相关产品推荐更多 >
万千商家帮你免费找货
0 人在求购买到急需产品
- 详细信息
- 文献和实验
- 技术资料
- 供应商:
上海联迈生物工程有限公司
- 库存:
大量
- 目录编号:
LM-5652R
- 克隆性:
多克隆
- 抗原来源:
Rabbit
- 保质期:
1年
- 抗体英文名:
phospho-c-Raf(Ser339)
- 抗体名:
磷酸化原癌基因c-Raf抗体
- 宿主:
Rabbit
- 适应物种:
Human, Mouse, Rat, Chicken, Dog, Pig, Cow, Horse, Rabbit, Sheep,
- 免疫原:
KLH conjugated Synthesised phosphopeptide derived from human c-Raf around the phosphorylation site of Ser339:DS(p-S)Y
- 亚型:
IgG
- 形态:
Lyophilized or Liquid
- 应用范围:
WB=1:500-2000 ELISA=1:500-1000 IHC-P=1:400-800 IHC-F=1:400-800 IF=1:100-500 (石蜡切片需做抗原修复)
- 浓度:
1mg/ml
- 保存条件:
Store at -20 °C
- 规格:
100ul
| 英文名称 | phospho-c-Raf(Ser339) |
| 中文名称 | 磷酸化原癌基因c-Raf抗体 |
| 别 名 | RAF1(phospho S339); RAF1; murine leukemia viral (v-raf-1) oncogene homolog 1 (3611-MSV); v-raf-1 murine leukemia viral oncogene homolog 1; cRaf; C-RAF; proto-oncogene c-RAF; 6430402F14Rik; AA990557; BB129353; c-Raf; Craf1; D830050J10Rik; MGC102375; Raf-1; Raf 1; v-Raf; c Raf; Craf 1 transforming gene; Craf1 transforming gene; EC 2.7.11.1; Murine sarcoma 3611 oncogene 1; RAF; Raf proto oncogene serine/threonine protein kinase; vraf1 murine leukemia viral oncogene homolog 1; c-Raf. |
| 规格价格 | 100ul/1580元 购买 大包装/询价 |
| 说 明 书 | 100ul |
| 产品类型 | 磷酸化抗体 |
| 研究领域 | 肿瘤 免疫学 信号转导 细胞凋亡 转录调节因子 激酶和磷酸酶 线粒体 |
| 抗体来源 | Rabbit |
| 克隆类型 | Polyclonal |
| 交叉反应 | Human, Mouse, Rat, Chicken, Dog, Pig, Cow, Horse, Rabbit, Sheep, |
| 产品应用 | WB=1:500-2000 ELISA=1:500-1000 IHC-P=1:400-800 IHC-F=1:400-800 IF=1:100-500 (石蜡切片需做抗原修复) not yet tested in other applications. optimal dilutions/concentrations should be determined by the end user. |
| 分 子 量 | 73kDa |
| 细胞定位 | 细胞核 细胞浆 细胞膜 线粒体 |
| 性 状 | Lyophilized or Liquid |
| 浓 度 | 1mg/ml |
| 免 疫 原 | KLH conjugated Synthesised phosphopeptide derived from human c-Raf around the phosphorylation site of Ser339:DS(p-S)Y |
| 亚 型 | IgG |
| 纯化方法 | affinity purified by Protein A |
| 储 存 液 | 0.01M TBS(pH7.4) with 1% BSA, 0.03% Proclin300 and 50% Glycerol. |
| 保存条件 | Store at -20 °C for one year. Avoid repeated freeze/thaw cycles. The lyophilized antibody is stable at room temperature for at least one month and for greater than a year when kept at -20°C. When reconstituted in sterile pH 7.4 0.01M PBS or diluent of antibody the antibody is stable for at least two weeks at 2-4 °C. |
| PubMed | PubMed |
| 产品介绍 | background: The Raf family of serine/threonine specific kinases is comprised of three members (aRaf, bRaf, and cRaf) that play a critical role in regulating cell growth and differentiation, and couple growth factor receptor stimulation to nuclear transcription factors via the Ras/mitogen activated protein kinase (MAPK) pathway. cRaf kinase (also known as Raf1) is a small GTPase like kinase of 73 kDa, and is a signal transducer of multiple extracellular stimuli that is regulated by several pathways, and that once activated, phosphorylates MEK which in turn phosphorylates ERK. Raf1 is involved in the transduction of mitogenic signals from the cell membrane to the nucleus. It is part of the Ras dependent signaling pathway from receptors to the nucleus. Function: Serine/threonine-protein kinase that acts as a regulatory link between the membrane-associated Ras GTPases and the MAPK/ERK cascade, and this critical regulatory link functions as a switch determining cell fate decisions including proliferation, differentiation, apoptosis, survival and oncogenic transformation. RAF1 activation initiates a mitogen-activated protein kinase (MAPK) cascade that