相关产品推荐更多 >
万千商家帮你免费找货
0 人在求购买到急需产品
- 详细信息
- 文献和实验
- 技术资料
- 供应商:
上海联迈生物工程有限公司
- 库存:
大量
- 目录编号:
LM-5870R
- 克隆性:
多克隆
- 抗原来源:
Rabbit
- 保质期:
1年
- 抗体英文名:
KLK6
- 抗体名:
激肽释放酶6抗体
- 宿主:
Rabbit
- 适应物种:
Human, Mouse, Rat,
- 免疫原:
KLH conjugated synthetic peptide derived from human KLK6:217-244/244
- 亚型:
IgG
- 形态:
Lyophilized or Liquid
- 应用范围:
WB=1:500-2000 ELISA=1:500-1000 IHC-P=1:400-800 IHC-F=1:400-800 IF=1:100-500 (石蜡切片需做抗原修复)
- 浓度:
1mg/ml
- 保存条件:
Store at -20 °C
- 规格:
100ul 200ul
| 英文名称 | KLK6 |
| 中文名称 | 激肽释放酶6抗体 |
| 别 名 | Bssp; hK 6; hK6; Kallikrein 6 precursor; Kallikrein related peptidase 6; Kallikrein-6; Kallikrein6; Kallikrein 6; Kallikrein-6; KLK 6; KLK6; KLK-6; Klk 7; Klk7; Klk-7; KLK 9; KLK9; KLK-9; Klk6; KLK6_HUMAN; Klk7; KLK9; mGK 1; mGK1; Neurosin; Protease M; Protease serine 18; Protease serine 9; PRSS 18; PRSS 9; PRSS18; PRSS9; Serine protease 18; Serine protease 9; SP 59; SP59; Tissue kallikrein; TK; Zyme; KLK6_HUMAN; Neurosin. |
| 规格价格 | 100ul/1380元 购买 200ul/2200元 购买 大包装/询价 |
| 说 明 书 | 100ul 200ul |
| 研究领域 | 肿瘤 细胞生物 免疫学 信号转导 细胞粘附分子 线粒体 |
| 抗体来源 | Rabbit |
| 克隆类型 | Polyclonal |
| 交叉反应 | Human, Mouse, Rat, |
| 产品应用 | WB=1:500-2000 ELISA=1:500-1000 IHC-P=1:400-800 IHC-F=1:400-800 IF=1:100-500 (石蜡切片需做抗原修复) not yet tested in other applications. optimal dilutions/concentrations should be determined by the end user. |
| 分 子 量 | 27kDa |
| 细胞定位 | 细胞核 细胞浆 分泌型蛋白 线粒体 |
| 性 状 | Lyophilized or Liquid |
| 浓 度 | 1mg/ml |
| 免 疫 原 | KLH conjugated synthetic peptide derived from human KLK6:217-244/244 |
| 亚 型 | IgG |
| 纯化方法 | affinity purified by Protein A |
| 储 存 液 | 0.01M TBS(pH7.4) with 1% BSA, 0.03% Proclin300 and 50% Glycerol. |
| 保存条件 | Store at -20 °C for one year. Avoid repeated freeze/thaw cycles. The lyophilized antibody is stable at room temperature for at least one month and for greater than a year when kept at -20°C. When reconstituted in sterile pH 7.4 0.01M PBS or diluent of antibody the antibody is stable for at least two weeks at 2-4 °C. |
| PubMed | PubMed |
| 产品介绍 | background: Serine protease which exhibits a preference for Arg over Lys in the substrate P1 position and for Ser or Pro in the P2 position. Shows activity against amyloid precursor protein, myelin basic protein, gelatin, casein and extracellular matrix proteins such as fibronectin, laminin, vitronectin and collagen. Degrades alpha-synuclein and prevents its polymerization, indicating that it may be involved in the pathogenesis of Parkinson disease and other synucleinopathies. May be involved in regulation of axon outgrowth following spinal cord injury. Tumor cells treated with a neutralizing KLK6 antibody migrate less than control cells, suggesting a role in invasion and metastasis. Function: Serine protease which exhibits a preference for Arg over Lys in the substrate P1 position and for Ser or Pro in the P2 position. Shows activity against amyloid precursor protein, myelin basic protein, gelatin, casein and extracellular matrix proteins such as fibronectin, laminin, vitronectin and collagen. Degrades alpha-synuclein and prevents its polymerization, indicating that it may be involved in the