相关产品推荐更多 >
万千商家帮你免费找货
0 人在求购买到急需产品
- 详细信息
- 文献和实验
- 技术资料
- 供应商:
上海联迈生物工程有限公司
- 库存:
大量
- 目录编号:
LM-4943R
- 克隆性:
多克隆
- 抗原来源:
Rabbit
- 保质期:
1年
- 抗体英文名:
MPO
- 抗体名:
髓过氧化物酶抗体
- 宿主:
Rabbit
- 适应物种:
Human, Mouse, Rat, Dog, Horse, Rabbit, Guinea Pig,
- 免疫原:
KLH conjugated synthetic peptide derived from human Myeloperoxidase heavy chain:678-745/745
- 亚型:
IgG
- 形态:
Lyophilized or Liquid
- 应用范围:
WB=1:500-2000 ELISA=1:500-1000 IHC-P=1:400-800 IHC-F=1:400-800 ICC=1:100-500 IF=1:100-500 (石蜡切片需做抗原修复)
- 浓度:
1mg/ml
- 保存条件:
Store at -20 °C
- 规格:
50ul 100ul 200ul
| 英文名称 | MPO |
| 中文名称 | 髓过氧化物酶抗体 |
| 别 名 | Myeloperoxidase; MPO; 89 kDa myeloperoxidase; 84 kDa yeloperoxidase; Myeloperoxidase heavy chain; EC 1.11.1.7; PERM_HUMAN. |
| 规格价格 | 50ul/780元 购买 100ul/1380元 购买 200ul/2200元 购买 大包装/询价 |
| 说 明 书 | 50ul 100ul 200ul |
| 研究领域 | 肿瘤 心血管 细胞生物 免疫学 激酶和磷酸酶 |
| 抗体来源 | Rabbit |
| 克隆类型 | Polyclonal |
| 交叉反应 | Human, Mouse, Rat, Dog, Horse, Rabbit, Guinea Pig, |
| 产品应用 | WB=1:500-2000 ELISA=1:500-1000 IHC-P=1:400-800 IHC-F=1:400-800 ICC=1:100-500 IF=1:100-500 (石蜡切片需做抗原修复) not yet tested in other applications. optimal dilutions/concentrations should be determined by the end user. |
| 分 子 量 | 84kDa |
| 细胞定位 | 细胞浆 |
| 性 状 | Lyophilized or Liquid |
| 浓 度 | 1mg/ml |
| 免 疫 原 | KLH conjugated synthetic peptide derived from human Myeloperoxidase heavy chain:678-745/745 |
| 亚 型 | IgG |
| 纯化方法 | affinity purified by Protein A |
| 储 存 液 | 0.01M TBS(pH7.4) with 1% BSA, 0.03% Proclin300 and 50% Glycerol. |
| 保存条件 | Store at -20 °C for one year. Avoid repeated freeze/thaw cycles. The lyophilized antibody is stable at room temperature for at least one month and for greater than a year when kept at -20°C. When reconstituted in sterile pH 7.4 0.01M PBS or diluent of antibody the antibody is stable for at least two weeks at 2-4 °C. |
| PubMed | PubMed |
| 产品介绍 | background: Myeloperoxidase (MPO) is a heme protein synthesized during myeloid differentiation that constitutes the major component of neutrophil azurophilic granules. Produced as a single chain precursor, myeloperoxidase is subsequently cleaved into a light and heavy chain. The mature myeloperoxidase is a tetramer composed of 2 light chains and 2 heavy chains. This enzyme produces hypohalous acids central to the microbicidal activity of netrophils. [provided by RefSeq, Jul 2008]. Function: Part of the host defense system of polymorphonuclear leukocytes. It is responsible for microbicidal activity against a wide range of organisms. In the stimulated PMN, MPO catalyzes the production of hypohalous acids, primarily hypochlorous acid in physiologic situations, and other toxic intermediates that greatly enhance PMN microbicidal activity. Subunit: Tetramer of two light chains and two heavy chains. Subcellular Location: Lysosome. DISEASE: Defects in MPO are the cause of myeloperoxidase deficiency (MPD) [MIM:254600]. MPD is an autosomal recessive defect that results in disseminated