相关产品推荐更多 >
万千商家帮你免费找货
0 人在求购买到急需产品
- 详细信息
- 询价记录
- 文献和实验
- 技术资料
- 供应商:
上海联迈生物工程有限公司
- 库存:
大量
- 目录编号:
LM-6841R
- 克隆性:
多克隆
- 抗原来源:
Rabbit
- 保质期:
1年
- 抗体英文名:
IL-4I1
- 抗体名:
白细胞介素4诱导蛋白1抗体
- 宿主:
Rabbit
- 适应物种:
Human, Mouse, Rat, Dog, Pig, Sheep,
- 免疫原:
KLH conjugated synthetic peptide derived from human IL-4I1:51-160/567
- 亚型:
IgG
- 形态:
Lyophilized or Liquid
- 应用范围:
WB=1:500-2000 ELISA=1:500-1000 IHC-P=1:400-800 IHC-F=1:400-800 IF=1:100-500 (石蜡切片需做抗原修复)
- 浓度:
1mg/ml
- 保存条件:
Store at -20 °C
- 规格:
100ul 200ul
| 英文名称 | IL-4I1 |
| 中文名称 | 白细胞介素4诱导蛋白1抗体 |
| 别 名 | IL4I1; hFIG1; IL4 induced protein 1; IL-4 induced protein 1; Interleukin 4 induced protein 1; LAAO; FIG 1; Fig 1 protein; FIG1; Fig1 protein; hFIG 1; hFIG1; IL4-induced protein 1; Interleukin 4 induced 1; Interleukin four induced 1; Interleukin-4-induced protein 1; L amino acid oxidase; L-amino-acid oxidase; LAAO; LAO; Protein Fig 1; Protein Fig-1; Protein Fig1; OXLA_HUMAN. |
| 规格价格 | 100ul/1380元 购买 200ul/2200元 购买 大包装/询价 |
| 说 明 书 | 100ul 200ul |
| 研究领域 | 细胞生物 细胞凋亡 |
| 抗体来源 | Rabbit |
| 克隆类型 | Polyclonal |
| 交叉反应 | Human, Mouse, Rat, Dog, Pig, Sheep, |
| 产品应用 | WB=1:500-2000 ELISA=1:500-1000 IHC-P=1:400-800 IHC-F=1:400-800 IF=1:100-500 (石蜡切片需做抗原修复) not yet tested in other applications. optimal dilutions/concentrations should be determined by the end user. |
| 分 子 量 | 61kDa |
| 细胞定位 | 细胞浆 |
| 性 状 | Lyophilized or Liquid |
| 浓 度 | 1mg/ml |
| 免 疫 原 | KLH conjugated synthetic peptide derived from human IL-4I1:51-160/567 |
| 亚 型 | IgG |
| 纯化方法 | affinity purified by Protein A |
| 储 存 液 | 0.01M TBS(pH7.4) with 1% BSA, 0.03% Proclin300 and 50% Glycerol. |
| 保存条件 | Store at -20 °C for one year. Avoid repeated freeze/thaw cycles. The lyophilized antibody is stable at room temperature for at least one month and for greater than a year when kept at -20°C. When reconstituted in sterile pH 7.4 0.01M PBS or diluent of antibody the antibody is stable for at least two weeks at 2-4 °C. |
| PubMed | PubMed |
| 产品介绍 | background: This gene encodes a protein with limited similarity to L-amino acid oxidase which contains the conserved amino acids thought to be involved in catalysis and binding of flavin adenine dinucleotide (FAD) cofactor. The expression of this gene can be induced by interleukin 4 in B cells, however, expression of transcripts containing the first two exons of the upstream gene is found in other cell types. Multiple transcript variants