相关产品推荐更多 >
万千商家帮你免费找货
0 人在求购买到急需产品
- 详细信息
- 文献和实验
- 技术资料
- 供应商:
上海联迈生物工程有限公司
- 库存:
大量
- 目录编号:
LM-5632R
- 克隆性:
多克隆
- 抗原来源:
Rabbit
- 保质期:
1年
- 抗体英文名:
phospho-SYN1(Ser62+Ser67)
- 抗体名:
磷酸化神经突触素1抗体
- 宿主:
Rabbit
- 适应物种:
Human, Mouse, Rat, Rabbit,
- 免疫原:
KLH conjugated Synthesised phosphopeptide derived from human SYN1 around the phosphorylation site of Ser62+Ser67:AA(p-S)PAAP(p-S)PG
- 亚型:
IgG
- 形态:
Lyophilized or Liquid
- 应用范围:
WB=1:500-2000 ELISA=1:500-1000 IHC-P=1:400-800 IHC-F=1:400-800 IF=1:100-500 (石蜡切片需做抗原修复)
- 浓度:
1mg/ml
- 保存条件:
Store at -20 °C
- 规格:
100ul
| 英文名称 | phospho-SYN1(Ser62+Ser67) |
| 中文名称 | 磷酸化神经突触素1抗体 |
| 别 名 | Syn1(phospho S62/S67); Syn1(phospho Ser62/Ser67); Synapsin I (phospho S62 + S67); Synapsin I (phospho Ser62 + Ser67); Brain protein 4.1; SYN 1; SYN 1a; SYN 1b; SYN I; SYN1; SYN1a; SYN1b; Synapsin 1; Synapsin1; SynapsinI; Synapsin-1; SYNI; SYN1_HUMAN. |
| 规格价格 | 100ul/1580元 购买 大包装/询价 |
| 说 明 书 | 100ul |
| 产品类型 | 磷酸化抗体 |
| 研究领域 | 免疫学 神经生物学 信号转导 细胞粘附分子 |
| 抗体来源 | Rabbit |
| 克隆类型 | Polyclonal |
| 交叉反应 | Human, Mouse, Rat, Rabbit, |
| 产品应用 | WB=1:500-2000 ELISA=1:500-1000 IHC-P=1:400-800 IHC-F=1:400-800 IF=1:100-500 (石蜡切片需做抗原修复) not yet tested in other applications. optimal dilutions/concentrations should be determined by the end user. |
| 分 子 量 | 85kDa |
| 细胞定位 | 细胞浆 细胞膜 |
| 性 状 | Lyophilized or Liquid |
| 浓 度 | 1mg/ml |
| 免 疫 原 | KLH conjugated Synthesised phosphopeptide derived from human SYN1 around the phosphorylation site of Ser62+Ser67:AA(p-S)PAAP(p-S)PG |
| 亚 型 | IgG |
| 纯化方法 | affinity purified by Protein A |
| 储 存 液 | 0.01M TBS(pH7.4) with 1% BSA, 0.03% Proclin300 and 50% Glycerol. |
| 保存条件 | Store at -20 °C for one year. Avoid repeated freeze/thaw cycles. The lyophilized antibody is stable at room temperature for at least one month and for greater than a year when kept at -20°C. When reconstituted in sterile pH 7.4 0.01M PBS or diluent of antibody the antibody is stable for at least two weeks at 2-4 °C. |
| PubMed | PubMed |
| 产品介绍 | background: This gene is a member of the synapsin gene family. Synapsins encode neuronal phosphoproteins which associate with the cytoplasmic surface of synaptic vesicles. Family members are characterized by common protein domains, and they are implicated in synaptogenesis and the modulation of neurotransmitter release, suggesting a potential role in several neuropsychiatric diseases. This member of the synapsin family plays a role in regulation of axonogenesis and synaptogenesis. The protein encoded serves as a substrate for several different protein kinases and phosphorylation may function in the regulation of this protein in the nerve terminal. Mutations in this gene may be associated with X-linked disorders with primary neuronal degeneration such as Rett syndrome. Alternatively spliced transcript variants encoding different isoforms have been identified. [provided by RefSeq, Jul 2008] Function: Neuronal phosphoprotein that coats synaptic vesicles, binds to the cytoskeleton, and is believed to function in the regulation of neurotransmitter release. The complex formed with NOS1 and CAPON proteins is necessary for specific nitric-oxid functions at a presynaptic level. Subunit: Homodimer. Interacts with CAPON. Forms a ternary complex with NOS1. Isoform Ib interacts with PRNP. Subcellular Location: Cell junction, synapse. Golgi apparatus. Post-translational modifications: Substrate of at least four different protein kinases. It is probable that phosphorylation plays a role in the regulation of synapsin-1 in the nerve terminal. Phosphorylated upon DNA damage, probably by ATM or ATR. Phosphorylation at Ser-9 dissociates synapsins from synaptic vesicles. DISEASE: Defects in SYN1 are a cause of epilepsy X-linked with variable learning disabilities and behavior disorders (XELBD) [MIM:300491]. XELBD is characterized by variable combinations of epilepsy, learning difficulties, macrocephaly, and aggressive behavior. Similarity: Belongs to the synapsin family. SWISS: P17600 Gene ID: 6853 Database links: Entrez Gene: 6853 Human Entrez Gene: 20964 Mouse Entrez Gene: 24949 Rat Omim: 313440 Human SwissProt: P17600 Human SwissProt: O88935 Mouse SwissProt: P09951 Rat Unigene: 225936 Human Unigene: 439844 Mouse Unigene: 9923 Rat Important Note: This product as supplied is intended for research use only, not for use in human, therapeutic or diagnostic applications. |
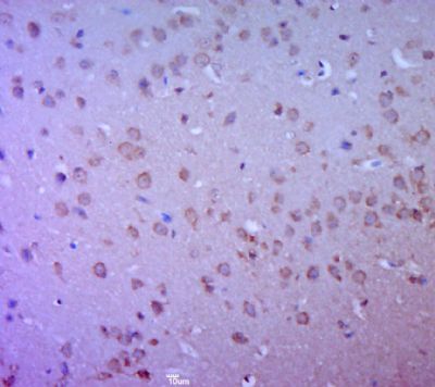
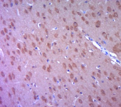
| 产品图片 | ![]() Paraformaldehyde-fixed, paraffin embedded (mouse brain tissue); Antigen retrieval by boiling in sodium citrate buffer (pH6.0) for 15min; Block endogenous peroxidase by 3% hydrogen peroxide for 20 minutes; Blocking buffer (normal goat serum) at 37°C for 30min; Antibody incubation with (p-SYN1(Ser62+Ser67)) Polyclonal Antibody, Unconjugated (bs-5632R) at 1:400 overnight at 4°C, followed by a conjugated secondary (sp-0023) for 20 minutes and DAB staining. ![]() Paraformaldehyde-fixed, paraffin embedded (rat brain tissue); Antigen retrieval by boiling in sodium citrate buffer (pH6.0) for 15min; Block endogenous peroxidase by 3% hydrogen peroxide for 20 minutes; Blocking buffer (normal goat serum) at 37°C for 30min; Antibody incubation with (p-SYN1(Ser62+Ser67)) Polyclonal Antibody, Unconjugated (bs-5632R) at 1:400 overnight at 4°C, followed by a conjugated secondary (sp-0023) for 20 minutes and DAB staining. |
风险提示:丁香通仅作为第三方平台,为商家信息发布提供平台空间。用户咨询产品时请注意保护个人信息及财产安全,合理判断,谨慎选购商品,商家和用户对交易行为负责。对于医疗器械类产品,请先查证核实企业经营资质和医疗器械产品注册证情况。
文献和实验Using Phospho‐Motif Antibodies to Determine Kinase Substrates
the phosphorylation site; therefore, substrate?directed, phosphorylation?state?sensitive, motif?specific (?phospho?motif?) antibodies represent powerful tools to identify novel kinase substrates and to investigate mechanisms of substrate phosphorylation
), and causes activation of KOR. Agonist-activated KOR becomes a substrate for G protein receptor kinase (GRK), which phosphorylates the Ser369 residue at the C-terminal tail of the receptor in the first step in the β-Arrestin-dependent desensitization cascade
at 10, 25, and 50 μM). At 24 h post-treatment, celllysates were obtained; SDS-PAGE and Western blotting were performed as described in Section 3, Methods. AR-A014418dose-dependent decreases of phospho-β-catenin (Ser33/37) and phospho-glycogen synthase
技术资料暂无技术资料 索取技术资料