pathogenesis of Parkinson disease and other synucleinopathies. May be involved in regulation of axon outgrowth following spinal cord injury. Tumor cells treated with a neutralizing KLK6 antibody migrate less than control cells, suggesting a role in invasion and metastasis. Subcellular Location: Secreted. Nucleus, nucleolus. Cytoplasm. Mitochondrion. Microsome. Note=In brain, detected in the nucleus of glial cells and in the nucleus and cytoplasm of neurons. Detected in the mitochondrial and microsomal fractions of HEK-293 cells and released into the cytoplasm following cell stress. Tissue Specificity: In fluids, highest levels found in milk of lactating women followed by cerebrospinal fluid, nipple aspirate fluid and breast cyst fluid. Also found in serum, seminal plasma and some amniotic fluids and breast tumor cytosolic extracts. Not detected in urine. At the tissue level, highest concentrations found in glandular tissues such as salivary glands followed by lung, colon, fallopian tube, placenta, breast, pituitary and kidney. Not detected in skin, spleen, bone, thyroid, heart, ureter, liver, muscle, endometrium, testis, pancreas, seminal vesicle, ovary, adrenals and prostate. In brain, detected in gray matter neurons (at protein level). Colocalizes with pathological inclusions such as Lewy bodies and glial cytoplasmic inclusions. Overexpressed in primary breast tumors but not expressed in metastatic tumors. Post-translational modifications: Inactivated by autolytic cleavage after Arg-80. Similarity: Belongs to the peptidase S1 family. Kallikrein subfamily. Contains 1 peptidase S1 domain. SWISS: Q92876 Gene ID: 5653 Database links: Entrez Gene: 5653 Human Omim: 602652 Human SwissProt: Q92876 Human Unigene: 79361 Human Important Note: This product as supplied is intended for research use only, not for use in human, therapeutic or diagnostic applications. |
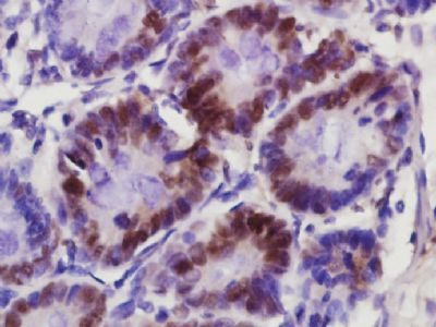
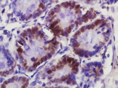
| 产品图片 | ![]() Paraformaldehyde-fixed, paraffin embedded (Rat colon); Antigen retrieval by boiling in sodium citrate buffer (pH6.0) for 15min; Block endogenous peroxidase by 3% hydrogen peroxide for 20 minutes; Blocking buffer (normal goat serum) at 37°C for 30min; Antibody incubation with (KLK6) Polyclonal Antibody, Unconjugated (bs-5870R) at 1:400 overnight at 4°C, followed by operating according to SP Kit(Rabbit) (sp-0023) instructionsand DAB staining. |
风险提示:丁香通仅作为第三方平台,为商家信息发布提供平台空间。用户咨询产品时请注意保护个人信息及财产安全,合理判断,谨慎选购商品,商家和用户对交易行为负责。对于医疗器械类产品,请先查证核实企业经营资质和医疗器械产品注册证情况。
文献和实验人激肽释放酶8(KLK-8) 酶联免疫分析(ELISA ) 试剂盒使用说明书 本试剂仅供研究使用 目的:本试剂盒用于测定人血清,血浆及相关液体样本中激肽释放酶8(KLK-8) 的 含量。 实验原理: 本试剂盒应用双抗体夹心法测定标本中人激肽释放酶 8(KLK-8) 水平。用纯化的人激肽释放酶 8(KLK-8) 抗体包被微孔板,制成固相抗体,往包被单抗的微孔中依次加入激肽释放酶 8(KLK
与激肽生成有关的蛋白酶。EC3. 4. 21. 8。广泛存在于血浆和组织中。可从狗的胰脏中提取出来,但从人、牛、马、狗、猫等的腮腺、颌下腺、舌下腺等也能获得同样的物质。虽不引起正常动物的血糖量的变化,但具有使切除胰脏的狗或人的糖尿病患者的血糖量降低的作用。它与胰岛素是不同的物质,口服也有效。
人激肽释放酶1(KLK-1) 酶联免疫分析(ELISA ) 试剂盒使用说明书 本试剂仅供研究使用 目的:本试剂盒用于测定人血清,血浆及相关液体样本中激肽释放酶1(KLK-1) 的 含量。 实验原理: 本试剂盒应用双抗体夹心法测定标本中人激肽释放酶 1(KLK-1) 水平。用纯化的人激肽释放酶 1(KLK-1) 抗体包被微孔板,制成固相抗体,往包被单抗的微孔中依次加入激肽释放酶 1(KLK
技术资料暂无技术资料 索取技术资料











