相关产品推荐更多 >
万千商家帮你免费找货
0 人在求购买到急需产品
- 详细信息
- 文献和实验
- 技术资料
- 供应商:
上海联迈生物工程有限公司
- 库存:
大量
- 目录编号:
LM-5048R
- 克隆性:
多克隆
- 抗原来源:
Rabbit
- 保质期:
1年
- 抗体英文名:
CROT
- 抗体名:
肉碱氧位甲基转移酶抗体
- 宿主:
Rabbit
- 适应物种:
Human, Mouse, Rat, Dog, Horse, Rabbit,
- 免疫原:
KLH conjugated synthetic peptide derived from human CROT:41-140/612
- 亚型:
IgG
- 形态:
Lyophilized or Liquid
- 应用范围:
WB=1:500-2000 ELISA=1:500-1000 IHC-P=1:400-800 IHC-F=1:400-800 IF=1:100-500 (石蜡切片需做抗原修复)
- 浓度:
1mg/ml
- 保存条件:
Store at -20 °C
- 规格:
100ul 200ul
| 英文名称 | CROT |
| 中文名称 | 肉碱氧位甲基转移酶抗体 |
| 别 名 | Carnitine O octanoyltransferase; COT; CROT; OCTC_HUMAN; Peroxisomal carnitine acyltransferase; Peroxisomal carnitine O octanoyltransferase; Peroxisomal carnitine O-octanoyltransferase. |
| 规格价格 | 100ul/1380元 购买 200ul/2200元 购买 大包装/询价 |
| 说 明 书 | 100ul 200ul |
| 研究领域 | 心血管 细胞生物 免疫学 染色质和核信号 信号转导 细胞类型标志物 脂蛋白 新陈代谢 |
| 抗体来源 | Rabbit |
| 克隆类型 | Polyclonal |
| 交叉反应 | Human, Mouse, Rat, Dog, Horse, Rabbit, |
| 产品应用 | WB=1:500-2000 ELISA=1:500-1000 IHC-P=1:400-800 IHC-F=1:400-800 IF=1:100-500 (石蜡切片需做抗原修复) not yet tested in other applications. optimal dilutions/concentrations should be determined by the end user. |
| 分 子 量 | 70kDa |
| 细胞定位 | 细胞浆 |
| 性 状 | Lyophilized or Liquid |
| 浓 度 | 1mg/ml |
| 免 疫 原 | KLH conjugated synthetic peptide derived from human CROT:41-140/612 |
| 亚 型 | IgG |
| 纯化方法 | affinity purified by Protein A |
| 储 存 液 | 0.01M TBS(pH7.4) with 1% BSA, 0.03% Proclin300 and 50% Glycerol. |
| 保存条件 | Store at -20 °C for one year. Avoid repeated freeze/thaw cycles. The lyophilized antibody is stable at room temperature for at least one month and for greater than a year when kept at -20°C. When reconstituted in sterile pH 7.4 0.01M PBS or diluent of antibody the antibody is stable for at least two weeks at 2-4 °C. |
| PubMed | PubMed |
| 产品介绍 | background: CROT (Carnitine O-octanoyltransferase) is involved in the beta-oxidation of fatty acids. It catalyzes the reversible transfer of fatty acyl groups between CoA and carnitine. It has highest activity towards the C6 to C10 chain length substrate. It is a crucial step in the transport of medium- and long-chain acyl-CoA out of the mammalian peroxisome to the cytosol and mitochondria. Function: Beta-oxidation of fatty acids. The highest activity concerns the