相关产品推荐更多 >
万千商家帮你免费找货
0 人在求购买到急需产品
- 详细信息
- 技术资料
- 供应商:
上海联迈生物工程有限公司
- 库存:
大量
- 目录编号:
LM-4251R
- 克隆性:
多克隆
- 抗原来源:
Rabbit
- 保质期:
1年
- 抗体英文名:
PHD1
- 抗体名:
脯氨酰羟化酶抗体
- 宿主:
Rabbit
- 适应物种:
Human, Mouse, Rat, Cow, Sheep,
- 免疫原:
KLH conjugated synthetic peptide derived from human PHD1/prolyl hydroxylase:321-407/407
- 亚型:
IgG
- 形态:
Lyophilized or Liquid
- 应用范围:
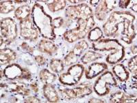
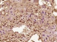
WB=1:500-2000 ELISA=1:500-1000 IHC-P=1:400-800 IHC-F=1:400-800 IF=1:100-500 (石蜡切片需做抗原修复)
- 浓度:
1mg/ml
- 保存条件:
Store at -20 °C
- 规格:
100ul 200ul
PHD1脯氨酰羟化酶抗体
| 英文名称 | PHD1 |
| 中文名称 | 脯氨酰羟化酶抗体 |
| 别 名 | Egl nine homolog 2; prolyl hydroxylase;EGLN 2; EGLN2; EIT 6; EIT6; HIF P4H 1; HIF PH1; HIFPH1; HPH 3; HPH3; P4H1; PHD 1; PHD1; EGL nine (C.elegans) homolog 2; EGLN2_HUMAN. |
| 规格价格 | 100ul/1380元 购买 200ul/2200元 购买 大包装/询价 |
| 说 明 书 | 100ul 200ul |
| 研究领域 | 肿瘤 心血管 细胞生物 免疫学 染色质和核信号 |
| 抗体来源 | Rabbit |
| 克隆类型 | Polyclonal |
| 交叉反应 | Human, Mouse, Rat, Cow, Sheep, |
| 产品应用 | WB=1:500-2000 ELISA=1:500-1000 IHC-P=1:400-800 IHC-F=1:400-800 IF=1:100-500 (石蜡切片需做抗原修复) not yet tested in other applications. optimal dilutions/concentrations should be determined by the end user. |
| 分 子 量 | 44kDa |
| 细胞定位 | 细胞核 细胞浆 |
| 性 状 | Lyophilized or Liquid |
| 浓 度 | 1mg/ml |
| 免 疫 原 | KLH conjugated synthetic peptide derived from human PHD1/prolyl hydroxylase:321-407/407 |
| 亚 型 | IgG |
| 纯化方法 | affinity purified by Protein A |
| 储 存 液 | 0.01M TBS(pH7.4) with 1% BSA, 0.03% Proclin300 and 50% Glycerol. |
| 保存条件 | Store at -20 °C for one year. Avoid repeated freeze/thaw cycles. The lyophilized antibody is stable at room temperature for at least one month and for greater than a year when kept at -20°C. When reconstituted in sterile pH 7.4 0.01M PBS or diluent of antibody the antibody is stable for at least two weeks at 2-4 °C. |
| PubMed | PubMed |
| 产品介绍 | background: PHD1 catalyzes the posttranslational formation of 4-hydroxyproline in hypoxia-inducible factor (HIF) alpha proteins and hydroxylates HIF-1 alpha at Pro-402 and Pro-564, and HIF-2 alpha. It functions as a cellular oxygen sensor and, under normoxic conditions, targets HIF through the hydroxylation for proteasomal degradation via the von Hippel-Lindau ubiquitylation complex. It may play a role in cell growth regulation. Function: Cellular oxygen sensor that catalyzes, under normoxic conditions, the post-translational formation of 4-hydroxyproline in hypoxia-inducible factor (HIF) alpha proteins. Hydroxylates a specific proline found in each of the oxygen-dependent degradation (ODD) domains (N-terminal, NODD, and C-terminal, CODD) of HIF1A. Also hydroxylates HIF2A. Has a preference for the CODD site for both HIF1A and HIF2A. Hydroxylated HIFs are then targeted for proteasomal degradation via the von Hippel-Lindau ubiquitination complex. Under hypoxic conditions, the hydroxylation reaction is attenuated allowing HIFs to escape degradation resulting in their translocation to the nucleus, heterodimerization with HIF1B, and increased expression of hypoxy-inducible genes. EGLN2 is involved in regulating hypoxia tolerance and apoptosis in cardiac and skeletal muscle. Also regulates susceptibility to normoxic oxidative neuronal death. [CATALYTIC ACTIVITY] Hypoxia-inducible factor-L-proline + 2-oxoglutarate + O(2) = hypoxia-inducible factor-trans-4-hydroxy-L-proline + succinate + CO(2). Subunit: Monomer. Interacts with ING4; the interaction inhibits the hydroxylation of HIFs. Interacts with LIMD1. Found in a complex composed of LIMD1, VHL, EGLN1/PHD2, TCEB2 AND CUL2. Interacts with EPAS1. Subcellular Location: Cytoplasm. Nucleus. Tissue Specificity: According to PubMed:11056053, widely expressed with highest levels in skeletal muscle and heart, moderate levels in pancreas, brain (dopaminergic neurons of adult and fetal substantia nigra) and kidney, and lower levels in lung and liver. According to PubMed:12351678 widely expressed with highest levels in brain, kidney and adrenal gland. Expressed in cardiac myocytes, aortic endothelial cells and coronary artery smooth muscle. According to PubMed:12788921; expressed in adult and fetal heart, brain, liver, lung, skeletal muscle and kidney. Also expressed in placenta. Highest levels in adult heart, brain, lung and liver and fetal brain, heart spleen and skeletal muscle. Similarity: Contains 1 Fe2OG dioxygenase domain. Contains 1 MYND-type zinc finger. SWISS: Q96KS0 Gene ID: 112398 Database links: Entrez Gene: 112398 Human Entrez Gene: 112406 Mouse Entrez Gene: 308457 Rat Omim: 606424 Human SwissProt: Q96KS0 Human SwissProt: Q91YE2 Mouse SwissProt: Q6AYU4 Rat Unigene: 515417 Human Unigene: 29978 Mouse Unigene: 43384 Rat Important Note: This product as supplied is intended for research use only, not for use in human, therapeutic or diagnostic applications. |
| 产品图片 | ![]() Sample: Skeletal muscle (Mouse) Lysate at 40 ug Primary: Anti-PHD1 (bs-4251R) at 1/300 dilution Secondary: IRDye800CW Goat Anti-Rabbit IgG at 1/20000 dilution Predicted band size: 44 kD Observed band size: 48 kD |
风险提示:丁香通仅作为第三方平台,为商家信息发布提供平台空间。用户咨询产品时请注意保护个人信息及财产安全,合理判断,谨慎选购商品,商家和用户对交易行为负责。对于医疗器械类产品,请先查证核实企业经营资质和医疗器械产品注册证情况。
技术资料暂无技术资料 索取技术资料
PHD1脯氨酰羟化酶抗体
¥1380 - 2200