comprises a sequential phosphorylation of the dual-specific MAPK kinases (MAP2K1/MEK1 and MAP2K2/MEK2) and the extracellular signal-regulated kinases (MAPK3/ERK1 and MAPK1/ERK2). The phosphorylated form of RAF1 (on residues Ser-338 and Ser-339, by PAK1) phosphorylates BAD/Bcl2-antagonist of cell death at 'Ser-75'. Phosphorylates adenylyl cyclases: ADCY2, ADCY5 and ADCY6, resulting in their activation. Phosphorylates PPP1R12A resulting in inhibition of the phosphatase activity. Phosphorylates TNNT2/cardiac muscle troponin T. Can promote NF-kB activation and inhibit signal transducers involved in motility (ROCK2), apoptosis (MAP3K5/ASK1 and STK3/MST2), proliferation and angiogenesis (RB1). Can protect cells from apoptosis also by translocating to the mitochondria where it binds BCL2 and displaces BAD/Bcl2-antagonist of cell death. Regulates Rho signaling and migration, and is required for normal wound healing. Plays a role in the oncogenic transformation of epithelial cells via repression of the TJ protein, occludin (OCLN) by inducing the up-regulation of a transcriptional repressor SNAI2/SLUG, which induces down-regulation of OCLN. Restricts caspase activation in response to selected stimuli, notably Fas stimulation, pathogen-mediated macrophage apoptosis, and erythroid differentiation. [CATALYTIC ACTIVITY] ATP + a protein = ADP + a phosphoprotein. Subunit: Monomer. Homodimer. Heterodimerizes with BRAF and this heterodimer possesses a highly increased kinase activity compared to the respective homodimers or monomers. Heterodimerization is mitogen-regulated and enhanced by 14-3-3 proteins. MAPK1/ERK2 activation can induce a negative feedback that promotes the dissociation of the heterodimer. Forms a multiprotein complex with Ras (M-Ras/MRAS), SHOC2 and protein phosphatase 1 (PPP1CA, PPP1CB and PPP1CC). Interacts with Ras proteins; the interaction is antagonized by RIN1. Weakly interacts with RIT1. Interacts (via N-terminus) with RGS14 (via RBD domains); the interaction mediates the formation of a ternary complex with BRAF, a ternary complex inhibited by GNAI1 (By similarity). Interacts with STK3/MST2; the interaction inhibits its pro-apoptotic activity. Interacts (when phosphorylated at Ser-259) with YWHAZ (unphosphorylated at 'Thr-232'). Interacts with MAP2K1/MEK1 and MAP2K2/MEK2 (By similarity). Interacts with MAP3K5/ASF1 (via N-terminus) and this interaction inhibits the proapoptotic function of MAP3K5/ASK1. Interacts with PAK1 (via kinase domain). The phosphorylated form interacts with PIN1. The Ser-338 and Ser-339 phosphorylated form (by PAK1) interacts with BCL2. Interacts with PEBP1/RKIP and this interaction is enhanced if RAF1 is phosphorylated on residues Ser-338, Ser-339, Tyr-340 and Tyr-341. Interacts with ADCY2, ADCY5, ADCY6, DGKH, RCAN1/DSCR1, ROCK2, PPP1R12A, PKB/AKT1, PPP2CA, PPP2R1B, SPRY2, SPRY4, CNKSR1/CNK1, KSR2 and PHB/prohibitin. Subcellular Location: Cytoplasm. Cell membrane. Mitochondrion. Nucleus. Note=Colocalizes with RGS14 and BRAF in both the cytoplasm and membranes. Phosphorylation at Ser-259 impairs its membrane accumulation. Recruited to the cell membrane by the active Ras protein. Phosphorylation at Ser-338 and Ser-339 by PAK1 is required for its mitochondrial localization. Retinoic acid-induced Ser-621 phosphorylated form of RAF1 is predominantly localized at the nucleus. Tissue Specificity: In skeletal muscle, isoform 1 is more abundant than isoform 2. Post-translational