相关产品推荐更多 >
万千商家帮你免费找货
0 人在求购买到急需产品
- 详细信息
- 技术资料
- 供应商:
上海抚生
- 库存:
大量
- 靶点:
Six3
- 克隆性:
多克隆
- 抗原来源:
Rabbit
- 抗体英文名:
Anti-Six3
- 抗体名:
晶状体发育相关蛋白Six3抗体
- 标记物:
HRP,AKP
- 宿主:
人,鼠,猴,鸡,狗,猪等
- 适应物种:
Human, Mouse, Rat, Dog, Pig, Cow, Rabbit, Sheep
- 免疫原:
KLH conjugated synthetic peptide derived from human Six3
- 亚型:
IgG
- 形态:
冻干或液体
- 应用范围:
WB,ELISA,ICC,IP等
- 浓度:
1mg/1ml
- 保存条件:
-20℃
- 规格:
0.2ml/200μg
晶状体发育相关蛋白Six3抗体产品描述:
英文名称 Anti-Six3
中文名称 晶状体发育相关蛋白Six3抗体
别 名 Homeobox protein SIX3; HPE2; Sine oculis homeobox homolog 3; SIX homeobox 3; Six3; SIX3_HUMAN.
浓 度 1mg/1ml
规 格 0.2ml/200μg
抗体来源 Rabbit
克隆类型 polyclonal
交叉反应 Human, Mouse, Rat, Dog, Pig, Cow, Rabbit, Sheep
产品类型 一抗
研究领域 细胞生物 发育生物学 神经生物学 转录调节因子 表观遗传学
蛋白分子量 predicted molecular weight:35kDa
性 状 Lyophilized or Liquid
免 疫 原 KLH conjugated synthetic peptide derived from human Six3
亚 型 IgG
纯化方法 affinity purified by Protein A
储 存 液 Preservative: 15mM Sodium Azide, Constituents: 1% BSA, 0.01M PBS, pH 7.4
产品应用 WB=1:100-500 ELISA=1:500-1000 IHC-P=1:100-500 IHC-F=1:100-500 ICC=1:100-500 IF=1:100-500
晶状体发育相关蛋白Six3抗体订购:
荧光偶联质量的检测:
1.用标准免疫荧光染色试验以测定偶联率
2.用F/P值测定对其FITC标记质量进行鉴定
3.取结合物液0.2ml,加PBS2.8ml(或两者均改用半量),测定其A490/A280,查FITC标志曲线得其浓度ug/ml值,按IgG的消光系数(mg/ml约A2801.2),可计算其F/P值,即每mg抗体所标记的FITC的比值,可以此鉴定及比较各批标记物的质量。
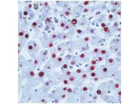
晶状体发育相关蛋白Six3抗体实验操作示意图:
公司还提供:
现货供应 CDGSH铁硫域含蛋白2 多克隆抗体 CISD2 Polyclonal Antibody,请询价
现货供应 CDC样激酶3 多克隆抗体 CLK3 Polyclonal Antibody,请询价
现货供应 CDC42效应因子蛋白(RhoGTP酶结合)1 多克隆抗体 BORG5 Polyclonal Antibody,请询价
现货供应 CDC42结合蛋白激酶γ 多克隆抗体 MRCKG Polyclonal Antibody,请询价
现货供应 cdc42/Rac抗体 cdc42/Rac Antibody,CDC42Hs,G25K,请询价
现货供应 CDC14细胞分裂周期14同源物C 多克隆抗体 CC14C Polyclonal Antibody,请询价
现货供应 CDC14细胞分裂周期14同源物B 多克隆抗体 CC14B Polyclonal Antibody,请询价
现货供应 CD9抗体 CD9 Antibody [MIC3; TSPAN29; CD9 antigen; 5H9 antigen; Cell growth-inhibiting gene 2 protein; Leukocyte antigen MIC3; Motility-related protein; MRP-1; Tetraspanin-29; Tspan-29; p24; CD9],请询价
现货供应 CD8B 多克隆抗体 CD8B Polyclonal Antibody,请询价
晶状体发育相关蛋白Six3抗体特价促销 兴奋性氨基酸转运蛋白3(EAAT3)检测试剂盒 规格: 48T/96T
特价促销 兰尼定受体1(RYR1)检测试剂盒 规格: 48T/96T
特价促销 Smoothelin蛋白(SMTN)检测试剂盒 规格: 48T/96T
特价促销 死亡诱导终结因子1(DIDO1)检测试剂盒 规格: 48T/96T
特价促销 死亡诱导终结因子1(DIDO1)检测试剂盒 规格: 48T/96T
特价促销 成纤维细胞生长因子17(FGF17)检测试剂盒 规格: 48T/96T
英文名称 Anti-Six3
中文名称 晶状体发育相关蛋白Six3抗体
别 名 Homeobox protein SIX3; HPE2; Sine oculis homeobox homolog 3; SIX homeobox 3; Six3; SIX3_HUMAN.