candidiasis. Similarity: Belongs to the peroxidase family. XPO subfamily. SWISS: P05164 Gene ID: 4353 Database links: Entrez Gene: 4353 Human Entrez Gene: 17523 Mouse Entrez Gene: 303413 Rat Omim: 606989 Human SwissProt: P05164 Human SwissProt: P11247 Mouse Unigene: 458272 Human Unigene: 4668 Mouse Unigene: 47782 Rat Important Note: This product as supplied is intended for research use only, not for use in human, therapeutic or diagnostic applications. |
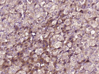
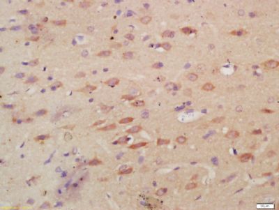
| 产品图片 | ![]() Sample: Spleen (Mouse) Lysate at 40 ug Primary: Anti-MPO (bs-4943R) at 1/300 dilution Secondary: IRDye800CW Goat Anti-Rabbit IgG at 1/20000 dilution Predicted band size: 77 kD Observed band size: 125 kD ![]() Paraformaldehyde-fixed, paraffin embedded (Human liver carcinoma); Antigen retrieval by boiling in sodium citrate buffer (pH6.0) for 15min; Block endogenous peroxidase by 3% hydrogen peroxide for 20 minutes; Blocking buffer (normal goat serum) at 37°C for 30min; Antibody incubation with (MPO) Polyclonal Antibody, Unconjugated (bs-4943R) at 1:400 overnight at 4°C, followed by operating according to SP Kit(Rabbit) (sp-0023) instructionsand DAB staining. ![]() Tissue/cell: mouse brain tissue; 4% Paraformaldehyde-fixed and paraffin-embedded; Antigen retrieval: citrate buffer ( 0.01M, pH 6.0 ), Boiling bathing for 15min; Block endogenous peroxidase by 3% Hydrogen peroxide for 30min; Blocking buffer (normal goat serum,C-0005) at 37℃ for 20 min; Incubation: Anti-MPO Polyclonal Antibody, Unconjugated(bs-4943R) 1:200, overnight at 4°C, followed by conjugation to the secondary antibody(SP-0023) and DAB(C-0010) staining ![]() Tissue/cell: mouse brain tissue;4% Paraformaldehyde-fixed and paraffin-embedded; Antigen retrieval: citrate buffer ( 0.01M, pH 6.0 ), Boiling bathing for 15min; Blocking buffer (normal goat serum,C-0005) at 37℃ for 20 min; Incubation: Anti-MPO Polyclonal Antibody, Unconjugated(bs-4943R) 1:200, overnight at 4°C; The secondary antibody was Goat Anti-Rabbit IgG, Cy3 conjugated(bs-0295G-Cy3)used at 1:200 dilution for 40 minutes at 37°C. DAPI(5ug/ml,blue,C-0033) was used to stain the cell nuclei |
风险提示:丁香通仅作为第三方平台,为商家信息发布提供平台空间。用户咨询产品时请注意保护个人信息及财产安全,合理判断,谨慎选购商品,商家和用户对交易行为负责。对于医疗器械类产品,请先查证核实企业经营资质和医疗器械产品注册证情况。
文献和实验上海西唐生物科技有限公司 021-55229872, 65333639 www.westang.com 人髓过氧化物酶 ( MPO )ELISA 试剂盒 ( 用于血清、血浆、细胞培养上清液和唾液、尿液、生物体液内 ) 原理 本实验采用双抗体夹心 ABC-ELISA 法。用抗人 MPO 单抗包被于酶标板上,标准品和样品中的 MPO与单抗结合,加入生物素化的抗人 MPO ,形成
人 髓过氧化物酶 (MPO) 酶联免疫分析( ELISA ) 试剂盒使用说明书 本试剂仅供研究使用 目的:本试剂盒用于测定人血清,血浆及相关液体样本中 髓过氧化物酶(MPO) 的 活性。 实验原理: 本试剂盒应用双抗体夹心法测定标本中 人 髓过氧化物酶 (MPO) 水平。用纯化的 人 髓过氧化物酶 (MPO) 抗体 包被微孔板,制成固相抗体,往包被单抗的微孔中加入 髓过氧化物酶 (MPO) ,再与 HRP 标记的羊抗人抗体
上海西唐生物科技有限公司 021-55229872, 65333639 www.westang.com 兔髓过氧化物酶 ( MPO )ELISA 试剂盒 ( 用于血清、血浆、细胞培养上清液和唾液、尿液、生物体液内 ) 原理 本实验采用双抗体夹心 ABC-ELISA 法。用抗兔 MPO 单抗包被于酶标板上,标准品和样品中的 MPO与单抗结合,加入生物素化的抗兔 MPO
技术资料暂无技术资料 索取技术资料