C6 to C10 chain length substrate. Converts the end product of pristanic acid beta oxidation, 4,8-dimethylnonanoyl-CoA, to its corresponding carnitine ester. Subunit: Monomer (Probable). Subcellular Location: Peroxisome. Similarity: Belongs to the carnitine/choline acetyltransferase family. SWISS: Q9UKG9 Gene ID: 54677 Database links: Entrez Gene: 54677 Human Entrez Gene: 74114 Mouse Omim: 606090 Human SwissProt: Q9UKG9 Human SwissProt: Q9DC50 Mouse Unigene: 125039 Human Unigene: 28197 Mouse Important Note: This product as supplied is intended for research use only, not for use in human, therapeutic or diagnostic applications. |
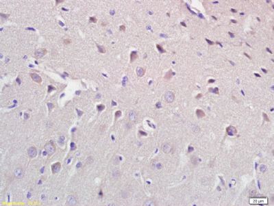
| 产品图片 | ![]() Sample: 293T Cell (Human) Lysate at 40 ug Primary: Anti-CROT (bs-5048R) at 1/300 dilution Secondary: IRDye800CW Goat Anti-Rabbit IgG at 1/20000 dilution Predicted band size: 70 kD Observed band size: 70 kD ![]() Tissue/cell: rat brain tissue; 4% Paraformaldehyde-fixed and paraffin-embedded; Antigen retrieval: citrate buffer ( 0.01M, pH 6.0 ), Boiling bathing for 15min; Block endogenous peroxidase by 3% Hydrogen peroxide for 30min; Blocking buffer (normal goat serum,C-0005) at 37℃ for 20 min; Incubation: Anti-CROT Polyclonal Antibody, Unconjugated(bs-5048R) 1:200, overnight at 4°C, followed by conjugation to the secondary antibody(SP-0023) and DAB(C-0010) staining |
风险提示:丁香通仅作为第三方平台,为商家信息发布提供平台空间。用户咨询产品时请注意保护个人信息及财产安全,合理判断,谨慎选购商品,商家和用户对交易行为负责。对于医疗器械类产品,请先查证核实企业经营资质和医疗器械产品注册证情况。
文献和实验【求助】P53的翻译后修饰都有哪些? 怎样验证其修饰后与靶标启动子的结合活性的变化?
酰转移酶p300的结合增强,从而增加了p53的水平和稳定性。Ser15可在IR(电离辐射)或UV(紫外线)作用下发生磷酸化。同时IR 或UV 还可以分别通过活化CHK2(细胞周期关卡激酶2)和CHK1(细胞周期关卡激酶1)引起Ser20的磷酸化。 除常见的72位密码子多态性外,p53肿瘤还可显示一种少见的47位残基上的单核苷酸多态现象,野生型p53在此残基上编码脯氨酸,而在少数人群中编码的则是丝氨酸。此残基临近的Ser46被p38磷酸化后可以显著增强p53诱导凋亡的能力,而Ser-47多态
家族 (KRAB-ZFPs)。这两个 标记均在失活的 X 染色体上发现,其中,H3K27me3 位于基因间和沉默的编码区,H3K9me3 主要位 于活性基因的编码区。 酶调节 组蛋白甲基化是一种可以通过多次细胞分裂而仍然保持的稳定标记,多年来一直被认为不可逆。但是, 最新研究发现,它是一个主动调控和可逆的过程。 甲基化:组蛋白甲基转移酶 (HMTs) 赖氨酸 包含 SET 结构域(组蛋白尾部) 包含非 SET 结构域(组蛋白核心) 精氨酸 PRMT(蛋白
10分钟; 10. PB配制的1%戊二醛固定30分钟~2小时后PB漂洗2次,每次10分钟。 按常规电镜标本制作方法进行锇酸后固定、系列乙醇或丙酮脱水、包埋、超薄切片、电子染色和电镜观察。 免疫纳米金与免疫 酶结台的双重染色法电镜图 环氧树脂包埋前免疫纳米金与免疫酶结合的双重染色示大鼠脊髓背角浅层内第7型代谢型谷氨酸受体(mGluR7)和凝集素I―B4结合位点免疫纳之(金染邑标记的mGluR7特异性定位于突触前膜二(箭所示):免疫酶染色标记的凝集素I―B4结合位.点分布在轴突
技术资料暂无技术资料 索取技术资料