浓 度 1mg/1ml
规 格 0.2ml/200μg
抗体来源 Rabbit
克隆类型 polyclonal
交叉反应 Human, Mouse, Rat, Dog, Pig, Cow, Rabbit, Sheep
产品类型 一抗
研究领域 细胞生物 发育生物学 神经生物学 转录调节因子 表观遗传学
蛋白分子量 predicted molecular weight:35kDa
性 状 Lyophilized or Liquid
免 疫 原 KLH conjugated synthetic peptide derived from human Six3
亚 型 IgG
纯化方法 affinity purified by Protein A
储 存 液 Preservative: 15mM Sodium Azide, Constituents: 1% BSA, 0.01M PBS, pH 7.4
产品应用 WB=1:100-500 ELISA=1:500-1000 IHC-P=1:100-500 IHC-F=1:100-500 ICC=1:100-500 IF=1:100-500
晶状体发育相关蛋白Six3抗体订购:
| ※我司为主营生物试剂产品的公司,欢迎广大客户光临我司商铺,更多相关产品可进入展台浏览,展台展示有限,客户可以直接说明您的订购需求,可以直接联系我们; ※与我司取得联系后,尽管咨询相关问题,达成共识后边签订订购合同,我司销售部开始进行送货事宜; ※客户收到货后,请先检查外部包装情况,然后在无菌环境下,显微镜观察菌种情况,如有疑似问题可联系我司,经我司确认后再进行退换货的相关事宜。 |
荧光偶联质量的检测:
1.用标准免疫荧光染色试验以测定偶联率
2.用F/P值测定对其FITC标记质量进行鉴定
3.取结合物液0.2ml,加PBS2.8ml(或两者均改用半量),测定其A490/A280,查FITC标志曲线得其浓度ug/ml值,按IgG的消光系数(mg/ml约A2801.2),可计算其F/P值,即每mg抗体所标记的FITC的比值,可以此鉴定及比较各批标记物的质量。
晶状体发育相关蛋白Six3抗体实验操作示意图:
公司还提供:
现货供应 CDGSH铁硫域含蛋白2 多克隆抗体 CISD2 Polyclonal Antibody,请询价
现货供应 CDC样激酶3 多克隆抗体 CLK3 Polyclonal Antibody,请询价
现货供应 CDC42效应因子蛋白(RhoGTP酶结合)1 多克隆抗体 BORG5 Polyclonal Antibody,请询价
现货供应 CDC42结合蛋白激酶γ 多克隆抗体 MRCKG Polyclonal Antibody,请询价
现货供应 cdc42/Rac抗体 cdc42/Rac Antibody,CDC42Hs,G25K,请询价
现货供应 CDC14细胞分裂周期14同源物C 多克隆抗体 CC14C Polyclonal Antibody,请询价
现货供应 CDC14细胞分裂周期14同源物B 多克隆抗体 CC14B Polyclonal Antibody,请询价
现货供应 CD9抗体 CD9 Antibody [MIC3; TSPAN29; CD9 antigen; 5H9 antigen; Cell growth-inhibiting gene 2 protein; Leukocyte antigen MIC3; Motility-related protein; MRP-1; Tetraspanin-29; Tspan-29; p24; CD9],请询价
现货供应 CD8B 多克隆抗体 CD8B Polyclonal Antibody,请询价
晶状体发育相关蛋白Six3抗体特价促销 兴奋性氨基酸转运蛋白3(EAAT3)检测试剂盒 规格: 48T/96T
特价促销 兰尼定受体1(RYR1)检测试剂盒 规格: 48T/96T
特价促销 Smoothelin蛋白(SMTN)检测试剂盒 规格: 48T/96T
特价促销 死亡诱导终结因子1(DIDO1)检测试剂盒 规格: 48T/96T
特价促销 死亡诱导终结因子1(DIDO1)检测试剂盒 规格: 48T/96T
特价促销 成纤维细胞生长因子17(FGF17)检测试剂盒 规格: 48T/96T
风险提示:丁香通仅作为第三方平台,为商家信息发布提供平台空间。用户咨询产品时请注意保护个人信息及财产安全,合理判断,谨慎选购商品,商家和用户对交易行为负责。对于医疗器械类产品,请先查证核实企业经营资质和医疗器械产品注册证情况。
技术资料暂无技术资料 索取技术资料
晶状体发育相关蛋白Six3抗体
询价









