. In other tissues, including the hypothalamus, placenta, and epithelium, all cleavage sites may be used, giving rise to peptides with roles in pain and energy homeostasis, melanocyte stimulation, and immune modulation. These include several distinct melanotropins, lipotropins, and endorphins that are contained within the adrenocorticotrophin and beta-lipotropin peptides. Mutations in this gene have been associated with early onset obesity, adrenal insufficiency, and red hair pigmentation. Alternatively spliced transcript variants encoding the same protein have been described. [provided by RefSeq, Jul 2008]. Function: ACTH stimulates the adrenal glands to release cortisol. MSH (melanocyte-stimulating hormone) increases the pigmentation of skin by increasing melanin production in melanocytes. Beta-endorphin and Met-enkephalin are endogenous opiates. Subcellular Location: Secreted. Tissue Specificity: ACTH and MSH are produced by the pituitary gland. Post-translational modifications: Specific enzymatic cleavages at paired basic residues yield the different active peptides. O-glycosylated; reducing sugar is probably N-acetylgalactosamine. DISEASE: Defects in POMC may be associated with susceptibility to obesity (OBESITY) [MIM:601665]. It is a condition characterized by an increase of body weight beyond the limitation of skeletal and physical requirements, as the result of excessive accumulation of body fat. Defects in POMC are the cause of pro-opiomelanocortinin deficiency (POMCD) [MIM:609734]. Affected individuals present early-onset obesity, adrenal insufficiency and red hair. Similarity: Belongs to the POMC family. SWISS: P01189 Gene ID: 5443 Database links: Entrez Gene: 5443 Human Entrez Gene: 18976 Mouse Entrez Gene: 24664 Rat Omim: 176830 Human SwissProt: P01190 Cow SwissProt: P01189 Human SwissProt: P01193 Mouse SwissProt: P01194 Rat Important Note: This product as supplied is intended for research use only, not for use in human, therapeutic or diagnostic applications. |
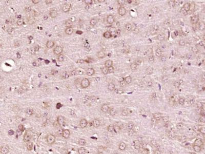
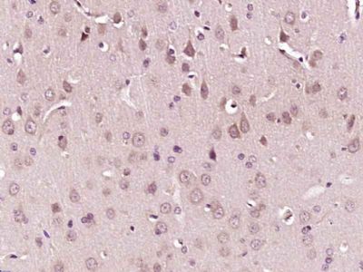
| 产品图片 | ![]() Paraformaldehyde-fixed, paraffin embedded (Mouse brain); Antigen retrieval by boiling in sodium citrate buffer (pH6.0) for 15min; Block endogenous peroxidase by 3% hydrogen peroxide for 20 minutes; Blocking buffer (normal goat serum) at 37°C for 30min; Antibody incubation with (POMC) Polyclonal Antibody, Unconjugated (bs-6942R) at 1:400 overnight at 4°C, followed by operating according to SP Kit(Rabbit) (sp-0023) instructionsand DAB staining. ![]() Paraformaldehyde-fixed, paraffin embedded (Rat brain); Antigen retrieval by boiling in sodium citrate buffer (pH6.0) for 15min; Block endogenous peroxidase by 3% hydrogen peroxide for 20 minutes; Blocking buffer (normal goat serum) at 37°C for 30min; Antibody incubation with (POMC) Polyclonal Antibody, Unconjugated (bs-6942R) at 1:400 overnight at 4°C, followed by operating according to SP Kit(Rabbit) (sp-0023) instructionsand DAB staining. |
风险提示:丁香通仅作为第三方平台,为商家信息发布提供平台空间。用户咨询产品时请注意保护个人信息及财产安全,合理判断,谨慎选购商品,商家和用户对交易行为负责。对于医疗器械类产品,请先查证核实企业经营资质和医疗器械产品注册证情况。
文献和实验和免疫抑制及其机制。研究发现阿黑皮素原(POMC)经切割会产生α促黑激素(α-MSH),α-MSH 则通过相应的受体 MC1R—MC5R 发挥生物学功能。研究结果发现,MC5R 与 α-MSH 促进肿瘤发展密切相关,并提示 MC5R 是癌症免疫治疗非常有前景的一个靶点。值得注意的是,汉恒生物提供的腺相关病毒 HBAAV2/9-Hspa9 shPOMC-GFP 成功敲低了小鼠垂体中的 POMC,为作者阐明相关机制提供了有力的病毒载体工具。 下面我们一起来看看作者是如何探索其中的机制: 作者首先研究
阿片-黑素细胞皮质素原 Pro-opiomelanocrtin,POMC 380 (阿黑皮素原) 长度-张力曲线 Length-tension curve 46,93 长时性记忆 Long term memory 359 长时程增强 Long-term potentiation 361 充盈期(相) filling period(phase) 88 充盈压 Filling pressure 92 层流 Laminar flow 116 湍流 Turbulence 116,117 潮气
)促肾上腺皮质激素释放激素 促肾上腺皮质激素释放激素(corticotropin releasing hormone,CRH)为四十一肽,其主要作用是促进腺垂体合成与释放促肾上腺皮质激素(ACTH)。腺垂体中存在大分子的促阿片-黑素细胞皮质素原(pro-opiomelanocortin,POMC),简称阿黑皮素原。在CRHA作用下经酶分解了ACTH、溶脂激素(lipotropin,β-LPH)和少量的β-内啡肽。静脉注射CRH5-20min后,血中ACTH浓度增加5-20倍。 分泌CRH
技术资料暂无技术资料 索取技术资料