modifications: Phosphorylated upon DNA damage, probably by ATM or ATR. Phosphorylation at Thr-269, Ser-338, Tyr-341, Thr-491 and Ser-494 results in its activation. Phosphorylation at Ser-29, Ser-43, Ser-289, Ser-296, Ser-301 and Ser-642 by MAPK1/ERK2 results in its inactivation. Phosphorylation at Ser-259 induces the interaction with YWHAZ and inactivates kinase activity. Dephosphorylation of Ser-259 by the complex containing protein phosphatase 1, SHOC2 and M-Ras/MRAS relieves inactivation, leading to stimulate RAF1 activity. Phosphorylation at Ser-338 by PAK1 and PAK7/PAK5 and Ser-339 by PAK1 is required for its mitochondrial localization. DISEASE: Defects in RAF1 are the cause of Noonan syndrome type 5 (NS5) [MIM:611553]. Noonan syndrome (NS) is a disorder characterized by dysmorphic facial features, short stature, hypertelorism, cardiac anomalies, deafness, motor delay, and a bleeding diathesis. It is a genetically heterogeneous and relatively common syndrome, with an estimated incidence of 1 in 1000-2500 live births. Defects in RAF1 are the cause of LEOPARD syndrome type 2 (LEOPARD2) [MIM:611554]. LEOPARD syndrome is an autosomal dominant disorder allelic with Noonan syndrome. The acronym LEOPARD stands for lentigines, electrocardiographic conduction abnormalities, ocular hypertelorism, pulmonic stenosis, abnormalities of genitalia, retardation of growth, and deafness. Similarity: Belongs to the protein kinase superfamily. TKL Ser/Thr protein kinase family. RAF subfamily. Contains 1 phorbol-ester/DAG-type zinc finger. Contains 1 protein kinase domain. Contains 1 RBD (Ras-binding) domain. SWISS: P04049 Gene ID: 5894 Database links: Entrez Gene: 5894 Human Entrez Gene: 110157 Mouse Entrez Gene: 24703 Rat Omim: 164760 Human SwissProt: P04049 Human SwissProt: Q99N57 Mouse SwissProt: P11345 Rat Unigene: 159130 Human Unigene: 184163 Mouse Unigene: 33262 Rat Important Note: This product as supplied is intended for research use only, not for use in human, therapeutic or diagnostic applications. |
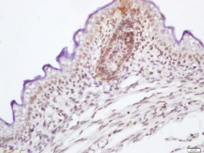
| 产品图片 | ![]() Tissue/cell: mouse embryo tissue; 4% Paraformaldehyde-fixed and paraffin-embedded; Antigen retrieval: citrate buffer ( 0.01M, pH 6.0 ), Boiling bathing for 15min; Block endogenous peroxidase by 3% Hydrogen peroxide for 30min; Blocking buffer (normal goat serum,C-0005) at 37℃ for 20 min; Incubation: Anti-phospho-c-Raf(Ser339) Polyclonal Antibody, Unconjugated(bs-5652R) 1:200, overnight at 4°C, followed by conjugation to the secondary antibody(SP-0023) and DAB(C-0010) staining |
风险提示:丁香通仅作为第三方平台,为商家信息发布提供平台空间。用户咨询产品时请注意保护个人信息及财产安全,合理判断,谨慎选购商品,商家和用户对交易行为负责。对于医疗器械类产品,请先查证核实企业经营资质和医疗器械产品注册证情况。
文献和实验的关系理不出头绪。GSK-3 beta 总蛋白减少,p-GSK-3 beta (ser 9)增加,是不是足以说明有活性的GSK-3 beta 减少更多,这样理解不知道对不对,希望给以指点。 galaxy22 楼主你好,请问你做出结果的tyr216的抗体是哪个公司的。。。我做出来总量是减少的,active B catenin是减少的,那我有必要做ser9 和tyr216的磷酸化形式吗?我想研究wnt和akt。。。 棉花糖的温柔
运用Cell Based Elisa检测信号通路蛋白和磷酸化蛋白
using Phospho-p38 antibody (A) and Total-p38 antibody (B). Cell Based Elisa were performed directly in the 96-well plates using Phospho-p38 and Total-p38 antibodies (C). Figure 3: JNK detection with FACECells were serum-starved for 16 hours
膜,随后Raf发生磷酸化作用和寡聚化作用。PKC的同工酶也可以磷酸化并激活Raf―1蛋白激酶,使Raf―1发生自身磷酸化。 Raf家族属于MAPKKK,是高度保守的丝氨酸―苏氨酸激酶,通过与Ras蛋白的相互作用而被缉获。Raf家族成员包括A―Raf、B―Raf和Raf―1(即c―Raf或c―Raf―1)。每一异构体包括3个保守区域,称为CRl、CR2和CR3。前面的两个保守区域位于氨基末端,并含有调节Raf催化区域的部分,其激酶区域位于CR3。Raf被激活后使MEKl/2磷酸化,最终使ERKl/
技术资料暂无技术资料 索取技术资料











