相关产品推荐更多 >
万千商家帮你免费找货
0 人在求购买到急需产品
- 详细信息
- 文献和实验
- 技术资料
- 供应商:
上海联迈生物工程有限公司
- 库存:
大量
- 目录编号:
LM-6825R
- 克隆性:
多克隆
- 抗原来源:
Rabbit
- 保质期:
1年
- 抗体英文名:
MAGEB6
- 抗体名:
黑色素瘤相关抗原B6抗体
- 宿主:
Rabbit
- 适应物种:
Human
- 免疫原:
KLH conjugated synthetic peptide derived from human MAGEB6:151-250/407
- 亚型:
IgG
- 形态:
Lyophilized or Liquid
- 应用范围:
WB=1:500-2000 ELISA=1:500-1000 IHC-P=1:400-800 IHC-F=1:400-800 IF=1:100-500 (石蜡切片需做抗原修复)
- 浓度:
1mg/ml
- 保存条件:
Store at -20 °C
- 规格:
100ul 200ul
| 英文名称 | MAGEB6 |
| 中文名称 | 黑色素瘤相关抗原B6抗体 |
| 别 名 | Cancer/testis antigen 3.4; CT3.4; MAGEB6 antigen; Melanoma associated antigen B6; MAGB6_HUMAN. |
| 规格价格 | 100ul/1380元 购买 200ul/2200元 购买 大包装/询价 |
| 说 明 书 | 100ul 200ul |
| 研究领域 | 肿瘤 细胞类型标志物 肿瘤细胞生物标志物 |
| 抗体来源 | Rabbit |
| 克隆类型 | Polyclonal |
| 交叉反应 | Human, |
| 产品应用 | WB=1:500-2000 ELISA=1:500-1000 IHC-P=1:400-800 IHC-F=1:400-800 IF=1:100-500 (石蜡切片需做抗原修复) not yet tested in other applications. optimal dilutions/concentrations should be determined by the end user. |
| 分 子 量 | 44kDa |
| 细胞定位 | 细胞核 细胞浆 细胞膜 |
| 性 状 | Lyophilized or Liquid |
| 浓 度 | 1mg/ml |
| 免 疫 原 | KLH conjugated synthetic peptide derived from human MAGEB6:151-250/407 |
| 亚 型 | IgG |
| 纯化方法 | affinity purified by Protein A |
| 储 存 液 | 0.01M TBS(pH7.4) with 1% BSA, 0.03% Proclin300 and 50% Glycerol. |
| 保存条件 | Store at -20 °C for one year. Avoid repeated freeze/thaw cycles. The lyophilized antibody is stable at room temperature for at least one month and for greater than a year when kept at -20°C. When reconstituted in sterile pH 7.4 0.01M PBS or diluent of antibody the antibody is stable for at least two weeks at 2-4 °C. |
| PubMed | PubMed |
| 产品介绍 | background: The melanoma-associated antigen (MAGE) family consists of a number of antigens recognized by cytotoxic T lymphocytes. The MAGE genes were initially isolated from different type of tumors, and based on their virtually exclusive tumor-specific expression in adult tissues, they have been used as targets for cancer immunotherapy. MAGE genes encode for tumor-rejection antigens and are expressed in tumors of different histologic types, but not in normal tissues, with the exception of testis and placenta. Although a large number of MAGE genes have now been identified and extensively studied in tumors of various origin, their function in normal cells remains unknown. MAGE-B6 is expressed in testis and tumors of various histological origins but has not been shown to be expressed in other normal tissues. Tissue Specificity: Expressed in testis. Not expressed in other normal tissues, but is expressed in tumors of different histological origins. Similarity: Contains 1 MAGE domain. SWISS: Q8N7X4 Gene ID: 158809 Database links: Entrez Gene: 158809 Human Omim: 300467 Human SwissProt: Q8N7X4 Human Important Note: This product as supplied is intended for research use only, not for use in human, therapeutic or diagnostic applications. |
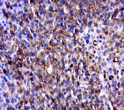
| 产品图片 | ![]() Paraformaldehyde-fixed, paraffin embedded (human melanoma tumor); Antigen retrieval by boiling in sodium citrate buffer (pH6.0) for 15min; Block endogenous peroxidase by 3% hydrogen peroxide for 20 minutes; Blocking buffer (normal goat serum) at 37°C for 30min; Antibody incubation with (MAGEB6) Polyclonal Antibody, Unconjugated (bs-6825R) at 1:400 overnight at 4°C, followed by a conjugated secondary (sp-0023) for 20 minutes and DAB staining. |
风险提示:丁香通仅作为第三方平台,为商家信息发布提供平台空间。用户咨询产品时请注意保护个人信息及财产安全,合理判断,谨慎选购商品,商家和用户对交易行为负责。对于医疗器械类产品,请先查证核实企业经营资质和医疗器械产品注册证情况。
文献和实验肿瘤相关抗原 1.胚胎抗原 胚胎抗原(fetal antigen)在正常情况下仅出现在胚胎组织中,胎儿出生后逐渐减少或消失。当细胞发生恶性转化时相应编码基因可被激活呈异常表达,出现在细胞质、膜表面或分泌在血流中,其含量与细胞的恶性程度往往呈正相关。此类抗原一般难以激发机体产生抗体,已发现某些抗原可经胞质溶胶途径处理成抗原肽由MHCI类分子提呈于细胞膜表面,被T细胞识别。由于机体中某些组织炎症时也可引起这类抗原在血清中含量轻度增高,造成针对胚胎抗原的异种抗体
肿瘤免疫治疗就是通过重新启动并维持肿瘤-免疫循环,恢复机体正常的抗肿瘤免疫反应,从而控制与清除肿瘤的一种治疗方法。包括单克隆抗体类免疫检查点抑制剂、治疗性抗体、癌症疫苗、细胞治疗和小分子抑制剂等。近几年,肿瘤免疫治疗的好消息不断,目前已在多种肿瘤如黑色素瘤,非小细胞肺癌、肾癌和前列腺癌等实体瘤的治疗中展示出了强大的抗肿瘤活性,多个肿瘤免疫治疗药物已经获得美国FDA批准临床应用。 肿瘤免疫治疗是通过主动或被动方式使机体产生肿瘤特异性免疫应答,发挥其抑制和杀伤肿瘤功能的治疗方法。肿瘤免疫治疗主要
的抗原决定簇暴露出来,成为肿瘤相关抗原,可被B细胞识别产生抗 肿瘤抗体 。 目前已在动物自发性肿瘤和人类肿瘤细胞表面都发现了肿瘤抗原。为了叙述方便,一般将肿瘤抗原进行分类,下面介绍两种对抗肿瘤抗原分类方法。 一、根据肿瘤抗原特异性的分类法 (一)肿瘤特异抗原 肿瘤特异抗原(tumorspecificantigen TSA)是指只存在于某种肿瘤细胞表面而不存在于正常细胞的新抗原。这类抗原是通过近交系小鼠间进行肿瘤移植的方法证明的实验
技术资料暂无技术资料 索取技术资料











