相关产品推荐更多 >
万千商家帮你免费找货
0 人在求购买到急需产品
- 详细信息
- 文献和实验
- 技术资料
- 供应商:
上海联迈生物工程有限公司
- 库存:
大量
- 目录编号:
LM-6306R
- 克隆性:
多克隆
- 抗原来源:
Rabbit
- 保质期:
1年
- 抗体英文名:
GCMA
- 抗体名:
绒毛膜特异性转录因子GCMa抗体
- 宿主:
Rabbit
- 适应物种:
Human, Mouse, Rat, Dog, Pig, Cow, Horse, Rabbit,
- 免疫原:
KLH conjugated synthetic peptide derived from human GCMA/GCM1:121-220/436
- 亚型:
IgG
- 形态:
Lyophilized or Liquid
- 应用范围:
WB=1:500-2000 ELISA=1:500-1000 IHC-P=1:400-800 IHC-F=1:400-800 IF=1:100-500 (石蜡切片需做抗原修复)
- 浓度:
1mg/ml
- 保存条件:
Store at -20 °C
- 规格:
100ul 200ul
| 英文名称 | GCMA |
| 中文名称 | 绒毛膜特异性转录因子GCMa抗体 |
| 别 名 | Chorion specific transcription factor GCMa; Chorion-specific transcription factor GCMa; GCM 1; GCM A; GCM motif protein 1; Gcm1; GCM1_HUMAN; Gcm1rs1; GCMA; Gcmrs2; Glial cells missing homolog 1; Glial cells missing homolog a; Glide; hGCMa. |
| 规格价格 | 100ul/1380元 购买 200ul/2200元 购买 大包装/询价 |
| 说 明 书 | 100ul 200ul |
| 研究领域 | 细胞生物 免疫学 发育生物学 信号转导 表观遗传学 |
| 抗体来源 | Rabbit |
| 克隆类型 | Polyclonal |
| 交叉反应 | Human, Mouse, Rat, Dog, Pig, Cow, Horse, Rabbit, |
| 产品应用 | WB=1:500-2000 ELISA=1:500-1000 IHC-P=1:400-800 IHC-F=1:400-800 IF=1:100-500 (石蜡切片需做抗原修复) not yet tested in other applications. optimal dilutions/concentrations should be determined by the end user. |
| 分 子 量 | 48kDa |
| 细胞定位 | 细胞核 |
| 性 状 | Lyophilized or Liquid |
| 浓 度 | 1mg/ml |
| 免 疫 原 | KLH conjugated synthetic peptide derived from human GCMA/GCM1:121-220/436 |
| 亚 型 | IgG |
| 纯化方法 | affinity purified by Protein A |
| 储 存 液 | 0.01M TBS(pH7.4) with 1% BSA, 0.03% Proclin300 and 50% Glycerol. |
| 保存条件 | Store at -20 °C for one year. Avoid repeated freeze/thaw cycles. The lyophilized antibody is stable at room temperature for at least one month and for greater than a year when kept at -20°C. When reconstituted in sterile pH 7.4 0.01M PBS or diluent of antibody the antibody is stable for at least two weeks at 2-4 °C. |
| PubMed | PubMed |
| 产品介绍 | background: This gene encodes a DNA-binding protein with a gcm-motif (glial cell missing motif). The encoded protein is a homolog of the Drosophila glial cells missing gene (gcm). This protein binds to the GCM-motif (A/G)CCCGCAT, a novel sequence among known targets of DNA-binding proteins. The N-terminal DNA-binding domain confers the unique DNA-binding activity of this protein. [provided by RefSeq, Jul 2008]. Function: Transcription factor that is necessary for placental development. Binds to the trophoblast-specific element 2 (TSE2) of the aromatase gene enhancer. Subcellular Location: Nucleus. Tissue Specificity: Placenta specific. Similarity: Contains 1 GCM DNA-binding domain. SWISS: Q9NP62 Gene ID: 8521 Database links: UniProtKB/Swiss-Prot: Q9NP62.1 Important Note: This product as supplied is intended for research use only, not for use in human, therapeutic or diagnostic applications. |
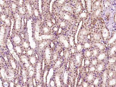
| 产品图片 | ![]() Paraformaldehyde-fixed, paraffin embedded (Rat kidney); Antigen retrieval by boiling in sodium citrate buffer (pH6.0) for 15min; Block endogenous peroxidase by 3% hydrogen peroxide for 20 minutes; Blocking buffer (normal goat serum) at 37°C for 30min; Antibody incubation with (GCMA) Polyclonal Antibody, Unconjugated (bs-6306R) at 1:400 overnight at 4°C, followed by operating according to SP Kit(Rabbit) (sp-0023) instructionsand DAB staining. |
风险提示:丁香通仅作为第三方平台,为商家信息发布提供平台空间。用户咨询产品时请注意保护个人信息及财产安全,合理判断,谨慎选购商品,商家和用户对交易行为负责。对于医疗器械类产品,请先查证核实企业经营资质和医疗器械产品注册证情况。
文献和实验没人敢质疑你的 ChIP!康测科技还做过哪些 ChIP 测序项目呢,随手一搜还真不少,我们一起来看吧。转录因子 ChIP-seq 项目1. 项目编号:KC- 2018 -C**,样品描述:真菌,抗体描述:Flag 标签抗体2. 项目编号:KC- 2018 -C**,样品描述:人源细胞,抗体描述:转录因子特异性抗体在这个 WB 检测中,还检测了 IP 上清,IP 上清也就是免疫沉淀后的上层清液,IP 上清中有非目的蛋白,也可能有未被抗体结合的目的蛋白。通过 WB 检测,我们可以看出目的蛋白是否完全
(含有转录因子结合位点)结合的转录因子蛋白质; (2)DNA 竞争实验可以用来检测转录因子蛋白质同 DNA 结合的精确序列部位; (3)通过竞争 DNA 中转录因子结合位点的碱基突变可以研究此种突变竞争性能及其转录因子结合作用的影响; (4)也可以利用 DNA 同特定转录因子的结合作用通过亲和层析来分离特定的转录因子。 三、足迹实验 1. 定义: 足迹实验(foot-printingassay),是一种用来检测被特定转录因子蛋白质特异性结合的DNA序列的位置及其核苷酸序列结构的专门实验
, EMSA)等转录因子DNA结合活性检测技术。在EMSA检测中, 转录因子蛋白是与游离的DNA探针分子(含有待检转录因子的DNA结合位点)相互作用(结合), 而在dsDNA 微阵列芯片上, 转录因子蛋白是与固定在固相表面的DNA探针分子相互作用(结合)。一个典型的dsDNA微阵列实验包括下列程序(图1):首先设计并制备高密度dsDNA微阵列, 之后用表位标签融合的转录因子蛋白与dsDNA微阵列进行结合反应, 经洗涤去除非特异性结合后, 用荧光标记的标签抗体与微阵列结合, 再经过荧光扫描获取荧
技术资料暂无技术资料 索取技术资料