encoding different isoforms have been found for this gene. [provided by RefSeq, Apr 2012]. Function: Lysosomal L-amino-acid oxidase with highest specific activity with phenylalanine. May play a role in lysosomal antigen processing and presentation (By similarity). Subcellular Location: Isoform 1: Lysosome (By similarity). Isoform 2: Lysosome (By similarity). Tissue Specificity: Isoform 1 is primarily found in immune tissues. Similarity: Belongs to the flavin monoamine oxidase family. FIG1 subfamily. SWISS: Q96RQ9 Gene ID: 259307 Database links: Entrez Gene: 259307 Human Entrez Gene: 14204 Mouse Omim: 609742 Human SwissProt: Q1WMJ3 Human SwissProt: Q96RQ9 Human SwissProt: O09046 Mouse Unigene: 27567 Mouse Important Note: This product as supplied is intended for research use only, not for use in human, therapeutic or diagnostic applications. |
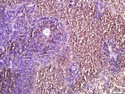
| 产品图片 | ![]() Sample:Kidney (Mouse)Lysate at 40 ug Primary: Anti-IL-4l1(bs-6841R)at 1/300 dilution Secondary: IRDye800CW Goat Anti-RabbitIgG at 1/20000 dilution Predicted band size: 61kD Observed band size: 61kD ![]() Paraformaldehyde-fixed, paraffin embedded (rat spleen); Antigen retrieval by boiling in sodium citrate buffer (pH6.0) for 15min; Block endogenous peroxidase by 3% hydrogen peroxide for 20 minutes; Blocking buffer (normal goat serum) at 37°C for 30min; Antibody incubation with (IL-4I1) Polyclonal Antibody, Unconjugated (bs-6841R) at 1:400 overnight at 4°C, followed by a conjugated secondary (sp-0023) for 20 minutes and DAB staining. |
风险提示:丁香通仅作为第三方平台,为商家信息发布提供平台空间。用户咨询产品时请注意保护个人信息及财产安全,合理判断,谨慎选购商品,商家和用户对交易行为负责。对于医疗器械类产品,请先查证核实企业经营资质和医疗器械产品注册证情况。
- 作者
- 内容
- 询问日期
文献和实验3和CCR3/4,因而可吸引不同的趋化因子,前者包括干扰素诱导蛋白(1P-10)、干扰素诱导性T细胞趋化蛋白(1TAC),干扰素诱生单核因子(MIG);而后者包括嗜酸粒细胞趋化蛋白Eotaxin等。现知细胞因子IL-4促进Th2分化,第十章中还将提到IL-4能促进IgE类别转换,而且IL-4(以及IL-13)还可诱导多种细胞包括单核细胞和DC产生趋化因子。结果是,这些趋化因子受体可专一性地吸引表达CCR3和CCR4的Th2/Tc2细胞,以及表达CCR3和IgE受体的嗜碱粒细胞与肥大细胞。这样,细胞
人白细胞介素1(IL-1) 酶联免疫 分析( ELISA ) 试剂 盒使用说明书 本试剂仅供研究使用 目的:本试剂盒用于测定人血清,血浆及相关液体样本中 白细胞介素1(IL-1)的 含量。 实验原理 : 本试剂盒应用 双抗体 夹心法测定 标本 中 人白细胞介素 - 1( IL- 1) 水平。用纯化的 人白细胞介素 - 1抗体 包被微孔板,制成固相 抗 体,往包被 单抗 的微孔中依次加入 白细胞介素
2)的作用,在过去几年中一直受到关注;这不仅是由于发现这些细胞是2型免疫的关键介质,而且也是迄今未知的免疫细胞谱系的描述。在作为小鼠线虫感染模型的巴西尼圆体寄生虫的帮助下,ILC2大约在同一时间被许多研究人员鉴定出来,包括正常细胞、自然辅助细胞、多能祖细胞和2型先天辅助细胞。这些细胞在抗寄生虫免疫中扮演重要角色,其核心作用是发现ILC2是对寄生虫感染作出反应的强效先天白细胞介素(IL) -13的产生者。随着il - 4, IL-13是至关重要的细胞因子2型免疫和信号都通过一个共同的受体亚基(IL-4Rα
技术资料暂无技术资料 索取技术资料












